Viêm dạ dày tự miễn
Bài viết dưới đây sẽ đề cập tới các yếu tố khách quan, nguồn dữ liệu, cơ chế bệnh sinh, đặc điểm lâm sàng, chẩn đoán, chẩn đoán phân biệt với viêm teo dạ dày đa ổ, các di chứng hay gặp ở viêm dạ dày tự miễn.
1. Văn cảnh
Nội dung bài viết
Viêm dạ dày tự miễn (AG) là một bệnh viêm teo dạ dày mãn tính ở phần đáy vị liên quan đến sự thiếu hụt yếu tố nội sinh, có hoặc không kèm theo thiếu máu ác tính. Viêm dạ dày tự miễn là một bệnh vi thể. Bệnh nhân không có triệu chứng hoặc có triệu chứng nhưng không rõ rệt nên bác sĩ hiếm khi phát hiện được những thay đổi khi tiến hành nội soi. Viêm dạ dày tự miễn chỉ được coi là một bệnh lâm sàng khi nó được các bác sĩ giải phẫu bệnh chẩn đoán bằng sinh thiết dạ dày và tiến hành song song với nhiều chỉ định lâm sàng khác. Nếu không có kinh nghiệm, có thể dẫn đến chẩn đoán sai và việc quản lý bệnh nhân sẽ bị hạn chế.
2. Yếu tố khách quan
Xem xét cơ chế bệnh sinh, đặc điểm lâm sàng, chẩn đoán tiêu chuẩn, chẩn đoán phân biệt, di chứng và các hướng dẫn giám sát đối với AG.
3. Nguồn dữ liệu
Các nguồn dữ liệu của nghiên cứu bao gồm các tài liệu thích hợp đối với AG.
4. Kết luận
Viêm dạ dày tự miễn là một bệnh quan trọng đặc trưng bởi sự thiếu hụt các tế bào oxyntic niêm mạc cùng với sự xuất hiện chuyển sản và tăng sản tế bào biểu mô enterochromaffin-like. Nhận thức và chẩn đoán đúng rất quan trọng ngăn chặn việc quản lý không tốt bệnh nhân.
5. Cơ chế bệnh sinh
Viêm dạ dày tự miễn (AG) là một bệnh miễn dịch qua trung gian, giới hạn ở niêm mạc chế tiết axit ở thân và đáy vị (giải phẫu cơ thể người cơ sở)1. Thông thường, các tế bào thành trong niêm mạc oxyntic sản sinh axit clohydric và yếu tố nội sinh . Quá trình bài tiết axit dạ dày là do axit clohydric được hoạt hóa bởi men H + K + ATPase ở bề mặt tế bào thành, tăng bài tiết gastrin từ tế bào G, hoặc tăng nồng độ gastrin ở hang vị. Việc tăng tiết Gastrin của các tế bào G được điều chỉnh bởi axit có trong hang vị. Do đó, viêm dạ dày antral có độ axit thấp sẽ kích thích bài tiết gastrin, ngược lại, axit antral cao làm giảm bài tiết gastrin của tế bào G. Các tế bào Enterochromaffin-like (ECL) cũng được tìm thấy trong niêm mạc oxyntic và hỗ trợ bài tiết axit dạ dày thông qua sản sinh histamine. Yếu tố nội sinh cần thiết cho sự hấp thụ vitamin B12 ở hồi tràng. Tế bào chính cũng được tìm thấy trong niêm mạc oxyntic, sản sinh pepsinogen và lipase dạ dày.
