Cập nhật thực hành chẩn đoán và điều trị chấn thương bụng kín vỡ tạng đặc
Chấn thương bụng kín được định nghĩa là chấn thương gây tổn thương thành bụng và các tạng trong ổ bụng (bao gồm cả sau phúc mạc, ngoài phúc mạc như thận, bàng quang…) nhưng không gây rách phúc mạc. Có nhiều tạng trong ổ bụng, các tạng có nhiều mức độ tổn thương khác nhau lại không nhìn thấy trực tiếp nên rất khó chẩn đoán chính xác tổn thương. Trong cấp cứu chấn thương bụng với một khoảng thời gian ngắn, bằng thăm khám lâm sàng và cận lâm sàng tối thiểu phải sớm đưa ra chỉ định điều trị phù hợp.
1. Chẩn đoán và phân loại chấn thương bụng kín vỡ tạng đặc
Nội dung bài viết
1.1. Chẩn đoán chấn thương bụng kín vỡ tạng đặc
Tạng đặc trong chấn thương bụng kín được tính bao gồm gan, lách, tụy, thận. Hậu quả lớn nhất, nguy hiểm của vỡ tạng đặc là chảy máu sau đó là tình trạng tụ dịch (mật, tụy, nước tiểu). Việc chẩn đoán, phân độ tổn thương tạng đặc được sự trợ giúp của các phương tiện chẩn đoán hình ảnh (siêu âm, CT, MRI) giúp xác định rõ đường vỡ, ổ đụng giập, liên quan mạch máu, thoát thuốc,…[1,2]
Trong hầu hết các trường hợp, bệnh nhân bị chấn thương bụng đều được đưa đến phòng cấp cứu. Ngay lập tức, bệnh nhân được đo các dấu hiệu sinh tồn. Đánh giá ban đầu nên bắt đầu bằng cách hỏi bệnh sử từ bệnh nhân nếu có thể, và thông tin bổ sung từ nhân viên y tế hoặc người đi cùng. Cần đánh giá chấn thương theo quy trình cấp cứu chấn thương [1,3], và dẫn lưu khoang màng phổi nếu cần thiết. Thông tin quan trọng nhất cần có được từ khai thác bệnh sử là tác nhân gây chấn thương, vị trí của vùng tổn thương, thời gian từ khi bị thương và sự ổn định huyết động của bệnh nhân.
Phải thăm khám ổ bụng cẩn thận và có hệ thống nhằm tránh bỏ sót tổn thương. Tất cả các vết bầm tím phải được ghi nhận; gõ bụng đánh giá vùng đục, xác định phản ứng thành bụng,…
Trong quá trình cấp cứu bệnh nhân, cần đánh giá chấn thương ngực đồng thời. X quang ngực thẳng phải được thực hiện để loại trừ chấn thương ngực và khí tự do trong ổ bụng. Bệnh nhân ổn định huyết động nên đánh giá bụng cẩn thận nhưng nhanh chóng; bệnh nhân có triệu chứng viêm phúc mạc cần được chuyển mổ cấp cứu.
Cần siêu âm bụng cho tất cả các trường hợp nghi ngờ chấn thương bụng. Dịch tự do có thể được xác định trên siêu âm khi có >250 mL. Siêu âm bụng thăm dò không nên quá 60 giây [3]. Lưu ý cần phân biệt các trường hợp xơ gan cổ trướng. Nếu người bệnh có tiền sử xơ gan hoặc bệnh gan mạn và bệnh nhân có một lượng lớn dịch tự do, trong khi ổn định về huyết động, bệnh nhân phải được chụp CT ổ bụng có tiêm thuốc [4].
Trong chấn thương vỡ tạng đặc, dấu hiệu gián tiếp là hiện tượng có dịch máu trong ổ bụng, dấu hiệu trực tiếp là hình đường vỡ, ổ đụng dập, tụ máu dưới bao, sự thoát thuốc cản quang (chảy máu). Nếu như siêu âm chỉ phát hiện tốt dịch ổ bụng mà khó xác định chính xác tổn thương thì chụp CT không chỉ phát hiện tốt dịch ổ bụng mà còn xác định chính xác tổn thương nhu mô, vì vậy CT giúp phân độ tổn thương các tạng. Nhờ các phân độ tổn thương này mà có được chỉ định theo dõi điều trị bảo tồn hay mổ cấp cứu. Đây là một sự thay đổi lớn trong thái độ điều trị chấn thương bụng kín vì trước đây khi xác định có chảy máu trong ổ bụng bằng chọc dò ổ bụng và chọc rửa ổ bụng, phẫu thuật viên sẽ quyết định mở bụng thăm dò vì không xác định được tạng tổn thương, càng không xác định được mức độ tổn thương tạng. Nếu xác định được tạng và mức độ tổn thương của tạng sẽ giảm đi nhiều mở bụng không cần thiết. Chụp CT còn theo dõi được tiến triển của tổn thương, xác định các biến chứng như chảy máu tiến triển, chảy máu thứ phát, rò mật, áp xe, nang,…[5-8]
1.2. Phân độ chấn thương tạng đặc
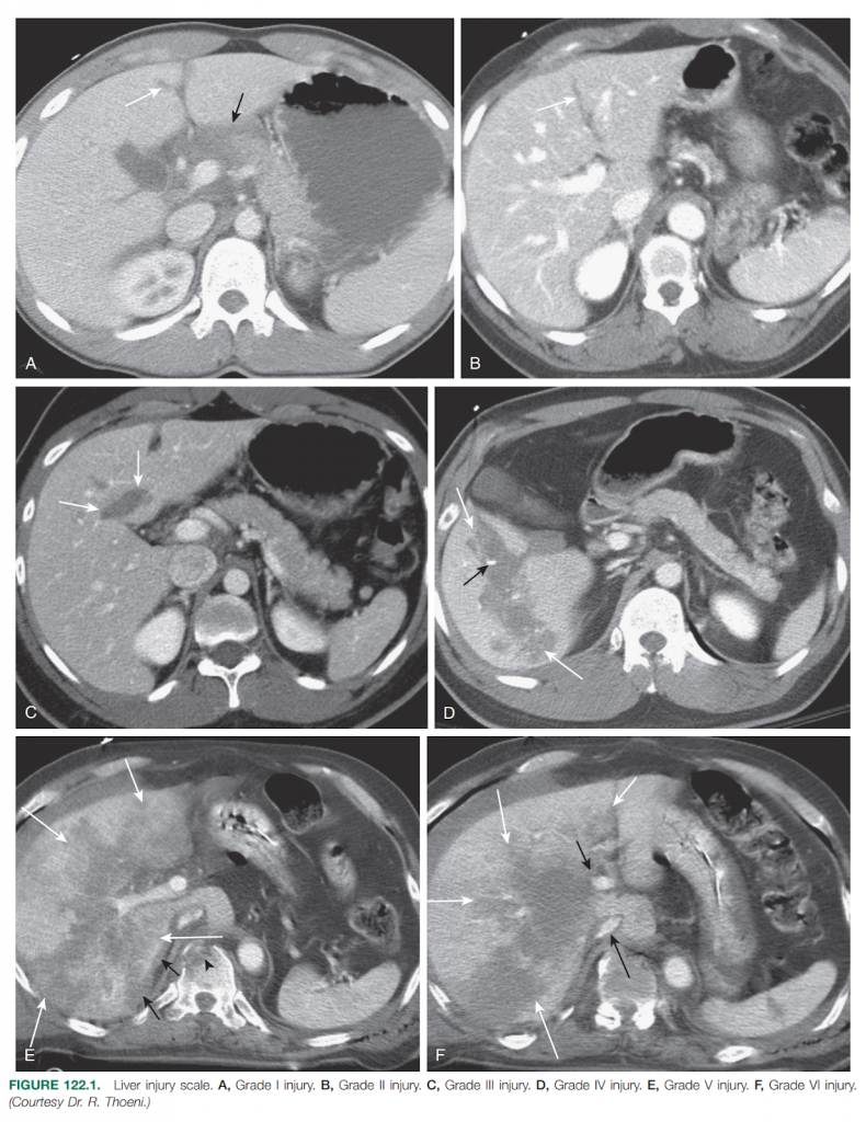
