Cập nhật thực hành chẩn đoán và điều trị tắc ruột sau mổ
Tắc ruột non là một cấp cứu ngoại khoa trong đó sự tắc nghẽn của ruột non gây cản trở sự đi qua của nội dung trong lòng ruột. Vì thế, chẩn đoán tắc ruột sau mổ ban đầu vô cùng quan trọng.
1. Tổng quan
Nội dung bài viết
- Tắc ruột non là một cấp cứu ngoại khoa trong đó sự tắc nghẽn của ruột non gây cản trở sự đi qua của nội dung trong lòng ruột
- Chẩn đoán không khó
- Điều trị phụ thuộc tình trạng bệnh cụ thể: Nội khoa, phẫu thuật khi có chỉ định
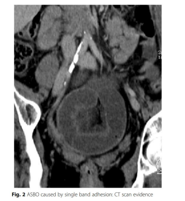
- Dính sau PT: nguyên nhân phổ biến nhất của tắc ruột non, chiếm 60%
- Nguy cơ tắc ruột non cao nhất sau PT đại trực tràng, ung thư phụ khoa hoặc PT nhi khoa
- Mổ lại cho tắc ruột do dính khoảng 4.2-12.6% sau phẫu thuật nhi, và 3,2% sau PT đại trực tràng
2. Chẩn đoán
- Điển hình đau bụng, nôn, bí trung đại tiện, chướng bụng.
- Nguyên nhân không do dính: thoát vị nghẹt, khối u (ác tính, lành tính), và một số nguyên nhân khác (Crohn, xoắn ruột).
- Chẩn đoán ban đầu vô cùng quan trọng; nhầm/muộn chiếm 70% các sai sót trong chẩn đoán.

Chẩn đoán xác định nguyên nhân của tắc ruột do dính chỉ được khẳng định trong mổ
- Chẩn đoán trước mổ: Tiền sử điều trị tắc ruột do dính hoặc loại trừ các nguyên nhân khác gây tắc ruột bằng chẩn đoán hình ảnh (CT)
- Đánh giá ban đầu của BN nghi ngờ tắc ruột non:- Phân biệt giữa tắc ruột non do dính và các nguyên nhân khác
- Thời điểm cần phẫu thuật cấp cứu
- Xác định và ngăn ngừa các biến chứng do tắc ruột
 
2.1. Chẩn đoán lâm sàng
- Bệnh sử: Đánh giá các yếu tố nguy cơ của tắc ruột (tiền sử mổ cũ vùng bụng, xạ trị) và tình trạng dinh dưỡng, dấu hiệu mất nước
- Lâm sàng thường gặp: đau bụng cơn, chướng bụng và buồn nôn (có hoặc không có nôn), có hoặc không có đại tiện
- Dấu hiệu do kích thích phúc mạc có thể giúp phát hiện sự bóp nghẹt hoặc thiếu máu cục bộ
- Khám loại trừ các trường hợp thoát vị
- Một số trường hợp dễ chẩn đoán sai hoặc chẩn đoán chậm:- Tắc ruột không hoàn toàn: tiêu chảy (+)
- Tắc ruột cao, BN nhập viện sớm, vẫn đại tiện
- Người già: ít đau
 
- Việc đánh giá tắc ruột do dính bằng lâm sàng có độ nhạy thấp (48%) để chẩn đoán tắc ruột do thắt nghẹt và thiếu máu ruột
2.2. Chẩn đoán bằng xét nghiệm máu
- Tối thiểu: Công thức máu, lactate, điện giải, CRP và ure/creatinin.
- Viêm phúc mạc: CRP >75 và WBC >10.000/mm3
- Rối loạn điện giải (↓K+)
- ↑ Ure/creatinine: Tình trạng mất nước dẫn đến suy thận cấp
2.3. Chẩn đoán bằng X quang bụng (ASP)
- Bộ ba trong tắc ruột muộn:- Nhiều mức nước-hơi,
- Giãn các quai ruột non, và
- Không có khí trong đại tràng
 