Viêm dạ dày tự miễn là tình trạng viêm dạ dày mãn tính mà ở đó tế bào T hỗ trợ (hay còn gọi là tế bào CD4+) nhắm vào các tế bào thành; điều này kéo theo cả tế bào thành và tế bào chính bị biến mất, dẫn đến teo niêm mạc. Sự biến mất của tế bào thành tạo ra tình trạng thiếu toan dịch vị, đồng thời thúc đẩy các tế bào G bài tiết gastrin1. Tình trạng tăng gastrin máu diễn ra nếu thiếu tế bào thành cho vòng phản hồi ngược. Mất hoàn toàn tế bào thành dẫn đến thiếu sản sinh yếu tố nội, nghiêm trọng hơn, có thể dẫn đến thiếu máu ác tính. Tăng gastrin máu dẫn đến tăng sản tế bào ECL. Axit dạ dày cũng cần thiết để hấp thu sắt vô cơ, vì vậy bệnh nhân bị AG cũng có thể bị thiếu sắt2.
Tế bào thành, đặc biệt là men H + K + ATPase của chúng, là mục tiêu chính của tế bào T trong AG. Dấu hiệu nhạy cảm nhất chính là kháng thể kháng tế bào thành xuất hiện ở 90% bệnh nhân AG. 50% đến 70% tổng số bệnh nhân AG cũng có kháng thể với yếu tố nội sinh và men H + K + ATPase3. Kháng thể yếu tố nội sinh, trong bối cảnh lâm sàng chuẩn, được coi là yếu tố xác định bệnh thiếu máu ác tính. Mức độ kháng thể kháng yếu tố nội sinh không tương quan với mức độ nghiêm trọng của bệnh, nhưng sự tồn tại của kháng thể có thể sẽ được phát hiện nhiều năm trước khi có triệu chứng bệnh. Kháng thể kháng men H + K + ATPase không đặc hiệu: Thuốc ức chế bơm proton là tạo kháng thể với kháng nguyên nội sinh duy nhất trong bệnh viêm dạ dày do Helicobacter pylori (HP) kéo dài4. Ngoài ra, nồng độ gastrin và pepsinogen trong huyết thanh không đặc hiệu cho AG nhưng có thể giúp dự đoán mức độ nghiêm trọng của bệnh.
Có một mối liên hệ chặt chẽ giữa viêm dạ dày tự miễn và vi khuẩn HP dù chỉ được ngầm hiểu. Cả viêm dạ dày tự miễn và vi khuẩn HP đều có thể xuất hiện các kháng nguyên nội sinh với các peptides ở men H + K + ATPase của dạ dày5. Bằng chứng mới đưa ra giả thuyết rằng, một số trường hợp AG có thể tiến triển giống như một di chứng của nhiễm vi khuẩn H pylori (HP) mãn tính6. Cả về mặt bệnh lý và lâm sàng, viêm dạ dày H pylori mãn tính với các kháng nội sinh và teo niêm mạc oxyntic đều giống với viêm dạ dày tự miễn (AG). 83% bệnh nhân mắc AG đã được chứng minh là có kháng thể với H pylori. Điều này cho thấy bệnh nhân trước đó hoặc ngay thời điểm hiện tại đã bị nhiễm trùng bất chấp việc đa số các sinh thiết không chứng minh được sự xâm nhập của vi khuẩn4. Nguyên nhân có thể là do trong quá trình teo dạ dày tiến triển đã loại bỏ sự xâm nhập của vi khuẩn4. Ngoài ra, về mặt mô học đã chỉ ra rằng các giai đoạn sớm của AG có thể được điều trị thành công bằng liệu pháp điều trị dứt điểm khuẩn H pylori4. Nhưng xét đến mức độ phổ biến tỷ lệ nhiễm khuẩn H pylori, cần lưu ý rằng không phải tất cả các trường hợp viêm dạ dày mạn do nhiễm H pylori đều phát triển thành AG. Tuy nhiên, những điểm tương đồng của bệnh nhân nhiễm khuẩn HP phát triển thành teo niêm mạc và bệnh nhân mắc AG cho thấy chúng có cơ chế bệnh sinh tương tự, hoặc một số bệnh nhân AG có thể phát triển từ một nhóm phụ của viêm dạ dày do vi khuẩn HP.