Trong chẩn đoán chấn thương bụng kín vỡ tạng đặc, chụp CT bụng có tiêm thuốc là phương tiện được sử dụng rộng rãi nhất giúp xác định tạng tổn thương và mức độ tổn thương của tạng. Phân độ chấn thương có ý nghĩa trong định hướng phương pháp điều trị, thường áp dụng theo phân loại của Hội Phẫu thuật Chấn thương Hoa Kỳ (AAST – American Association for the Surgery of Trauma) [2].
Bảng 1. Phân độ chấn thương gan theo AAST
| Phân độ | Loại | Mô tả tổn thương |
| I | Tụ máu | Dưới bao, <10% diện tích bề mặt |
Vỡ | Rách bao, tổn thương nhu mô sâu <1cm | |
| II | Tụ máu | Dưới bao, 10- 50% diện tích bề mặt Trong nhu mô <10 cm |
| Vỡ | Rách bao, tổn thương nhu mô sâu 1-3 cm, dài <10 cm | |
| III | Tụ máu | Dưới bao, >50% diện tích bề mặt; Tụ máu trong nhu mô hoặc dưới bao vỡ; Tụ máu trong nhu mô >10 cm hoặc đang lan rộng |
| Rách | Tổn thương nhu mô sâu > 3 cm | |
| IV | Vỡ | Rách nhu mô từ 25% -75% một thùy hoặc 1-3 phân thùy theo Couinaud trong cùng một thùy gan |
| V | Vỡ | Rách nhu mô >75% một thùy hoặc >3 phân thùy theo Couinaud trong một thùy gan |
| Mạch máu | Tổn thương các mạch máu lớn vào gan như tĩnh mạch chủ dưới đoạn sau gan, tĩnh mạch gan | |
| VI | Mạch máu | Đứt cuống gan |
| *Tăng 01 độ cho những trường hợp nhiều tổn thương từ độ III trở xuống | ||
Bảng 2. Phân độ chấn thương lách theo AAST
| Phân độ | Loại | Mô tả tổn thương |
| I | Tụ máu | Dưới bao, <10% diện tích bề mặt |
| Vỡ | Rách bao, tổn thương nhu mô sâu <1cm | |
| II | Tụ máu | Dưới bao, 10%-50% diện tích bề mặt Trong nhu mô đường kính <5 cm |
| Vỡ | Rách bao, tổn thương nhu mô sâu 1-3cm nhưng không tổn thương mạch nhánh | |
| III | Tụ máu | Dưới bao, >50% diện tích bề mặt hoặc đang lan rộng Tụ máu dưới bao hoặc trong nhu mô vỡ Tụ máu trong nhu mô >5 cm hoặc đang lan rộng |
| Vỡ | Sâu trong nhu mô >3cm hoặc tổn thương mạch nhánh | |
| IV | Vỡ | Rách một nhánh phân thùy hoặc ở rốn lách gây thiếu máu >25% lách |
| V | Vỡ | Vỡ nát lách |
| Mạch máu | Đứt cuống lách | |
| *Tăng 01 độ cho những trường hợp nhiều tổn thương từ độ III trở xuống | ||

Hình 1. Hình ảnh chấn thương gan trên phim chụp CT
A, Độ I. B, Độ II. C, Độ III. D, Độ IV. E, Độ V. F, Độ VI
Bảng 3. Phân độ chấn thương tụy theo AAST
| Phân độ | Loại | Mô tả tổn thương |
| I | Tụ máu | Đụng dập nhỏ, không tổn thương ống tụy |
| Rách | Đường vỡ nông trên bề mặt, không tổn thương ống tụy | |
| II | Tụ máu | Đụng dập nhiều, không tổn thương ống tụy hay mất nhu mô tụy |
| Rách | Đường rách lớn, không tổn thương ống tụy hay mất tổ chức tuy | |
| III | Vỡ | Đứt đuôi tụy hoặc tổn thương nhu mô kèm theo tổn thương ống tụy |
| IV | Vỡ | Đứt thân tụy hoặc tổn thương nhu mô kèm theo tổn thương bóng Vater |
| V | Vỡ | Đứt cả khối đầu tụy |
| *Tăng 01 độ cho những trường hợp nhiều tổn thương từ độ III trở xuống | ||
Bảng 4. Phân độ chấn thương thận theo AAST
| Phân độ | Loại | Mô tả tổn thương |
| I | Đụng dập | Đái máu vi thể hoặc đại thể, thăm khám hệ tiết niệu bình thường |
| Tụ máu | Dưới bao, không lan rộng và không rách nhu mô | |
| II | Tụ máu | Tụ máu quanh thận sau phúc mạc không lan rộng |
| Rách | Rách sâu <1 cm trong nhu mô thận, không rò nước tiểu | |
| III | Rách | Rách sâu >1 cm trong nhu mô không tổn thương đường bài tiết hay rò nước tiểu |
| IV | Rách | Rách nhu mô rộng từ vỏ tới tủy thận và hệ thống đường bài tiết |
| Mạch máu | Tổn thương động mạch hay tĩnh mạch chính của thận gây chảy máu không tự cầm được | |
| V | Rách | Rách, vỡ đôi thận |
| Mạch máu | Đứt cuống thận | |
| *Tăng 01 độ cho những trường hợp tổn thương hai bên từ độ III trở xuống | ||
2. Điều trị chấn thương bụng kín vỡ tạng đặc
Xử trí chấn thương bụng kín phải được bắt đầu ngay khi tiếp nhận bệnh nhân.
