Chẩn đoán trật khớp gối
Trật khớp gối là một trong những tổn thương đầu gối rất hiếm gặp và thường nhầm lẫn với trật khớp bánh chè. Trật khớp gối rất nguy hiểm và cần được chẩn đoán, điều trị ngay. Thông qua bài viết, chúng tôi hướng dẫn chẩn đoán trật khớp gối.
Nhóm Tác giả: Đỗ Văn Minh, Phạm Trung Hiếu
Ngày phát hành: 30/3/2022
1. Đại cương khớp gối
Nội dung bài viết
Trật khớp gối là tình trạng bất tương xứng của xương đùi với xương chày do tổn thương hệ thống phẩn mềm giúp giữ vững khớp, có thể hay không kèm theo tình trạng trật khớp bánh chè. Trong nội dung bài này chỉ đề cập tới trật khớp gối do chấn thương
1.1. Dịch tễ và cơ chế chấn thương
Trật khớp gối là một tổn thương tương đối ít gặp, chỉ chiếm khoảng 0,02% trong số chấn thương chi, bên cạnh đó, gần một nửa số lượng trật khớp gối thường được có thể tự nắn trật một cách tự nhiên nên khi người bệnh đến viện không còn dấu hiệu trật khớp gối điển hình.
Các tổn thương đi kèm với trật khớp gối bao gồm: tổn thương động mạch khoeo, tổn thương thẩn kinh mác chung, gãy xương vùng gối, trật hở khớp gối (có khoảng 30% trật khớp gối là trật hở)., do đó cẩn luôn ghi nhớ trật khớp gối là tổn thương rất nặng, có thể đe dọa sự bảo tồn chi thể cũng như tính mạng người bệnh. Các tổn thương trật gối nếu không được điều trị kịp thời có thể để lại di chứng nặng nể.

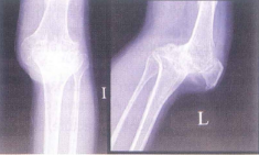
Hình 10.1. Một tổn thương trật khớp gối cũ không được điều trị
1.2. Giải phẫu ứng dụng
Khớp gối là khớp phức hợp, bao gồm khớp chè- đùi và khớp chày- đùi. Khớp chày- đùi là khớp lưỡng lồi cẩu, cấu trúc sụn chêm có vai trò quan trọng trong việc làm tăng sự tương thích và diện tích tiếp xúc của xương chày với xương đùi.
Khớp gối được giữ vững chắc bởi cấu trúc hình thái xương, sụn chêm, bao khớp, các dây chằng trong khớp, các dây chằng ngoài bao khớp và các gân cơ xung quanh. Các dây chằng trong bao khớp gối gồm dây chằng chéo trước và dây chằng chéo sau. ở phía trước khớp gối được giữ vững bởi gân bánh chè và dây chằng chè đùi trong và chè đùi ngoài, ở phía sau khớp gối được giữ vững chắc bởi dây chằng khoeo chéo và dây chằng khoeo cung. Ở hai bên khớp gối được giữ vững chắc bởi dây chằng bên trong và dây chằng bên ngoài.
Hệ thống các gân cơ tứ đầu đùi, nhị đẩu đùi, gân cơ chân ngỗng và cân căng mạc đùi cũng góp phẩn quan trọng trong cơ chế giữ vững khớp gối.
Trong hố khoeo có chứa bó mạch và thẩn kinh nằm sát bao khớp gối phía sau.
Khớp chày mác trên không tham gia vào hoạt động của khớp gối nên được coi là một khớp ngoài khớp gối. Đẩu trên của xương mác có thắn kinh mác chung chạy qua từ sau ra trước rất hay bị tổn thương trong chấn thương trật khớp gối.
2. Chẩn đoán trật khớp gối
2.1. Triệu chứng lâm sàng
Một khi nghĩ tới thương tổn trật khớp gối, điều đẩu tiên luôn luôn cẩn phải ghi nhớ không phải là kiểm tra dây chằng mà đó là đánh giá tình trạng tưới máu ngoại vi chi thể cũng như theo dõi tình trạng này liên tục trước, trong và sau nắn chỉnh. Khoảng 5-60% các trường hợp trật khớp gối có thể kèm theo tổn thương động mạch khoeo phối hợp do đó cẩn thăm khám kỹ lâm sàng: theo dõi màu sắc, nhiệt độ, dấu hiệu tái tưới máu đẩu chi, bắt mạch chày trước, chày sau và so sánh với bên đối diện. Cùng với đánh giá tổn thương mạch, các triệu chứng của hội chứng chèn ép khoang cũng cẩn được theo dõi sát.
Trong trường hợp người bệnh không có dấu hiệu thiếu máu chi rõ ràng cũng không được loại trừ tổn thương mạch, cẩn đánh giá chỉ số ABI (Ankle Brachial Index)- là tỉ số giữa huyết áp tâm thu đo được ở cổ chân chia cho huyết áp tâm thu đo được ở cánh tay, bình thường chỉ số này nằm trong khoảng 0,9-1,3. Chỉ số ABI < 0.9 có ý nghĩa chẩn đoán xác định tổn thương mạch khoeo.
Các thăm khám lâm sàng để chẩn đoán trật khớp gối không phải luôn luôn đáng tin cậy do đau, bệnh nhân chống lại, haỵ do gãy xương kèm theo. Một khi có tổn thương xương hay mạch máu thẩn kinh kèm theo, nên hạn chế sử dụng các nghiệm pháp thăm khám lỏng khớp, đặc biệt các nghiệm pháp kéo giãn dây chằng nên được thăm khám thật cẩn thận vì có nguy cơ gây di lệch thêm xương gãỵ hay tổn thương nặng thêm mạch máu thần kinh.
Trong trường hợp không có tổn thương xương, thăm khám lâm sàng nhằm phát hiện các dấu hiệu lỏng khớp do tổn thương dây chằng gây nên. Dấu hiệu vẹo trong, vẹo ngoài, duỗi gối quá mức so với bên lành là những dấu hiệu rõ rệt biểu hiện tình trạng tổn thương dây chằng trong trật khớp gối.
Tổn thương thần kinh mác chung gặp khoảng 10 – 40% trong số trật khớp gối cấp tính và tỉ lệ không hổi phục có thể lên tới một nửa trong số này. Thăm khám lâm sàng cần phát hiện dấu hiệu rối loạn cảm giác và vận động do tổn thương thần kinh mác chung gây nên.
2.2. Chẩn đoán hình ảnh
Luôn luôn ghi nhớ chỉ sử dụng thêm các phương tiện chẩn đoán hình ảnh nếu lâm sàng không có biểu hiện thiếu máu ngoại vi nặng.
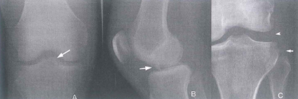
- Bất tương xứng, rộng khe khớp
- Bong điểm bám dây chằng
- Mảnh xương trong khớp