6. Đặc điểm lâm sàng
Trong lịch sử, bệnh nhân AG có các triệu chứng về thần kinh do thiếu hụt vitamin B12 và được chẩn đoán là thiếu máu ác tính. Những trường hợp này có biểu hiện các triệu chứng nhẹ như người xanh xao, suy nhược và mệt mỏi, hoặc nặng hơn thì có biểu hiện của bệnh thần kinh ngoại biên hoặc thoái hóa kết hợp bán cấp3. Ngày nay, biểu hiện này rất hiếm và chỉ những bệnh nhân có AG lâu năm mới bị thiếu máu, do thiếu sắt hoặc thiếu vitamin B12. Thường thì bệnh viêm dạ dày tự miễn không có dấu hiệu hoặc triệu chứng cụ thể và được chẩn đoán ngẫu nhiên do có chỉ định nội soi để tìm hiểu thêm các triệu chứng khác của bệnh nhân. Tại cơ sở của mình, chúng tôi thấy rằng bệnh nhân AG thường có các triệu chứng như khó tiêu, khi đó được chỉ định nội soi để tìm xem dạ dày có bị xung huyết hay không.
Viêm dạ dày tự miễn phổ biến hơn ở những người da trắng, đặc biệt là những người gốc Scandinavia3. Tỷ lệ mắc trên tổng thể là 2%, chủ yếu ở phụ nữ cao tuổi1,7. AG cũng thường gặp hơn ở bệnh nhân có các rối loạn tự miễn khác, chẳng hạn như viêm tuyến giáp, bệnh tiểu đường tuýp 1, bệnh bạch biến, bệnh Addison và có độ tuổi trẻ hơn7. Bệnh nhân dưới 30 tuổi có chẩn đoán AG biệt lập là rất hiếm.
7. Chuẩn đoán
Chẩn đoán AG dựa trên các mô sinh thiết nội soi. Xét nghiệm huyết thanh tìm kháng thể nội sinh chỉ định trên lâm sàng như một phương pháp hỗ trợ chẩn đoán.
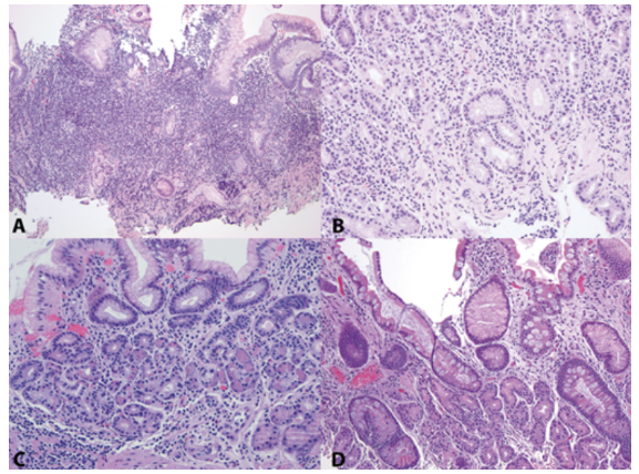
Tiến hành nội soi sinh thiết ở cả vùng antral và niêm mạc thân đáy để lấy 2 loại mô niêm mạc giúp chẩn đoán AG, đó là: niêm mạc viêm hang vị bình thường và niêm mạc thân, đáy bị viêm và dị thường. Các phát hiện mô học khác nhau tùy thuộc vào việc bệnh nhân đang ở giai đoạn đầu, giai đoạn phát triển hay giai đoạn cuối lúc họ tiến hành làm sinh thiết1,8. Giai đoạn sớm được đặc trưng bởi viêm lan tỏa, chủ yếu ở phần thân đáy (Hình 1, A) của niêm mạc oxyntic. Tế bào lympho, chủ yếu là tế bào T CD4, lẫn với tế bào plasma, bạch cầu ái toan và tế bào mast. Có thể nhìn thấy các ổ loang của các tế bào lympho thâm nhiễm vào các tuyến và các thể apxe thứ cấp (Hình 1, B). Một loạt các chuyển sản biểu mô cũng có thể được nhìn thấy trong giai đoạn đầu, bao gồm chuyển sản giả mạc, chuyển sản tuyến tụy (Hình 1, C) và tăng sinh các tế bào cổ tuyến dạ dày chưa trưởng thành. Số lượng teo có thể thay đổi, nhưng các tế bào thành còn sót lại trong giai đoạn đầu có thể gây phì đại do thừa gastrin và hình thành các nốt polypoid nhỏ, được gọi là giả tuyến oxyntic, chứa tất cả các tế bào niêm mạc hạ vị, bao gồm cả các tế bào chính8.