- Độ nhạy và đặc hiệu thấp (độ nhạy 70%)
- Liềm hơi dưới hoành → biến chứng thủng
- Nhược điểm:- Không phát hiện ra các dấu hiệu sớm của viêm phúc mạc hoặc thắt nghẹt ruột;
- Không phân biệt được các nguyên nhân tắc
 

2.4. Chẩn đoán bằng chụp lưu thông ruột non
- Nhiều lợi ích
- Thuốc cản quang chưa xuống đến đại tràng sau 24 giờ = thất bại của điều trị nội khoa không mổ
- Nhiều nghiên cứu: sử dụng các chất cản quang tan trong nước dự đoán chính xác chỉ định PT và giảm thời gian nằm viện
2.5. Chẩn đoán bằng CT bụng
- Chẩn đoán tắc ruột non + 90% các trường hợp nghẹt ruột cần PT
- Giá trị chẩn đoán càng cao khi sử dụng chất cản quang tan trong nước
- Giúp phân biệt tắc ruột hoàn toàn do đó tạo điều kiện cho quyết định điều trị nội khoa so với chỉ định mổ cấp cứu ngay
- Giúp xác định vị trí tắc (hỗng tràng hoặc khung chậu)

Dấu hiệu quai ruột đóng, thiếu máu ruột và dịch tự do bằng phẫu thuật
- Mặc dù dính ruột không thể nhìn thấy trực tiếp trên CT, nhưng chụp CT có thể giúp chẩn đoán phân biệt các nguyên nhân tắc ruột khác
→ CT được coi là phương tiện chẩn đoán thích hợp nếu có bất kỳ nghi ngờ nào về chẩn đoán tắc ruột do dính sau mổ và để đánh giá sự cần thiết của can thiệp PT
2.6. Chẩn đoán bằng siêu âm và MRI
- Hữu ích trong một số tình huống cụ thể (BN có thai), có thể cung cấp nhiều thông tin hơn so với chụp X quang bụng và là phương tiện sẵn có
- Ngoài đánh giá mức độ giãn các quai ruột, siêu âm cho phép phát hiện dịch tự do ổ bụng
- Phụ thuộc kinh nghiệm
- Làm thêm MRI để có thêm thông tin về mặt giải phẫu nếu đã chẩn đoán tắc ruột

3. Tắc ruột sau mổ khi nào mổ lại?
- Điều trị tắc ruột sau mổ bao gồm điều trị nội khoa và phẫu thuật khi có chỉ định
- Nằm viện trung bình 8 ngày và tử vong tại BV 3%
- 20 – 30% phải phẫu thuật
- Thời gian nằm viện và tỷ lệ biến chứng phụ thuộc vào mức độ cần can thiệp PT
- Hiệp hội Phẫu thuật Cấp cứu Thế giới (WSES – the World Society of Emergency Surgery) đã đưa ra các khuyến cáo dựa trên bằng chứng trong chẩn đoán và xử trí tắc ruột do dính sau mổ
3.1. Điều trị nội khoa
- Luôn được đặt ra, trừ khi có dấu hiệu của viêm phúc mạc, nghẹt ruột hoặc thiếu máu cục bộ
- Điều trị nội khoa có hiệu quả trong 70-90% BN
- Điều trị: Nhịn ăn và giảm chướng bụng bằng cách đặt sonde dạ dày hoặc sonde tá tràng; truyền dịch, điều chỉnh rối loạn điện giải, hỗ trợ dinh dưỡng và phòng sặc (trào ngược vào đường thở)
- NC 186 BN, nhóm dùng sonde tá tràng cho thấy hiệu quả hơn với tỷ lệ thất bại 10,4% so với 53,3% trong nhóm dùng sonde dạ dày. Tuy nhiên nhược điểm của dùng sonde tá tràng là cần đặt qua nội soi
- Thời gian cho điều trị nội khoa là chủ đề còn nhiều tranh luận.
- Bằng chứng về thời gian điều trị không phẫu thuật tối ưu là không có, nhưng hầu hết các tác giả đều đưa ra mốc thời gian 72 giờ là an toàn và phù hợp
- Nhiều trường hợp cho thấy, nếu tiếp tục điều trị không PT trong >72 giờ, BN không có chuyển biến lâm sàng xấu đi mặc dù vẫn có dịch ra kéo dài qua sonde dạ dày
- Cải thiện Các biến chứng chủ yếu của tắc ruột do dính: mất nước với suy thận cấp chức năng, rối loạn điện giải, suy dinh dưỡng và trào ngược vào đường thở