2.1. Cấp cứu ban đầu
Đánh giá và xử trí theo trình tự các bước ABCDE (Bảng 1) với mục đích xử trí trước các vấn đề ảnh hưởng đến tính mạng người bệnh [1]. Đánh giá nhanh (2 phút), tiến hành xử trí ngay sau khi phát hiện tổn thương và nhắc lại đánh giá bất cứ lúc nào khi bệnh nhân không ổn định.
Bảng 1. Các bước ABCDE | |
| A (Airway and C-spine stabilization) B (Breathing) C (Circulation) D (Disability) E (Environment and Exposure) | Ổn định đường thở và cột sống Hô hấp Tuần hoàn Tri giác Môi trường và tiếp xúc |
A (Airway and C-spine stabilization – Ổn định đường thở và cột sống): Bệnh nhân cần được ngay lập tức kiểm tra tình trạng hô hấp, nhất là trong trường hợp vào viện với bệnh cảnh đa chấn thương. Xác định có hay không tắc nghẽn đường thở, tổn thương đường hô hấp trên, đảm bảo kiểm soát đường thở thông thoáng. Cố định cột sống cổ (nếu cần).
B (Breathing – hô hấp): Phát hiện và xử trí ngay các dấu hiệu và nguyên nhân gây suy hô hấp cấp. Dẫn lưu màng phổi ngay nếu có tràn dịch, khí màng phổi
C (Circulation – tuần hoàn): Xử trí chảy máu (vết thương hở, garo, bất động chi gãy) và sốc nếu có.
Những bệnh nhân huyết động không ổn định, có dấu hiệu sốc được hồi sức tích cực. Bù dịch, máu theo phác đồ hồi sức chấn thương nâng cao (ATLS – Advanced Trauma Life Support)) của Hội phẫu thuật chấn thương Hoa Kỳ (American College of Surgeons Committee on Trauma) dựa trên mức độ mất máu để ước tính lượng dịch, máu phải bù (Bảng 2, Bảng 3) [1].
| Bảng 2. Đánh giá mức độ mất máu ban đầu theo ATLS | ||||
| Chỉ số | Độ I | Độ II (Nhẹ) | Độ III (Vừa) | Độ IV (Nghiêm trọng) |
| Lượng máu mất | < 15% | 15 – 30% | 31 – 40% | > 40% |
| Nhịp tim | ↔ | ↔ / ↑ | ↑ | ↑ / ↑↑ |
| Huyết áp | ↔ | ↔ | ↔ / ↓ | ↓ |
| Áp lực mạch | ↔ | ↓ | ↓ | ↓ |
| Nhịp thở | ↔ | ↔ | ↔ / ↑ | ↑ |
| Nước tiểu | ↔ | ↔ | ↓ | ↓ |
| Thiếu kiềm (HCO3–) | 0 đến –2 mEq/L | –2 đến –6 mEq/L | –6 đến –10 mEq/L | –10 mEq/L hoặc thấp hơn |
| Cần chế phẩm máu | Theo dõi | Có thể | Có | Nhiều |
| Bảng 3. Đáp ứng với hồi sức truyền dịch ban đầu theo ATLS* | |||
| Đáp ứng nhanh | Đáp ứng tạm | Kém hoặc không đáp ứng | |
| Dấu hiệu sinh tồn | Trở về bình thường | Cải thiện tạm thời. Tái phát HA giảm và nhịp tim tăng | Vẫn bất thường |
| Máu mất | Ít (<15%%) | Trung bình (14 – 40%) | Nặng (> 40%) |
| Nhu cầu truyền máu | Thấp | Trung bình | Ngay lập tức |
| Chuẩn bị máu | Nhóm máu và máu chéo | Loại máu cụ thể | Truyền máu cấp |
| Cần phẫu thuật | Có thể | Có khả năng | Rất cần |
| Có mặt phẫu thuật viên | Có | Có | Có |
| *Dung dịch muối đẳng trương, 1000 mL ở người lớn; 20 ml/kg ở trẻ em | |||
D (Disability – tình trạng tri giác): Đánh giá điểm Glasgow, đồng tử, cột sống.
E (Environment and Exposure – Môi trường và tiếp xúc): Cởi bỏ quần áo bệnh nhân, giữ ấm.
Siêu âm chấn thương nhanh (FAST – Focused Assessment with Sonography for Trauma): Mục đích của FAST là phát hiện dịch tự do ổ bụng và màng ngoài tim, có thể làm nhanh và nhiều lần; tuy nhiên chỉ phát hiện được khi lượng dịch trong ổ bụng >100 ml, khó xác định trong trường hợp vướng hơi, béo phì [3].
2.2. Các xử trí tiếp theo
Người bệnh cần bất động và sẽ rất khó khăn khi di chuyển nếu bệnh nhân có chấn thương đáng kể trong ổ bụng hoặc chấn thương hai chi dưới. Tuy nhiên, ngay cả ở những bệnh nhân có vẻ ổn định, vẫn cần phải đánh giá cẩn thận. Các dấu hiệu sinh tồn của bệnh nhân nên được đo ngay lập tức và lặp lại thường xuyên. Bệnh sử cần được khai thác cẩn thận. Cần thiết lập đường truyền vào tĩnh mạch lớn và lấy máu để xét nghiệm, bao gồm cả nhóm máu vì có thể cần truyền máu [1,9-13].