Hình 1: (Chú thích ảnh 1) Phát hiện mô học của niêm mạc oxyntic trong viêm dạ dày tự miễn.

- Viêm tăng sinh lympho nổi rõ hơn ở niêm mạc đáy.
- Chuyển sản niêm mạc.
- Chuyển sản tuyến tụy.
- Chuyển sản ruột (hematoxylin-eosin, độ phóng đại ban đầu × 100 [A và D] và × 200 [B và C]).
Giai đoạn tiến triển mạnh có sự teo rõ rệt của niêm mạc oxyntic kèm tình trạng viêm tế bào lympho lan tỏa. Vị trí viêm vùng thân, đáy có thể ít dữ dội hơn ở giai đoạn này. Chuyển sản được ghi nhận vẫn tồn tại ở giai đoạn đầu, nổi bật nhất là chuyển sản ruột (Hình 1, D). Các tế bào ECL bắt đầu tăng sinh. Niêm mạc vùng antral nếu được sinh thiết sẽ có biểu hiện tăng sản tế bào gastrin. Cuối cùng, giai đoạn cuối cũng giống như giai đoạn tiến triển mạnh, gần như biến mất hoàn toàn tuyến oxyntic, chuyển sản biểu mô rõ rệt và tăng sản tế bào ECL, nhưng lại giảm viêm.
Tăng sản tế bào ECL cho thấy tình trạng tăng sản máu và tăng mức độ teo dính diễn ra song song. Nó chỉ xảy ra khi bệnh nhân có các triệu chứng viêm lan tỏa và teo tuyến, do đó khi làm sinh thiết lần đầu hoặc ở giai đoạn khởi phát, có thể phát hiện hoặc không phát hiện được bệnh. Tăng sản có thể ở dạng đơn, tuyến tính và dạng nốt. Các tế bào ECL có kích cỡ nhỏ, trong suốt , nhân tròn và chất nhiễm sắc phân tán mịn8. Sự xuất hiện của tế bào ECL là một yếu tố chẩn đoán viêm dạ dày tự miễn. Ngoài ra, tăng sản tế bào ECL là tiền chất của khối u carcinoid tuýp 1.
Các tổn thương thường gặp trong nội soi ở bệnh nhân AG là các polyp tăng sản, chiếm 10% đến 40% tỷ lệ bệnh nhân3. Hầu hết các polyp đều không cuống, đường kính dưới 2 cm và thường là đa polyp8. Có thể xuất hiện rất nhiều polyp, giống như một bệnh bội nhiễm với nhiều polyp bên trong, do đó chẩn đoán AG có thể bị bỏ sót nếu bác sĩ nội soi không sinh thiết niêm mạc lân cận. Các giả tuyến oxyntic, cũng có thể được tìm thấy qua nội soi ở bệnh viêm dạ dày tự miễn giai đoạn đầu.