3.2. Phẫu thuật
- Trước đây, mổ mở đã được coi là PT tiêu chuẩn cho tắc ruột do dính.
- PTNS: Ít nguy cơ dính, sớm có nhu động ruột, giảm đau tốt và thời gian nằm viện ngắn
- PTNS trong các trường hợp ruột giãn nhiều, dính phức tạp có thể làm tăng nguy cơ thủng ruột. Một số tác giả đã báo cáo tổn thương ruột ở 6,3-26,9%. Tỷ lệ cắt ruột 53,5% so với 43,4% mổ mở.
- PTNS điều trị dính ruột cũng khó khăn hơn ở những BN đã xạ trị
- PTNS cần lựa chọn chỉ định.
- PTNS thường áp dụng ở BN tắc ruột sớm hoặc thể trạng tốt
- Các yếu tố tiên lượng để PTNS thành công:- ≤2 lần tiền sử mổ mở,
- Cắt ruột thừa,
- Không có vết mổ cũ đường trắng giữa, và
- Chỉ một lần dính ruột duy nhất
 



4. Case lâm sàng
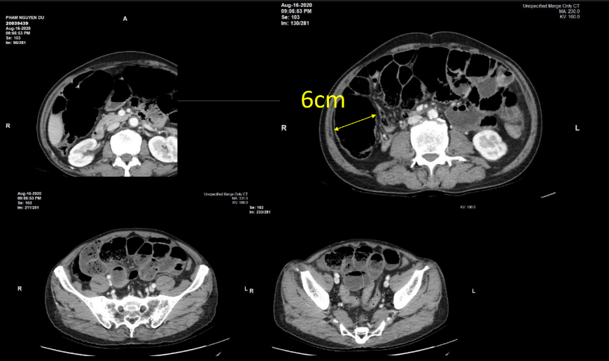
- BN nam 71T vào Vinmec cấp cứu lúc 23h30 (8/2020) vì đau bụng quanh rốn từng cơn, bụng chướng kèm bí trung đại tiện, nôn. BN đã vào BV huyện địa phương, chụp XQ bụng đứng có hình ảnh các quai ruột giãn + mức hơi-dịch. CT Scan bụng không thuốc (15h30 cùng ngày) nhiều quai ruột giãn chủ yếu 1/2 bụng phải.
- Tiền sử mổ cắt ruột thừa nội soi 9/2019 ở BV huyện H.H (tỉnh T.B). Chưa khi nào biểu hiện đau nôn bí trướng bụng. Tăng huyết áp đang điều trị. Hay bị táo bón từng đợt.
- Bệnh sử: Khởi đau bụng tăng lên nhanh trong vòng 36h. Vào viện trong bệnh cảnh đau từng cơn dày gần như liên tục. VAS 8. Bụng chướng rất nhiều, không thể nằm trên giường phải ngồi tư thế Fowler. Sau khi được đặt sonde dạ dày cấp cứu, ra được #1L dịch đục cặn, có vẩn màu đà thì BN có thể nằm.
- Lâm sàng: Sonde dạ dày trắng đục bẩn. Sau nôn có đỡ đau. Sẹo mổ trocar trên rốn. Bụng chướng hơi nhiều gõ vang. Bụng đều không lệch, có quai ruột nổi dưới da; không thấy tăng nhu động dấu rắn bò. Nghe âm ruột tăng nhẹ chủ yếu vùng trên rốn và hai hạ sườn. Hai lỗ bẹn-đùi hai bên không thấy thoát vị. Không phản ứng thành bụng hố chậu phải. Thăm trực tràng bóng trực tràng rỗng, không sờ thấy u trực tràng.
- Xét nghiệm: Ure 9.1 Crea 105, GOT/GPT 21.0/24.9, D-Dimer 1007, WBC 18.600 (N90.5%), K+ 4.3, Na+ 139, Cl- 94.9 CT bụng (Vinmec):- Hình ảnh một số quai hỗng tràng và hồi tràng giãn, vài quai trong lòng chứa phân (dấu hiệu Feces sign), hình mức nước hơi không điển hình, không thấy rõ quai ruột giãn cạnh quai ruột xẹp, không thấy dấu hiệu xoáy nước. Đề nghị phối hợp thêm lâm sàng.
- Manh tràng và đại tràng ngang giãn trong lòng chứa nhiều khí và bã thức ăn (Manh tràng dãn 6cm, dãn các quai ruột non #3.5cm)
- Hiện không thấy hẹp tắc các ĐM, TM mạc treo tại thời điểm khảo sát.
 