Bệnh nhân ổn định huyết động sẽ được chụp CT bụng với thì động mạch và thì muộn. Nếu CT scan cho thấy không có tổn thương tạng, bệnh nhân có thể được theo dõi và xuất viện nếu ổn định về huyết động. Trường hợp CT có dịch tự do mà không có tổn thương tạng đặc rõ ràng, bệnh nhân phải được theo dõi cẩn thận [4]. Nếu nhìn thấy điểm thoát thuốc thì động mạch, bệnh nhân ổn định huyết động sẽ được can thiệp nút mạch cấp cứu. Sau đó, bệnh nhân nên được theo dõi liên tục toàn trạng, tình trạng bụng, xét nghiệm huyết sắc tố và hematocrit trong 72h. Nếu bệnh nhân tiếp tục chảy máu hoặc nếu khám bụng có dấu hiệu phúc mạc, bệnh nhân phải được phẫu thuật cấp cứu ngay, có thể mổ nội soi (thường áp dụng) hoặc mổ mở tùy lựa chọn của phẫu thuật viên [12,13].
Ở bệnh nhân huyết động không ổn định nên được dự trù máu và huyết tương tươi, và phải thông báo phòng mổ kế hoạch có thể phải phẫu thuật cấp cứu. Với các trường hợp tổn thương xuyên thấu bụng, bệnh nhân phải được chuyển ngay đến phòng mổ để mở bụng xử trí tổn thương.
Hiện nay, xu hướng điều trị bảo tồn không mổ đối với chấn thương tạng đặc do hồi sức tốt, theo dõi tốt, đặc biệt là có can thiệp mạch cầm máu (nút mạch). Đối với bệnh nhân có sốc nghi do vỡ tạng đặc thì chỉ định mổ tuyệt đối, không thực hiện phẫu thuật nội soi do máu chảy nhiều, việc đánh giá tổn thương qua nội soi khó khăn, nguy cơ tắc mạch cao, khả năng xử trí tổn thương chậm.
Đối với tổn thương tạng độ I, II hầu như tạng tự cầm máu được, tỷ lệ bảo tồn thành công cao; độ III tỷ lệ bảo tồn thấp hơn, cần theo dõi lâm sàng chặt chẽ, mổ cấp cứu nếu chảy máu tiếp diễn; từ độ IV trở lên, tỷ lệ bảo tồn được nói chung rất thấp, hầu như phải mổ cấp cứu vì tổn thương lớn khó có thể tự cầm máu [12,13].
Chỉ định phẫu thuật khi điều trị bảo tồn thất bại, bệnh nhân không ổn định huyết động, vỡ tạng thì 2; hoặc nghi ngờ có tổn thương tạng rỗng kèm theo.
Tất cả các quyết định điều trị đều do phẫu thuật viên kết hợp thăm khám lâm sàng từng trường hợp cụ thể và kết quả cận lâm sàng, không có công thức điều trị chung cho mọi trường hợp.
2.2.1. Xử trí tổn thương gan
Chấn thương gan gây ra thương tổn với các nguy cơ chính bao gồm: mất máu, tổn thương đường dẫn mật, tổn thương tế bào gan gây suy chức năng gan. Việc điều trị chấn thương gan đòi hỏi xử trí các thương tổn để giải quyết các nguy cơ theo thứ tự ưu tiên nhằm cứu sống người bệnh, phục hồi tối đa cấu trúc giải phẫu và sinh lý gan.
Điều trị chấn thương gan bao gồm hai phương pháp chính là điều trị bảo tồn không mổ và điều trị phẫu thuật.
- Điều trị bảo tồn không mổ:
Chỉ định khi (1) người bệnh có huyết động ổn định từ đầu hay ổn định trở lại sau hồi sức, đáp ứng nhanh với hồi sức ban đầu hoặc đáp ứng với hồi sức ban đầu và huyết động duy trì được ổn định sau khi bù lượng dịch, máu cần theo ước tính nhưng không quá 1000ml trong 24h đầu; (2) Không phát hiện tổn thương tạng trong ổ bụng phối hợp phải mổ; (3) Có hình ảnh chụp CT ổ bụng xác định tổn thương và mức độ tổn thương gan.
Chỉ định điều trị bảo tồn không mổ chấn thương gan cần căn cứ trên nhiều yếu tố để có quyết định chính xác. Các yếu tố này bao gồm các yếu tố thăm khám theo dõi lâm sàng, xét nghiệm và chẩn đoán hình ảnh, điều kiện của cơ sở điều trị về phương tiện và khả năng theo dõi và sẵn sàng can thiệp chuyển mổ cấp cứu ngay khi có chỉ định.
Khoảng 80% tổn thương chấn thương gan phân loại độ I, II, III, tỷ lệ điều trị bảo tồn thành công 90-95% [12]. Với can thiệp mạch cầm máu (nút động mạch gan chọn lọc) thì khả năng điều trị bảo tồn vỡ gan tăng lên rất nhiều.
Nút động mạch gan chọn lọc có thể được thực hiện để kiểm soát chảy máu từ nhu mô gan. Nút mạch được thực hiện ở bệnh nhân chấn thương gan có huyết động ổn định, nhưng có vị trí thoát thuốc thì động mạch trên CT scan. Nút mạch cũng có thể được áp dụng như một biện pháp hỗ trợ cho can thiệp phẫu thuật để kiểm soát chảy máu. Ngoài ra, nó có thể được áp dụng ở bệnh nhân được điều trị bảo tồn với truyền máu và theo dõi sát.
Bệnh nhân bị chấn thương gan ổn định huyết động mà không có thoát thuốc trên CT hoặc huyết động ổn định sau khi can thiệp nút mạch phải được nhập viện để theo dõi. Cần theo dõi liên tục huyết sắc tố hoặc hematocrit. Bệnh nhân cần đánh giá toàn trạng, tình trạng bụng, tạm thời nhịn ăn và bất động tại giường và được theo sát tình trạng huyết động. Nếu lâm sàng xấu đi hoặc không cải thiện sau khi truyền máu, bệnh nhân cần chỉ định can thiệp nút mạch hoặc phẫu thuật cấp cứu nếu đã nút mạch không thành công.
- Phẫu thuật chấn thương gan:
Mổ cấp cứu bụng được chỉ định khi (1) người bệnh có tình trạng sốc mất máu, đa chấn thương không đáp ứng hoặc chỉ đáp ứng tạm thời với hồi sức ban đầu, sau đó huyết động vẫn không ổn định dù bù dịch, máu cần thiết theo ước tính; (2) Có tổn thương tạng khác trong ổ bụng không thể điều trị bảo tồn, khi đó tổn thương gan được xử trí, thăm dò cùng thì; (3) Những bệnh nhân điều trị bảo tồn không mổ qua theo dõi thấy tiến triển tiếp tục chảy máu, xuất hiện dấu hiệu viêm phúc mạc.