Hình 10.1. Tổn thương xương diện bám dây chằng trong trật khớp gối A,B. Bong điếm bám dây chằng chéo trước c. Bóng điểm bám dây chằng bên ngoài và rộng khe khớp bên ngoài
Chụp cắt lớp vi tính vùng khớp gối cồ thể được chỉ định cho những trường hợp gãy trật khớp gối để đánh giá thêm các tổn thương xương, phân loại thương tổn.
Chụp cộng hưởng từ giúp phát hiện các tổn thương gân cơ, sụn chêm và dây chằng kèm theo để đưa ra kê’ hoạch mổ phù hợp.
Các phương pháp thăm dò cận lâm sàng để phát hiện tổn thương mạch máu phối hợp:
- Siêu âm Doppler mạch nhằm xác định các dấu hiệu trực tiếp và gián tiếp của tổn thương bó mạch trong trật khớp gối. Ngoài ra siêu âm Doppler còn có thể đánh giá được chỉ sổ ABI.
- Chụp mạch là biện pháp hiệu quả để chẩn đoán xác định tổn thương mạch máu trong trật khớp gối, chỉ định trong các trường hợp lâm sàng còn tưới máu tốt nhưng chỉ số ABI < 0,85.

Hình 10.2. Tổn thương mạch khoeo trong trật khớp gối
Có rất nhiều cách phân loại trật khớp gối như trật kín hay hở, do lực mạnh hay lực nhẹ, có thể nắn kín được hay không. Thường lâm sàng ban đẩu sử dụng phân loại trật khớp gối theo vị trí dựa vào vị trí tương đối của xương chày so với xương đùi ở thời điểm khớp gối bị trật.
Tuy nhiên, nhiều người bệnh trật khớp gối được đưa vào cấp cứu trong tình trạng khớp gối đã tự nắn trật một cách tự nhiên hoặc sau sơ cứu nên cách phân loại này không phải lúc nào cũng áp dụng được. Cũng bởi vậy mà phân loại trật khớp gối theo tổn thương giải phẫu thường được sử dụng hơn, phân loại này mô tả tổn thương trật khớp gối dựa vào tổn thương giải phẫu, phân độ càng cao ý nghĩa thương tổn càng nặng, dễ giúp cho người đọc hình dung ra thương tổn hơn.
Phân loại trật khớp gối theo Kennedy, gồm 5 kiểu:
- Trật khớp gối ra trước: Trật khớp gối ra trước thường là hậu quả của việc quá duỗi gối, thường sẽ xảy ra khi chấn thương gây quá duỗi gối trên 30 độ. Là loại hay gặp nhất trên lâm sàng, thường kèm theo tổn thương dây chằng chéo sau. Tổn thương của mạch khoeo thường là rách màng trong do lực kéo giãn.
- Trật khớp gối ra sau: Thường là hậu quả của lực tác động trực tiếp vào đầu trên xương chày hoặc khi lực dồn dọc từ trên xuống lúc gối đang tư thế gấp. Kiểu trật này có tỉ lệ tổn thương mạch lớn nhất cũng như tổn thương nặng nhất (đứt hoàn toàn)
- Trật khớp gối vào trong, ra ngoài là hậu quả của lực tác động làm gối biến dạng vẹo trong, vẹo ngoài. Trật ra ngoài thường gây tổn thương thẩn kinh mác.
- Trật khớp gối xoay: thường là xoay hướng sau ngoài, khó nắn chỉnh do đẩu trên xương đùi xuyên thủng bao khớp và bị kẹt lại kiểu “cúc áo”.

Hình 10.3. Phân loại trật khớp gối theo Kennedy
Phân loại trật khớp gối dựa vào tổn thương giải phẫu của Schenk và được bổ sung bởi Wasche:
- Độ I: Chỉ một trong hai dây chằng chéo bị tổn thương.
- Độ II: Tổn thương hai dây chằng chéo, hai dây chằng bên không tổn thương.
- Độ IIIM: Tổn thương hai dây chằng chéo và dây chằng bên trong.
- Độ IIIL: Tổn thương hai dây chằng chéo và dây chằng bên ngoài.
- Độ IV: Tổn thương cả hai dây chằng chéo và hai dây chằng bên.
- Độ V: Trật khớp gối kèm theo gãy xương diện khớp.
- C: Thêm vào sau phân độ khi có tổn thương mạch máu.
- N: Thêm vào sau phân độ khi có tổn thương thần kinh.
>>> Xem thêm: Cập nhật các thông tin, góc nhìn mới nhất của các bác sĩ hàng đầu tại bệnh viện Vinmec