5. Câu hỏi
- Chẩn đoán và biện luận? Tắc ruột do dính? Do u?,…
- Hướng xử trí tiếp theo?
Trả lời/ Thảo luận
- Chẩn đoán: Giả tắc ruột Ogilvie: Giả tắc cấp tính đại tràng.- Tắc ruột do dính: Không hợp lý vì khung đại tràng giãn.
- Phù hợp chẩn đoán: Nam giới. Tuổi > 60T. Tiền sử táo bón. CT không ghi nhận nguyên nhân hẹp lòng quai ruột.
- Chưa phù hợp: Không có các yếu tố nguy cơ khác: sau mổ sinh, mổ tim, thay khớp háng, bệnh nội khoa nặng..
 
- Hướng xử trí tiếp theo:- Điều trị nội khoa: lưu sonde dạ dày giảm áp, kháng sinh, TPN.
- Khám theo dõi cải thiện lâm sàng.
 
Lưu ý: 100% cas manh tràng ≥12cm → vỡ và 3/17 cas < 9cm bị vỡ.
Bản quyền và thương hiệu: Thông tin và hình ảnh trên website thuộc quyền sở hữu của Vinmecdr. Việc sao chép, sử dụng phải được Vinmecdr chấp thuận trước bằng văn bản.
Miễn trừ trách nhiệm: Tất cả những tư liệu được cung cấp trên website này đều mang tính tham khảo. Do đó, nội dung và hình ảnh sẽ được thay đổi, cập nhật và cải tiến thường xuyên mà không phải thông báo trước. Vinmecdr không bảo đảm về độ chính xác cũng như sự hoàn thiện về thông tin. Chúng tôi không chịu trách nhiệm pháp lý cho những thiệt hại xuất hiện trực tiếp hay gián tiếp từ việc sử dụng hoặc hành động dựa theo những thông tin trên hoặc một số thông tin xuất hiện trên website này. Vinmecdr không chịu trách nhiệm pháp lý về những sai sót, lỗi chính tả… do nhập liệu cùng với những sự cố khách quan khác như: nhiễm virus, hành vi phá hoại, ác ý… xảy ra trên website này cũng như các website liên kết, nếu có.
Đường link liên kết
Vinmecdr sẽ không chịu trách nhiệm hay có nghĩa vụ pháp lý dưới bất kỳ hình thức nào về nội dung của những website không thuộc Vinmecdr đựợc liên kết với website www.vinmecdr.com, bao gồm các sản phẩm, dịch vụ và những mặt hàng khác được giới thiệu thông qua những website đó
 



 
 
 
 
 
 
 
 
 