Đường mổ cần đáp ứng yêu cầu xử lý được tất cả các tổn thương có thể gặp tại gan, đặc biệt là gan phải, đồng thời cho phép xử lý được các tổn thương khác kèm theo trong ổ bụng. Đường mổ trong trường hợp cần thiết có thể mở rộng được.
Trong khi phẫu thuật mở bụng thăm dò xử trí tổn thương, thái độ xử trí phụ thuộc vào tổn thương trên nguyên tắc: Bước đầu tiên phải thực hiện là cầm máu trước khi tiến hành sửa chữa những mạch máu, đường mật bị tổn thương. Kỹ thuật cầm máu phụ thuộc vào các tình huống xảy ra trong mổ.
– Kỹ thuật cầm máu:
Trường hợp máu đã ngừng chảy thì chỉ cần lấy máu cục quanh gan, rửa sạch ổ bụng, đặt dẫn lưu (nếu cần). Trường hợp chảy máu nhiều từ gan có thể cầm máu tạm thời bằng cách ép gan bằng tay (Hình 2), ép gan với hai tay và ép vào cơ hoành, giao cho người phụ giữ, kiểm soát cuống gan toàn bộ (thủ thuật Pringle) (Hình 3), nhanh chóng thăm dò ổ bụng để loại trừ các nguồn chảy máu khác.


Hình 2. Kỹ thuật dùng tay ép nhu mô gan cầm máu tạm thời

Hình 3. Thủ thuật Pringle và Kiểm soát toàn bộ mạch máu gan
Trong các trường hợp vỡ gan phức tạp, chèn gạc quanh gan (Hình 4) được áp dụng nhằm hạn chế tỷ lệ tử vong do cắt gan lớn gây ra (>50%). Mục tiêu là sớm xử trí tổn thương, cầm máu với việc giảm tối thiểu rủi ro tiến triển đến bộ ba gây chết người (hạ huyết áp, nhiễm toan và rối loạn đông máu). Điều này có hiệu quả đối với nhiều trường hợp chấn thương gan ngoại trừ chấn thương rách các tĩnh mạch sau gan. Chấn thương phức tạp các tĩnh mạch sau gan/tĩnh mạch chủ dưới thường gây tử vong [14].
Chèn gạc được chỉ định khi: (1) Thiếu máu truyền, thiếu phương tiện, khả năng kỹ thuật, thiếu kinh nghiệm trong phẫu thuật chấn thương gan; (2) Chảy máu tiếp diễn dù đã áp dụng các biện pháp cầm máu khác; (3) Tổn thương nặng, phức tạp cả hai thùy gan; (4) Có rối loạn đông máu hoặc có các dấu hiệu xấu như hạ thân nhiệt <35oC, toan chuyển hóa pH <7.3; (5) Cần kết thúc nhanh phẫu thuật do hạ thân nhiệt sâu kèm theo tình trạng tim mạch, huyết động không ổn định.
Thắt động mạch gan chọn lọc được chỉ định khi cầm máu tại chỗ thất bại, tổn thương sâu gần rốn gan, máu chảy từ động mạch gan mỗi khi nhả kẹp cuống gan.
Trường hợp tổn thương gan nặng, phức tạp, phải cắt gan lớn để cầm máu, nhưng tình trạng bệnh nhân không cho phép (rối loạn đông máu, hạ thân nhiệt, toan chuyển hóa, tổn thương phối hợp nặng…) nếu cắt gan ngay nguy cơ tử vong cao nhất là đối với phẫu thuật viên thiếu kinh nghiệm, nhưng chèn gạc hoặc kẹp cuống gan hoặc thắt động mạch gan đơn thuần không cho hiệu quả cần máu hoàn toàn, một số tác giả đề nghị kết hợp chèn gạc và kẹp cuống gan chọn lọc để cầm máu tạm thời, duy trì bệnh nhân sống; cắt gan cầm máu triệt để được thực hiện sau khi hồi sức tích cực, các rối loạn được điều chỉnh.

Hình 4. Chèn gạc cầm máu trong chấn thương gan
– Xử trí tổn thương:
Trường hợp chấn thương nhẹ độ I, II có thể chỉ cần đốt điện hoặc khâu cầm máu chọn lọc là đủ. Kẹp cuống gan ngắt quãng (có theo dõi thời gian) nếu cần, ưu tiên kẹp cuống gan chọn lọc (Hình 5), giải phóng gan, mở mép vết thương, tìm nguồn chảy máu, mật; nếu vết thương sâu, thao tác khó, có thể mở rộng nhu mô.
Nếu chảy máu từ tĩnh mạch gan và các nhánh, cầm máu chọn lọc bằng khâu, kẹp clip hay buộc thắt.
Nếu chảy máu từ cuống Glisson, cầm máu chọn lọc, lưu ý phạm vi cấp máu của mạch tổn thương và tìm tổn thương đường mật kèm theo.
Cắt gan đóng vai trò quan trọng trong điều trị phẫu thuật chấn thương gan, đặc biệt với những trường hợp vỡ phức tạp, tổn thương đường mật, tĩnh mạch gan, hay tổn thương tĩnh mạch chủ sau gan kèm vỡ gan rộng. Nếu chấn thương gan từ độ III trở lên, phần gan tổn thương gần đứt rời có thể cắt gan theo tổn thương để cầm máu diện vỡ còn lại. Quyết định cắt gan lớn (trên 3 hạ phân thùy theo Couinaud) chỉ nên đưa ra sau cùng khi không còn biện pháp nào khác do tỷ lệ suy gan và tử vong sau mổ cao. Chỉ định cắt gan lớn khi (1) tổn thương cuống mạch chính gây mất cấp máu vùng gan tương ứng, hoặc (2) tổn thương gan rộng, độ IV-V, không thể bảo tồn được bằng khâu cầm máu đơn thuần.
Trong chấn thương, cắt gan cũng chỉ nhằm mục tiêu cầm máu và chống dò mật, đồng thời loại bỏ các tổ chức gan không còn được cấp máu nên thường thực hiện cắt gan theo tổn thương, do vậy, phương pháp cắt gan của Tôn Thất Tùng (cặp cuống gan, cắt gan qua nhu mô bằng ngón tay) phát huy các ưu điểm: nhanh, thời gian cặp cuống gan ngắn, cắt được gan nhỏ (phân thùy, hạ phân thùy), cắt gan tiết kiệm theo tổn thương, tránh được các biến đổi giải phẫu cuống gan do kiểm soát được các cuống mạch trong gan.
