Triết lý và sự đa dạng hóa trong Chỉnh nha đương đại
Chỉnh nha đương đại với sự thay đổi toàn diện cách tiếp cận chỉnh nha, từ mục tiêu chính và mục tiêu quan trọng đến vấn đề chẩn đoán và điều trị. Mục tiêu chính của điều trị chỉnh nha đương đại là hướng đến mối quan tâm của bệnh nhân, mà đa phần là thẩm mỹ. Do đó, thẩm mỹ mặt, thẩm mỹ nụ cười và thẩm mỹ răng nướu được xem xét và đánh giá kỹ, sau đó kế hoạch điều trị phải làm thế nào đạt được những mục tiêu này. Cùng tiến hành đánh giá về các triết lý và sự đa dạng hoá kỹ thuật liên quan đến chỉnh nha đương đại trong bài viết dưới đây.
1. Tổng quan về chỉnh nha đương đại
Nội dung bài viết
Chỉnh nha đương đại với sự thay đổi toàn diện cách tiếp cận chỉnh nha, từ mục tiêu chính và mục tiêu quan trọng đến vấn đề chẩn đoán và điều trị.
Chỉnh nha đương đại còn là sự đa dạng các triết lý điều trị và trường phái khác nhau cùng tồn tại, trong đó mỗi trường phái và triết lý đều có những thế mạnh riêng của mình. Đồng thời, nhiều kỹ thuật phát triển cùng với sự phát triển công nghệ nhằm đáp ứng nhu cầu thẩm mỹ ngày càng cao của bệnh nhân.
2. Các triết lý và trường phái trong chỉnh nha đương đại
Ba tượng đài chỉnh nha Andrews, Ricketts và Sato đại diện cho ba triết lý và trường phái chỉnh nha hiện nay.
Andrews với trưởng phái dây thẳng là trường phái được các bác sĩ chỉnh nha sử dụng phổ biến nhất. Với trường phái dây thẳng, việc điều trị chỉnh nha đơn giản hơn và đây là ưu điểm chính của trường phái này. Trường phái dây thẳng thích hợp với những ca chỉnh nha toàn diện ở người trưởng thành và mức độ lệch lạc không quá trầm trọng.
Lập kế hoạch điều trị trong trường phái dây thẳng cũng dựa trên quan điểm mô mềm trong đánh giá thẩm mỹ để từ đó lập kế hoạch điều trị di chuyển răng nhằm đạt mục tiêu yêu cầu đề ra. Trong trường phái này không quá chú trọng đến dự đoán và đánh giá tăng trưởng tích hợp trong kế hoạch điều trị.

Lập kế hoạch VTO (Visualised Treatment Objective) (vẽ nét phim màu đỏ) và chồng trên phim vẽ nét ban đầu (vẽ nét phim màu đen) để đánh giá sự khác biệt trước và sau điều trị, trên cơ sở đó lập kế hoạch điều trị chi tiết.
Trường phái Bioprogressive do Ricketts phát triển với tư tưởng chủ đạo là lập kế hoạch điều trị trên cơ sở dự đoán tăng trưởng và điều trị theo nguyên tắc phân đoạn, tức chia cung răng thành hai phân đoạn khác nhau để xử lý các vấn đề độc lập nhau.
Trường phái này áp dụng rất hiệu quả trên bệnh nhân tăng trưởng, vì đã dự đoán tăng trưởng tích hợp trong kế hoạch điều trị. Trong trường phái này, không chỉ lập kế hoạch điều trị phức tạp mà bẻ dây cũng phức tạp không kém

Trường phái Chỉnh nha chức năng với cung L loop liên hoàn (MEAW) do Sato phát triển, lấy nguyên lý động học sọ mặt làm nền tảng, trong đó chen chúc răng sau và thay đổi mặt phẳng nhai được đánh giá là yếu tố quan trọng trong sinh bệnh học các lệch lạc răng mặt