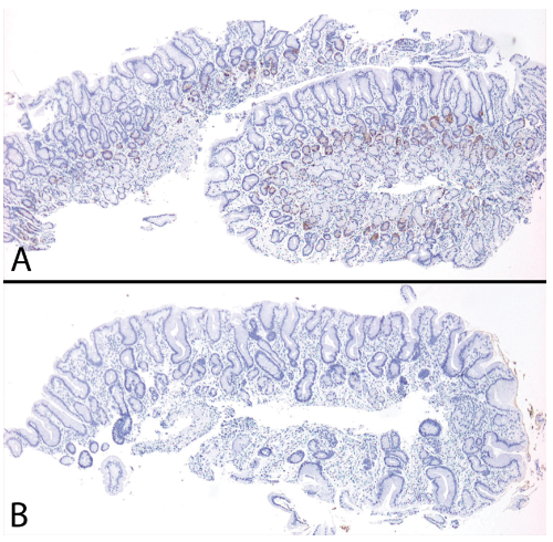
Việc xác định vị trí sinh thiết dạ dày có thể khó khăn với bệnh nhân mắc AG nếu bác sĩ nội soi không đặt bệnh phẩm vào các lọ có nhãn riêng biệt dành cho hang vị và giải phẫu người. Sự biến mất hoàn toàn của niêm mạc oxyntic trong thân đáy vị ở bệnh nhân AG có thể gần giống với triệu chứng bệnh viêm niêm mạc hang vị do việc biến mất các tuyến oxyntic cũng được thay thế bằng chuyển sản niêm mạc. Trong trường hợp bác sĩ nội soi cho cả các mô sinh thiết niêm mạc antral và oxyntic vào cùng một lọ bệnh phẩm, có thể dùng phương pháp nhuộm gastrin để xác định vị trí dạ dày mắc bệnh. Tế bào G chỉ có trong niêm mạc antral. Nhuộm hóa mô miễn dịch gastrin làm nổi bật tế bào G ở niêm mạc antral (Hình 2, A) và âm tính ở niêm mạc oxyntic (Hình 2, B).
Hình 2: (Chú thích ảnh 2)

- Nhuộm hóa mô miễn dịch Gastrin làm nổi bật tế bào G ở niêm mạc antral bình thường.
- Nhuộm gastrin âm tính trên niêm mạc bị viêm, chứng tỏ đây là niêm mạc vùng thân đáy vị (độ phóng đại ban đầu × 100).
8. Chuẩn đoán phân biệt
Viêm teo dạ dày đa ổ
Viêm teo dạ dày đa ổ là một bệnh viêm dạ dày mãn tính với tình trạng teo các tuyến tương tự như AG. Viêm teo dạ dày đa ổ ở nơi chúng ta sinh sống chỉ giới hạn ở vùng hang vị; tuy nhiên, ở những bệnh nhân ung thư biểu mô dạ dày thường bị viêm teo dạ dày trước đó. Đây được coi là tiền thân của ung thư biểu mô tuyến dạ dày trên toàn thế giới. H pylori là loại vi khuẩn xuất hiện ở 75% các trường hợp trên8. Viêm teo dạ dày đa ổ có các ổ teo, chuyển sản niêm mạc và chuyển sản ruột tương tự như ở người mắc viêm dạ dày tự miễn, nhưng không có tăng sản tế bào ECL. Hơn nữa, các kháng thể tự miễn trong huyết thanh cũng không hiện diện trong viêm teo dạ dày đa ổ. Sự phân biệt giữa các thực thể này là rất quan trọng vì viêm teo dạ dày đa ổ là nguy cơ phát triển ung thư biểu mô tuyến dạ dày.