Chấn thương gan có tổn thương tĩnh mạch gan – chủ thường hiếm gặp, tỷ lệ tử vong rất cao từ 30-100%. Nguyên nhân chính dẫn tới tử vong là do mất máu cấp và các biến chứng rối loạn nặng nề sau mổ như rối loạn đông máu, suy thận, suy hô hấp, nhiễm trùng… Vì vậy có rất nhiều phương pháp khác nhau để xử trí tổn thương tĩnh mạch gan – chủ nhằm giảm tỷ lệ tử vong: phương pháp Heaney (cặp 4 cuống mạch: động mạch chủ dưới hoành, cuống gan, tĩnh mạch chủ dưới đoạn trên thận, tĩnh mạch chủ dưới ở trong màng ngoài tim); phương pháp Coln (clamp tĩnh mạch chủ dưới, clamp tĩnh mạch gan qua chỗ mở cơ hoành phải); phương pháp Raia (cặp bên tĩnh mạch chủ dưới); phương pháp Buckberg (làm cầu nối trong tĩnh mạch chủ dưới); phương pháp Schrock (làm shunt nhĩ phải – tĩnh mạch chủ dưới),…

Hình 5. Kiểm soát mạch máu gan chọn lọc
Sau khi xử trí thành công các chấn thương gan, cần đánh giá các biến chứng của tổn thương gan như áp xe gan, rò mật, viêm phúc mạc mật, chảy máu đường mật, ổ tụ dịch mật, phình mạch sau chấn thương, rò mật – máu, hội chứng khoang ổ bụng. Xử trí những biến chứng này cần sự kết hợp của can thiệp mạch, đặt dẫn lưu qua nội soi (ERCP) hoặc phẫu thuật lại [14].
2.2.2. Xử trí tổn thương lách
Chấn thương lách thường gặp trong chấn thương bụng kín, trong đó tai nạn giao thông chiếm khoảng 75% [15]. Đánh giá chấn thương ban đầu tuân theo các nguyên tắc cấp cứu chấn thương để nhanh chóng xác định các thương tích đe dọa tính mạng và hồi sức thích hợp [15,16]. Chấn thương cấp tính ở vùng ngực/bụng/sườn trái thường gây chấn thương lách. Các triệu chứng có thể bao gồm đau phần tư bụng trên bên trái, đau ở vai trái (dấu hiệu Kehr), phản ứng thành bụng và cảm ứng phúc mạc [16]. Một số trường hợp bệnh nhân bị chấn thương lách mà không có bất kỳ dấu hiệu đáng chú ý nào trên thăm khám thực thể.
Ở những bệnh nhân ban đầu không cần can thiệp phẫu thuật cấp cứu, chụp CT có tiêm thuốc được chỉ định vì nó có thể đánh giá mức độ tổn thương [16,17]. Các mức độ I- III có thể được điều trị bảo tồn, trong khi các mức độ IV -V thường phải chỉ định phẫu thuật. Đối với các chấn thương lách mức độ I- III, trong trường hợp chảy máu nhiều hoặc liên tục, can thiệp mạch có thể là một phương pháp thay thế cho phẫu thuật [8].
Can thiệp nút mạch được chỉ định cho các bệnh nhân điều trị bảo tồn ở 92% các trường hợp chấn thương bụng kín vỡ lách [18]. Nút mạch cũng có tỷ lệ biến chứng ở 20% bệnh nhân bao gồm cả việc không kiểm soát được chảy máu [19].
Tất cả các bệnh nhân được điều trị nội khoa bảo tồn phải được theo dõi chặt chẽ những thay đổi huyết động. Bệnh nhân cũng nên được chụp CT lần 2 với thuốc cản quang tại thời điểm 48 giờ sau chấn thương [17].
Khoảng 20-40% bệnh nhân chấn thương lách cần can thiệp phẫu thuật cấp cứu, mổ mở xử trí thương tổn được coi là tiêu chuẩn [20]. Chấn thương lách độ IV -V thường cần phẫu thuật [17].
Xử trí tổn thương lách chỉ với mục đích cầm máu. Tùy theo thương tổn có thể chỉ cần đốt điện/argon cầm máu, dùng keo sinh học hoặc phủ surgicel lên tổn thương; các trường hợp nặng hơn có thể phải khâu hoặc cắt lách (bán phần hay toàn bộ). Cắt lách toàn bộ được đặt ra sau khi đã thăm dò đánh giá chính xác thương tổn lách và các cơ quan khác, chỉ định cho các trường hợp: (1) Lách vỡ nát; (2) Đứt rời cuống lách; (3) Nhiều tổn thương phối hợp nặng có nguy cơ ảnh hưởng tính mạng, cần nhanh chóng xử lý để tập trung vào việc xử lý các cơ quan quan trọng.
Bệnh nhân sau cắt lách cần được tiêm phòng H.Influenzae, N.Meningitidis, S.Pneumoniae trong vòng 14 ngày. Bệnh nhân bị chấn thương lách được khuyến cáo không tham gia các môn thể thao và các hoạt động có nguy cơ cao khác trong 3 tháng sau chấn thương [17].
2.2.3. Xử trí tổn thương tụy
Cơ chế chấn thương rất quan trọng để định hướng chẩn đoán có chấn thương tụy vì nó có thể cung cấp thông tin có giá trị kết hợp với biểu hiện lâm sàng của bệnh nhân. Chấn thương tụy có thể rất khó chẩn đoán trong bệnh cảnh đa chấn thương hoặc các trường hợp chấn thương bụng ở bệnh nhân có sốc và viêm phúc mạc. Đánh giá ban đầu bằng siêu âm bụng cấp cứu có thể giúp chẩn đoán và định hướng chỉ định phẫu thuật thăm dò.
Đối với chấn thương bụng kín, điều quan trọng là luôn phải đặt ra vấn đề có chấn thương tụy phối hợp hay không để chẩn đoán kịp thời vì khám thực thể và chẩn đoán hình ảnh ban đầu thường không phát hiện được [21].
Cần chụp CT ổ bụng và định lượng nồng độ lipase và amylase trong huyết thanh. Cần lưu ý rằng nồng độ lipase/amylase trong huyết thanh không đặc hiệu trong chẩn đoán chấn thương tụy vì nó có thể cao trong các chấn thương tạng khác.
Cần lưu ý là phải theo dõi liên tục xét nghiệm men tụy. Chụp lại CT bụng có thể được chỉ định để xác định thương tổn. Trong trường hợp phát hiện tổn thương tụy trên CT bụng và/hoặc men tụy tăng, phẫu thuật mở bụng có thể được chỉ định.