A, Chen chúc răng sau tạo nên hiệu ứng “squeeze out làm trỗi và đẩy các răng ra trước, đồng thời làm thay đổi mặt phẳng nhai. B. Đáp ứng thích nghi trong phát triển xương hàm với hiệu ứng “squeeze out theo kiểu thích nghi bằng cách phát triển ra trước (mũi tên đỏ) hoặc không thích nghi bằng cách xoay xuống dưới (mũi tên vàng).
Do đó, điều chỉnh mặt phẳng nhai là chìa khóa trong đảo ngược quá trình phát triển của tình trạng lệch lạc răng mặt. Trường phái chỉnh nha chức năng có ưu điểm tuyệt vời trong điều trị những trường hợp hạng III, lệch hàm sang bên, cắn hở và bệnh nhân rối loạn khớp thái dương hàm. Đây là những trường hợp khó mà hai trường phái dây thẳng và bioprogressive không giải quyết hiệu quả.
3. Sự đa dạng hóa các kỹ thuật
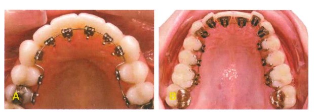
Bên cạnh kỹ thuật mắc cài mặt ngoài cổ điển, nhiều kỹ thuật chỉnh nha khác cũng đã phát triển nhằm đáp ứng nhu cầu thẩm mỹ của bệnh nhân, nhất là những bệnh nhân trưởng thành muốn chỉnh nha nhưng không ảnh hưởng giao tiếp xã hội. Hai kỹ thuật chỉnh nha đáp ứng nhu cầu này là kỹ thuật chỉnh nha mặt lưỡi và chỉnh nha khay trong.
Chỉnh nha mặt lưỡi với mắc cài gắn ở mặt trong, giúp các mắc cài trở nên vô hình (invisible) đối với người đối diện

Mắc cài mặt lưỡi chủ yếu được gắn gián tiếp để đảm bảo độ chính xác và dễ dàng hơn cho bác sĩ lâm sàng. Với sự phát triển công nghệ, mặt cài mặt lưỡi còn có loại đúc cá nhân hóa (Incognito) với sự hỗ trợ thiết kế và chế tác từ máy tính (CAD/CAM).
Chỉnh nha máng với sự tiên phong của Invisalign từ năm 1998, phát triển bởi Zia Chishti và Kelsey Wirth tạo một làn gió mới trong lĩnh vực chỉnh nha.

Ý tưởng này khởi xướng từ Zia Chishti khi thấy tình trạng dịch chuyển răng trong quá trình mang máng duy trì sau chỉnh nha. Đây là trường hợp duy nhất cho đến nay, một trường phái kỹ thuật chỉnh nha được phát triển bởi một nhà công nghệ, không phải là bác sĩ chỉnh nha. Có thể nói Invisalign là chỉnh nha của thời đại công nghệ.
Với Invisalign, chỉnh nha có vẻ như trở nên dễ dàng hơn bao giờ hết. Các bác sĩ tổng quát có thể yên tâm với công nghệ chỉnh nha này và sự phát triển của Invisalign có thể nói là như vũ bão trên toàn cầu.
Trong thời gian 20 năm phát triển, đã có trên 6 triệu ca điều trị với kỹ thuật Invisalign trên 106 quốc gia và công ty Aligner Technology, sở hữu bản quyền Invisalign trở nên là công ty có lợi nhuận lớn nhất trong ngành nha khoa hiện nay. Tuy nhiên, cần lưu ý Invisalign chỉ là công nghệ, là cơ học điều trị chứ không phải là tất cả.
Người bác sĩ phải có khả năng chẩn đoán, lập kế hoạch điều trị và lựa chọn ca phù hợp mới tránh được những rủi ro và biến chứng trong điều trị với Invisalign. Điều quan trọng nhất cần lưu ý là bác sĩ phải chịu trách nhiệm với kế hoạch điều trị của mình và kết quả điều trị với bệnh nhân, chứ không phải là công ty Aligner Technology.
Nguồn: Sách Chỉnh nha lâm sàng – Từ nguyên lý đến kỹ thuật, NXB Y học Việt Nam
Tìm hiểu thêm: Chỉnh nha và mối quan hệ với chuyên khoa khác trong Nha khoa