Viêm dạ dày do vi khuẩn Helicobacter pylori (HP)
Viêm dạ dày do vi khuẩn Helicobacter pylori là bệnh viêm dạ dày mãn tính. Viêm dạ dày do Helicobacter pylori phổ biến hơn nhiều so với AG, với tỷ lệ lưu hành trên toàn thế giới là 50% 8. Mặc dù có giả thuyết rằng 2 thực thể này có mối liên hệ với nhau, song chúng vẫn là những thực thể riêng biệt và cần được phân loại riêng. Viêm dạ dày tự miễn chỉ giới hạn ở vùng niêm mạc sản sinh oxyntic của dạ dày và không xuất hiện ở vùng hang vị. Ngược lại, viêm dạ dày do vi khuẩn HP lại biểu hiện dữ dội nhất ở vùng hang vị, dù cũng có thể gặp ở các phần khác của dạ dày. Viêm dạ dày tự miễn đa phần có tiền sử từ viêm mạn tính, trong khi viêm dạ dày do vi khuẩn HP lại
có tiền sử từ dải tế bào plasma lan tỏa, có ổ vi khuẩn nằm ở bên trong lớp nhầy của biểu mô bề mặt dạ dày. Các tế bào bạch cầu trung tính ở cổ tuyến đánh dấu tình trạng nhiễm trùng đang hoạt động. Tăng sản tế bào enterochromaffin-like gặp ở bệnh nhân viêm dạ dày tự miễn không phải là một phần của viêm dạ dày do nhiễm khuẩn HP . Sự tàn phá tuyến dạ dày có thể được tìm thấy trong bất kỳ bệnh viêm dạ dày mãn tính nào, nhưng thường gặp nhất ở bệnh viêm dạ dày có vi khuẩn HP.
9. Di chứng của viêm dạ dày tự miễn
Thiếu vitamin B12, và hậu quả là thiếu máu ác tính, là di chứng nổi tiếng nhất của AG. Mặc dù không phổ biến ở các nước phát triển, một số nghiên cứu dịch tễ học chỉ ra rằng AG và thiếu máu ác tính có thể không được chẩn đoán hết ở mọi nơi trên thế giới7. Không phải bệnh nhân mắc AG nào cũng phát triển thành thiếu máu ác tính, nhưng tất cả bệnh nhân thiếu máu ác tính đều bị viêm dạ dày tự miễn AG.
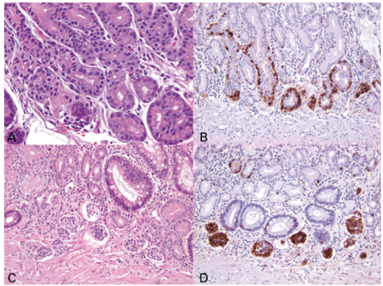
Tăng sản tế bào enterochromaffin-like là một phần của chuỗi tăng sản-loạn sản-tân sinh dẫn đến khối u carcinoid dạ dày. Khía cạnh tăng sản của chuỗi này có dạng đơn, tuyến tính và dạng nốt ở bệnh nhân viêm dạ dày tự miễn. Tăng sản đơn được định nghĩa là các tế bào ECL phì đại xảy ra đơn lẻ hoặc trong các cụm ít hơn 5 tế bào, xuất hiện ở 1/3 đáy vị. Tăng sản tuyến tính bao gồm 5 hoặc nhiều tế bào ECL ở đáy vị hoặc ở vùng cổ tuyến (Hình 3, A và B)7. Tăng sản dạng nốt là khi 5 hoặc nhiều tế bào ECL hình thành các nốt sần, được bao bọc bởi màng đáy (Hình 3, C và D). Việc xác định tăng sản tế bào ECL có thể dựa trên phương pháp nhuộm thường quy, nhưng nhuộm hóa mô miễn dịch đối với chromogranin hoặc synaptophysin có thể hữu ích hơn ở những ca khó.Loạn sản xảy ra khi các tế bào tăng sinh quá mức, rồi dính lại thành các nốt sần nhỏ, xâm lấn hoặc hình thành mô đệm mới9. U carcinoid được chẩn đoán khi các tế bào ECL hình thành các nốt sần có kích thước lớn hơn 0,5 cm (Hình 4)9 . Các khối u carcinoid tuýp 1 là loại xuất hiện ở người mắc bệnh viêm dạ dày tự miễn. Những khối u này là những nốt sần đa ổ, nhỏ, không lõm, thường nhỏ hơn 1 cm, có khả năng di căn thấp10. Điều trị bảo tồn và thường thực hiện cắt bỏ bằng nội soi.
Hình 3: Chú thích ảnh 3

- Tăng sản tuyến tính của các tế bào enterochromaffin-like (ECL); lưu ý tế bào chất trong suốt đồng thời có viền riềm ở các tuyến.