Trong trường hợp không thể chụp CT (bệnh nhân có thai, dị ứng thuốc cản quang) và men tụy bình thường, có thể dùng phương tiện chẩn đoán hình ảnh khác. Chụp cộng hưởng từ mật tụy (MRCP) là phương pháp chẩn đoán hình ảnh không xâm lấn có thể giúp chẩn đoán tổn thương ống tụy. Hình ảnh tổn thương ống tụy trên MRCP có khả năng phải can thiệp phẫu thuật thăm dò. MRCP chỉ nên thực hiện trên bệnh nhân ổn định huyết động.
Chấn thương tụy là chấn thương khó cả chẩn đoán và điều trị, đặc biệt đối với tổn thương ống tụy. Đối với thương tổn ở tụy đơn thuần, điều quan trọng trong xử trí là xác định xem ống tụy chính có bị tổn thương hay không. Việc đánh giá tổn thương ở tụy là việc làm khó nhất trong tất cả các tạng trong ổ bụng. Đối với những những trường hợp không có tổn thương ống tụy, có thể điều trị bảo tồn không mổ. Ngược lại khi có tổn thương ống tụy thì việc đánh giá tổn thương không đúng sẽ dẫn đến rò rỉ dịch tụy gây nên viêm tụy cấp, nang giả tụy, áp xe, rò tụy, nhiễm trùng và viêm tụy mạn sau mổ. Đối với trường hợp nghi ngờ có tổn thương ống tụy mà huyết động ổn định và không có tổn thương phối hợp khác trong ổ bụng thì có thể chỉ định làm ERCP để xác định chẩn đoán và qua đó đặt stent sửa chữa tổn thương.

Hình 6. Xử trí chấn thương tụy độ II
A) Thương tổn tụy.
B) Dẫn lưu hậu cung mạc nối, mở thông túi mật, mở thông dạ dày, mở thông hỗng tràng
Trong phẫu thuật, phải kiểm tra kỹ toàn bộ tụy. (a) Chấn thương tụy được phân loại từ độ I đến V, với độ I- II thường không có tổn thương ống tụy và phần lớn mô tụy. (b) Một khi mô tụy đã được kiểm tra, kiểm tra trực tiếp ống tụy cũng nên được thực hiện. Ngoài ra, có thể chụp đường mật qua túi mật để xác định tổn thương ống tụy. Các chấn thương tụy không có tổn thương ống tụy, chỉ cần dẫn lưu chủ động diện vỡ tụy hoặc dẫn lưu nang giả tụy hình thành muộn về sau.
Mức độ tổn thương và vị trí của tổn thương ống tụy (đầu tụy, thân đuôi tụy) sẽ giúp xác hình thức can thiệp bảo tồn hay cắt tụy. Tổn thương vùng đầu tụy có thể được xử trí bằng dẫn lưu đơn thuần mà không cần cắt tụy. Trong khi tổn thương thân đuôi tụy thường đòi hỏi phải cắt tụy có hoặc không kèm cắt lách. Rất hiếm khi phải cắt khối tá tụy trong chấn thương, các trường hợp này thường tử vong đến 60% do nhiều yếu tố như nhiều tổn thương nặng phối hợp, thể trạng bệnh nhân kém, thời gian phẫu thuật kéo dài, mất máu nhiều và kinh nghiệm của phẫu thuật viên [22-25].

Hình 7. Phẫu thuật cắt thân đuôi tụy có hoặc không kèm cắt lách

Hình 8. Xử trí chấn thương tụy độ V
A) Thương tổn tụy. B) Cắt khối tá tụy
Hình 9. Phẫu thuật cắt bỏ đầu tụy, bảo tồn tá tràng
Nguyên tắc trong phẫu thuật chấn thương tụy: kiểm soát chảy máu, lấy tổ chức tụy dập nát (bảo tồn tối đa tụy lành) và dẫn lưu hợp lý các ống tụy ngoại tiết.
- Phẫu thuật bảo tồn chấn thương tụy:
- Tụ máu, dập nát nhưng ống tụy chính chưa tổn thương:
- Cầm máu, dẫn lưu hậu cung mạc nối
- Đứt ống tụy chính (bên trái tĩnh mạch mạc treo tràng trên):
- Nối tụy – hỗng tràng: Beger, Roux-en-Y
- Nối tụy – dạ dày
- Tụ máu, dập nát nhưng ống tụy chính chưa tổn thương:
- Phẫu thuật cắt bỏ tụy:
- Cắt bỏ đuôi hoặc thân đuôi tụy
- Cắt bỏ đầu tụy, bảo tồn tá tràng (Beger 1985)
- Cắt khối tá tụy (DPC – DuodénoPancréatectomie Céphaliques)
- Cắt bỏ hoàn toàn khối tá tụy (DPT – DuodénoPancréatectomie Totale)
2.2.4. Xử trí tổn thương thận
Đối với chấn thương thận độ I, II chỉ cần điều trị bảo tồn. Nút mạch giúp cầm máu tốt với chấn thương thận độ III, IV. Tuy nhiên do cục máu quanh thận lớn, khả năng tự tiêu chậm, nguy cơ nhiễm trùng cao do vi khuẩn, do thấm rò nước tiểu nên khả năng phải can thiệp phẫu thuật. Đối với chấn thương thận độ V thường phải can thiệp phẫu thuật sớm để cầm máu, xử trí các mảnh vỡ rời, xử lý các biến chứng tiết niệu [24,25].
Các phương pháp phẫu thuật:
- Chỉ lấy máu tụ đơn thuần và dẫn lưu quanh thận
- Lấy máu tụ kèm đặt JJ bể thận – bàng quang
- Cắt thận bán phần hoặc toàn bộ
- Ghép thận tự thân (rất hiếm khi thực hiện).

Sơ đồ 1. Hướng dẫn xử trí chấn thương bụng kín
Phần lượng giá
“Cập nhật thực hành chẩn đoán và điều trị chấn thương bụng kín vỡ tạng đặc”
Tài liệu tham khảo
- American College of Surgeons. Advanced Trauma Life Support® Student Course Manual. 10th ed. Chicago: American College of Surgeons; 2018.
- Moore E, Cogbill T, Malangoni M, Jurkovich G, Champion H. Injury scoring scales – the American Association for the Surgery of Trauma. Aast.org. 1994.
- Carter JW, Falco MH, Chopko MS, Flynn WJ, Wiles CE, Guo WA. Do we really rely on FAST for decision making in the management of blunt abdominal trauma? Injury. 2014
- Chereau N, Wagner M, Tresallet C, Lucidarme O, Raux M, Menegaux F. CT scan and diagnostic peritoneal lavage: towards a better diagnosis in the area of operative management of blunt abdominal trauma. Injury. 2016;47:2006–11.
