Lưu ý trong phục hình một răng và lấy dấu tức thì trên Implant
Bài viết này đề cập đến những lưu ý trong trường hợp phục hình một răng và cả những trường hợp thực hiện lấy dấu tức thì đối với bệnh nhân đã tiến hành phẫu thuật Implant. Các phẫu thuật viên bằng việc nắm rõ những vấn đề có thể phát sinh, sau đó tìm cách giảm thiểu, khắc phục những vấn đề để đảm bảo kết quả như mong đợi và an toàn sức khỏe cho bệnh nhân.
1. Lưu ý trong phục hình nhiều răng đơn lẻ
Nội dung bài viết
Việc phục hình nhiều mão lẻ cạnh nhau có thể làm phát sinh một số vấn đề như sau, được đề cập ở dưới đây:
- Có đủ khoảng trống hay không, không chỉ khoảng để đặt implant mà còn để gắn abutment và mão răng, và có đủ khoảng để hình thành mô mềm vùng kẽ hay không? Đôi khi đặt ít implant và phục hồi bằng cầu răng lại tốt hơn.
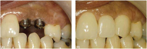
- Khoảng mất răng đơn lẻ thường có các gai nướu nhờ vẫn còn các răng bên cạnh. Trường hợp mất nhiều răng, sống hàm thường sẽ lành thương theo hình dạng phẳng. Khi đặt các mão răng đơn lẻ vào đó sẽ để lại các khoảng tối giữa các răng. Điều này có thể khắc phục bằng cách làm mão răng to ra nhưng tốt hơn hết là xử lý bằng cách làm thành các mão liên kết.

(A) Trường hợp mất răng cửa bên và răng nanh. Rất dễ thấy các viền nướu, đặc biệt là giữa hai implant (B) Phục hình có thẩm mỹ chấp nhận được bằng cách làm các mão răng có điểm tiếp xúc dài và làm dày phần kẽ răng.
Thường thì không chắc là tất cả các implant đều hoàn toàn song song với nhau, abutment tùy biến thường luôn luôn được chỉ định vì cần sắp xếp lại hướng lắp của các mão răng.
Việc đặt các mão cạnh nhau xuống khít sát có thể sẽ khó do điểm tiếp xúc và thiếu sự di động của răng khi gắn. Ta nên thử từng mão đơn lẻ trước để kiểm tra sự khít sát rồi mới thử cùng lúc với nhau một cách cẩn thận để đảm bảo điểm tiếp xúc tốt và các mão xuống đúng vị trí.
2. Lưu ý đối với trường hợp phục hình và lấy dấu tức thì ngay từ khi đặt implant
Ta có thể thực hiện một mão răng lưu giữ bằng implant từ dấu cao su được lấy ngay khi mới đặt implant rồi gắn abutment và mão tạm khi bộc lộ implant hoặc ngay ngày đặt implant. Điều này sẽ giúp rút ngắn thời gian có phục hình và đặc biệt là bỏ qua việc điều chỉnh răng tạm cho trụ lành thương. Đây có thể là một ưu điểm trong trường hợp hàm giả tháo lắp tạm quá mỏng do khớp cắn.
Mài mỏng thêm hàm giả tạm để có chỗ cho trụ lành thương có thể làm cho hàm giả không sử dụng được. Người ta cũng cho rằng đường viền mô mềm sẽ được tạo dạng chính xác một cách nhanh chóng hơn mặc dù điều này còn tùy vào việc có đạt được hình dạng mô mềm và đường hoàn tất chính xác từ những thông tin hạn chế trên dấu cao su đầu tiên hay không.

Một răng nanh được cắm implant tức thì và phục hình
(A) Nhổ răng ít sang chấn (B) Đặt implant và một abutment tiêu chuẩn (C) Dùng một trụ tạm bằng kim loại khít sát với abutment tiêu chuẩn (D) Mão tạm được đắp bằng composite ngay trong giai đoạn này (E) Mão tạm khi lắp trên miệng. Mão vĩnh viễn có thể được làm ở giai đoạn sau. Nhìn chung, những nhược điểm và sự phức tạp của phương pháp này làm nó chỉ đáng được cân nhắc trong một số trường hợp đặc biệt. Do implant vẫn chưa được tích hợp xương khi vừa mới đặt, nên nếu ta lấy dấu ở giai đoạn này cần phải cẩn thận không để ảnh hưởng đến vị trí và độ vững ổn của implant.

(A) Trên vùng mất răng đã lành thương, đặt một implant Astra ST (B) Gắn coping (C) Lấy dấu, coping được giữ lại trong dấu (D) Trong một case phục hình tức thì tương tự, jig làm sẵn bằng nhựa acrylic để giữ coping (E) Gắn bản sao trên labo vào coping và đưa ngược trở lại mẫu hàm (F) Gắn mão tạm vào implant và khâu đóng (G) Một trụ tạm tương ứng với implant Astra, nền bằng titanium và trụ nhựa acrylic (H) Mão tạm trên mẫu hàm (I) Mão tạm một khối lưu giữ bằng vít (J) Có thể làm và gắn mão tạm trong vòng vài giờ (K) Mão tạm được chỉnh khớp sao cho không chịu lực nhai trên bất kỳ hướng nào.
Gắn coping vào đầu implant và lấy dấu theo phương pháp truyền thống. Nếu đòi hỏi phải có mão tạm ngay thì ta có thể gửi dấu về labo để làm một mão tạm bắt vít một khối bằng composite hoặc mão nhựa acrylic và abutment tạm. Một phương pháp khác là tháo coping bằng các liên kết coping với máng hướng dẫn phẫu thuật bằng composite hoặc nhựa acrylic. Mẫu hàm nguyên cứu được điều chỉnh để có thể gắn máng phẫu thuật có coping và analogue trên đó vào. Sau đó ta đổ lại một mẫu hàm mới, tái tạo lại tương đối chính xác vị trí của implant, tuy nhiên nó lại không tái tạo được đường viền nướu quanh implant. Khi bộc lộ implant, ta gắn mão tạm một khối vào implant, giai đoạn này có thể kiểm tra được bằng cách quan sát trực tiếp. Sau khi lành thương, ta có thể làm một abutment tùy biến theo phương pháp truyền thống.
>>Xem thêm: Quy trình lấy dấu và chọn Abutment cho phục hình Implant
Nguồn: Implant trong thực hành Nha khoa – Richard D. Palmer/Nhóm dịch Saigon Young Dentists Việt Nam