- Nhuộm hóa mô miễn dịch Chromogranin làm nổi bật các tế bào ECL.
- Các cụm tế bào ECL nhỏ cho thấy tăng sản dạng nốt.
- Nhuộm hóa mô miễn dịch Chromogranin làm nổi bật các nốt này (hematoxylin-eosin, độ phóng đại ban đầu × 400 [A] và × 200 [C]; độ phóng đại ban đầu × 200 [B và D]).
Hình 4: Chú thích ảnh 4

- Khối u carcinoid phát sinh trong bệnh viêm dạ dày tự miễn. Lưu ý chuyển sản ruột nền.
- Dây nối và tổ của tế bào nội tiết plasmacytoid (hematoxylin-eosin, độ phóng đại ban đầu × 100 [A] và × 400 [B]).
Chuyển sản ruột, thường thấy ở AG, là tiền thân của ung thư biểu mô tuyến dạ dày, đặc biệt là loại biểu mô tuyến phần xa dạ dày9. Có rất nhiều nghiên cứu ghi nhận mối liên hệ giữa chuyển sản ruột trong dạ dày và sự tiến triển sau đó của ung thư biểu mô dạ dày, nhưng những nghiên cứu này không bao gồm bệnh nhân bị viêm dạ dày tự mãn đã có kết quả sinh thiết. Murphy và cộng sự đã chứng minh rằng những người cao tuổi mắc bệnh thiếu máu ác tính có nguy cơ cao phát triển ung thư biểu mô tuyến dạ dày noncardia, với tỷ lệ chênh lệch là 2,18. Nghiên cứu đã chọn những người tham gia mắc bệnh thiếu máu ác tính dựa trên các đánh giá y tế, nhưng không phải chẩn đoán AG được chứng minh bằng sinh thiết. Phương pháp lựa chọn này không tường minh vì có thể có nhiều lý do dẫn đến mức vitamin B12 thấp không có mối tương quan với AG. Theo hiểu biết của chúng tôi, không có nghiên cứu chính thức nào phân tích tỷ lệ ung thư biểu mô dạ dày ở những bệnh nhân bị viêm dạ dày tự miễn được khẳng định kết quả bằng sinh thiết.
10. Khảo sát
Trước năm 2019, không có khuyến nghị chính thức nào về việc giám sát nội soi đối với bệnh nhân AG. Đến năm 2019, hướng dẫn quản lý các tình trạng tiền ung thư và tổn thương biểu mô trong dạ dày (MAPS II) đã cập nhật các khuyến nghị về chẩn đoán và quản lý bệnh nhân chuyển sản ruột và viêm teo dạ dày, đồng thời đưa AG vào một tổng quan tài liệu có hệ thống. Khuyến nghị của hướng dẫn là theo dõi nội soi từ 3 đến 5 năm một lần để đánh giá loạn sản biểu mô, khối u carcinoid và ung thư biểu mô tuyến dạ dày ở bệnh nhân AG12. Theo hướng dẫn của MAPS II, không có đủ bằng chứng trong các tài liệu hiện tại để đánh giá nguy cơ ung thư biểu mô do AG. Lưu ý, hướng dẫn năm 2019 cũng khuyến nghị liệu pháp tiệt trừ H pylori ở tất cả bệnh nhân bị viêm dạ dày thể không teo mãn tính và AG12.
Tóm lại, AG là một bệnh quan trọng được chẩn đoán bằng phương pháp mô học. Sự biến mất lớp niêm mạc oxyntic; chuyển sản biểu mô, chẳng hạn như tế bào niêm mạc hoặc chuyển sản ruột; và tăng sản tế bào ECL là những phát hiện chẩn đoán chính. Di chứng bao gồm ung thư biểu mô dạ dày đơn thuần và một nguy cơ nhỏ ung thư biểu mô tuyến dạ dày.