- Dammers D, El Moumni M, Hoogland II, Veeger N, ter Avest E. Should we perform a FAST exam in hemodynamically stable patients presenting after blunt abdominal injury: a retrospective cohort study. Scand J Trauma Resus Em Med. 2017
- Mutschler A, Nienaber U, Brockamp T, et al. A critical reappraisal of the ATLS classification of hypovolemic shock: does it really reflect clinical reality? Resuscitation 2013,84:309–313.
- Kelley SR, Tsuei BJ, Bernard AC, Boulanger BR, Kearney PA, Chang PK. The effectiveness of focused assessment with sonography for trauma in evaluating blunt abdominal trauma with a seatbelt mark sign. J Curr Surg. 2014;4:17–22.
- Moore FA, Davis JW, Moore EE, Cocanour CS, West MA, McIntyre RC. Western Trauma Association (WTA) critical decisions in trauma: management of adult blunt splenic trauma. J Trauma. 2008;65:1007–11.
- Ng AKT, Simons RK, Torreggiani WC, Ho SG, Kirkpatrick AW, Brown DRG. Intra-abdominal free fluid without solid organ injury in blunt abdominal trauma: an indication for laparotomy. J Trauma Inj Infec Crit Care. 2002;52:1134–40.
- Robinson JD, Sandstrom CK, Lehnert BE, Gross JA. Imaging of blunt abdominal solid organ trauma. Sem Roentgen. 2016;51:215–29.
- Rodriguez C, Barone JE, Wilbanks TO, Rha C-K, Miller K. Isolated free fluid on computed tomographic scan in blunt abdominal trauma: a systematic review of incidence and management. J Trauma Inj Infect Crit Care. 2002;53:79–85.
- Mattox K, Moore E, Feliciano D. Trauma. 7th ed. New York: McGraw-Hill Medical; 2013. p. 901–17.
- Townsend C, Beauchamp R, Evers B, Mattox K. Sabiston textbook of surgery: the biological basis of modern surgical practice. 19th ed. Philadelphia: Saunders; 2012. p. 454–5.
- Hirshberg A, Mattox K. Top knife. Nr Shrewsbury: TFM; 2005. p. 83–98. 9. Baillie J. Hemobilia. Gastroenterol Hepatol. 2012;8(4):270–2.
- Diercks DB, Clarke S. Initial evaluation and management of blunt abdominal trauma in adults. In: UpToDate, Post TW, editors. UpToDate, Waltham, Accessed via https://www.uptodate.com/contents/initial-evaluation-and-management-of-blunt-abdominaltrauma-in-adults on 7 July, 2017.
- Maung AA, Kaplan LJ. Management of splenic injury in the adult trauma patient. In: UpToDate, Post TW, editors. UpToDate, Waltham. Accessed via https://www.uptodate.com/contents/management-of-splenicinjury-in-the-adult-trauma-patient on 7 July, 2017.
- Watson GA, Hoffman MK, Peitzman AB. Nonoperative management of blunt splenic injury: what is new? Eur J Trauma Emerg Surg. 2015;41(3):219–28.
- Haan J, Scott J, Boyd-Kranis RL, Ho S, Kramer M, Scalea TM. Admission angiography for blunt splenic injury: advantages and pitfalls. J Trauma Acute Care Surg. 2001;51(6):1161–5.
- Stassen NA, Bhullar I, Cheng JD, Crandall ML, Friese RS, Guillamondegui OD, Jawa RS, Maung AA, Rohs TJ, Sangosanya A, et al. Selective nonoperative management of blunt splenic injury: an Eastern Association for the Surgery of trauma practice management guideline. J Trauma Acute Care Surg. 2012;73(5.4):S294–300.
- Maung AA, Kaplan LJ. Surgical management of splenic injury in the adult trauma patient In: UpToDate, Post TW, editors. UpToDate, Waltham. Accessed via https://www.uptodate.com/contents/surgical-management-of-splenic-injury-in-the-adult-trauma-patient on 7 July, 2017.
- Debi U, Kaur R, Prasad KK, Sinha SK, Sinha A, Singh K. Pancreatic trauma: A concise review. World J Gastroenterol. 2013;19(47):9003–11.
- Jacobs LM, Gross RI, Luk SS. Advanced trauma operative management. Woodbury: Cine-Med, Inc; 2004.
- Maggio PM, Clark D. Management of duodenal and pancreatic trauma in adults. In: Post TW, editor. UpToDate. Waltham: UpToDate. Accessed on 29 Nov 2017.
- Cameron J, Cameron A. Cameron current surgical therapy. 11th ed. Philadelphia: Saunders; 2014. p. 2692–9.
- Brunicardi F, Anderson D, Billiar T, Dunn D, Hunter J, Matthews J, Pollock R. Schwartz’s principles of surgery. 9th ed. New York: McGraw-Hill; 2010. p. 324.
Bản quyền và thương hiệu: Thông tin và hình ảnh trên website thuộc quyền sở hữu của Vinmecdr. Việc sao chép, sử dụng phải được Vinmecdr chấp thuận trước bằng văn bản.
Miễn trừ trách nhiệm: Tất cả những tư liệu được cung cấp trên website này đều mang tính tham khảo. Do đó, nội dung và hình ảnh sẽ được thay đổi, cập nhật và cải tiến thường xuyên mà không phải thông báo trước. Vinmecdr không bảo đảm về độ chính xác cũng như sự hoàn thiện về thông tin. Chúng tôi không chịu trách nhiệm pháp lý cho những thiệt hại xuất hiện trực tiếp hay gián tiếp từ việc sử dụng hoặc hành động dựa theo những thông tin trên hoặc một số thông tin xuất hiện trên website này. Vinmecdr không chịu trách nhiệm pháp lý về những sai sót, lỗi chính tả… do nhập liệu cùng với những sự cố khách quan khác như: nhiễm virus, hành vi phá hoại, ác ý… xảy ra trên website này cũng như các website liên kết, nếu có.
Đường link liên kết
Vinmecdr sẽ không chịu trách nhiệm hay có nghĩa vụ pháp lý dưới bất kỳ hình thức nào về nội dung của những website không thuộc Vinmecdr đựợc liên kết với website www.vinmecdr.com, bao gồm các sản phẩm, dịch vụ và những mặt hàng khác được giới thiệu thông qua những website đó.

