Tin tứcHướng dẫn chụp x-quang đường ròTác giả: Trần Như Tú,Nguyễn Hữu Xuân,Trần Thị Thanh Thủy | Ngày xuất bản: 16/06/2022 Hướng dẫn chụp x-quang đường rò áp dụng cho các khoa Chẩn đoán hình ảnh trong toàn hệ thống Vinmec
Tin tứcHướng dẫn chụp x-quang đại tràngTác giả: Trần Như Tú,Nguyễn Hữu Xuân,Trần Thị Thanh Thủy | Ngày xuất bản: 16/06/2022 Hướng dẫn chụp x-quang đại tràng áp dụng cho các khoa Chẩn đoán hình ảnh trong toàn hệ thống Vinmec
Tin tứcHướng dẫn chụp x-quang bể thận – niệu quản xuôi dòngTác giả: Trần Như Tú,Nguyễn Hữu Xuân,Trần Thị Thanh Thủy | Ngày xuất bản: 16/06/2022 Hướng dẫn chụp x-quang bể thận - niệu quản xuôi dòng áp dụng cho các khoa Chẩn đoán hình ảnh trong toàn hệ thống Vinmec
Tin tứcHướng dẫn chụp x-quang bàng quang trên xương muTác giả: Trần Như Tú,Nguyễn Hữu Xuân,Trần Thị Thanh Thủy | Ngày xuất bản: 16/06/2022 Hướng dẫn chụp x-quang bàng quang trên xương mu áp dụng cho các khoa Chẩn đoán hình ảnh trong toàn hệ thống Vinmec
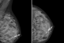
Tin tứcHướng dẫn chụp x-quang ống tuyến sữaTác giả: Trần Như Tú,Nguyễn Hữu Xuân,Trần Thị Thanh Thủy | Ngày xuất bản: 16/06/2022 Hướng dẫn chụp x-quang ống tuyến sữa áp dụng cho các khoa Chẩn đoán hình ảnh trong toàn hệ thống Vinmec
Tin tứcHướng dẫn chụp x-quang xương ức thẳng nghiêngTác giả: Trần Như Tú,Nguyễn Hữu Xuân,Trần Thị Thanh Thủy | Ngày xuất bản: 16/06/2022 Hướng dẫn chụp x-quang xương ức thẳng nghiêng áp dụng cho các khoa Chẩn đoán hình ảnh trong toàn hệ thống Vinmec
Tin tứcHướng dẫn chụp x-quang xương gótTác giả: Trần Như Tú,Nguyễn Hữu Xuân,Trần Thị Thanh Thủy | Ngày xuất bản: 16/06/2022 Hướng dẫn chụp x-quang xương gót áp dụng cho các khoa Chẩn đoán hình ảnh trong toàn hệ thống Vinmec
Tin tứcHướng dẫn chụp x-quang xương đùiTác giả: Trần Như Tú,Nguyễn Hữu Xuân,Trần Thị Thanh Thủy | Ngày xuất bản: 16/06/2022 Hướng dẫn chụp X-quang xương đùi áp dụng cho các khoa Chẩn đoán hình ảnh trong toàn hệ thống Vinmec
Tin tứcHướng dẫn chụp x-quang xương đònTác giả: Trần Như Tú,Nguyễn Hữu Xuân,Trần Thị Thanh Thủy | Ngày xuất bản: 15/06/2022 Hướng dẫn chụp x-quang xương đòn áp dụng cho các khoa Chẩn đoán hình ảnh trong toàn hệ thống Vinmec