Ca bệnh lâm sàng: trật khớp háng
Trật khớp háng do chấn thương thể thao chiếm 2-5% trong các lý do gây ra trật khớp háng. Sau đây là một báo cáo ca bệnh trật khớp háng của một bệnh nhân 38 tuổi. Bệnh nhân này bị trật khớp háng khi chơi thể thao.
1. Tổng quan về trật khớp háng do tai nạn thể thao
Nội dung bài viết
Trật khớp háng trong các hoạt động thể thao chỉ chiếm 2% – 5% trong tổng số các trường hợp trật khớp [1]. Hầu hết các trường hợp trật khớp háng đều là trật phía sau. Trật khớp háng về phía trước ít phổ biến hơn và chia thành hai loại chính: trật khớp háng về phía trước, khi đầu trên xương đùi bị dịch chuyển vào vùng khớp mu hoặc vùng xương chậu, và trật xuống phía dưới, khi đầu trên xương đùi nằm trong vùng cơ bịt [2].
Sau đây là báo cáo về trường hợp của một bệnh nhân 38 tuổi bị trật khớp háng trong khi đang chơi bóng đá.
2. Ca bệnh trật khớp háng
2.1. Bệnh sử
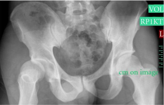
Bệnh nhân nam 38 tuổi tiền sử khỏe mạnh bị trật khớp háng (phải) về phía trước. Tai nạn xảy ra sau khi bệnh nhân sút bóng bằng chân phải, trong tư thế khớp háng phải xoay ngoài. Anh ta cảm thấy tiếng “pop” và ngã sấp. Sau tai nạn chân phải không thể chịu lực. Bệnh nhân khai không có va chạm với cầu thủ khác. Khám lâm sàng thấy chân phải xoay ngoài, không có điểm đau chói. X-quang xương chậu (thẳng) cho thấy trật khớp háng phải

Chụp X quang xương chậu thẳng cho thấy hình ảnh trật khớp háng (Phải)
2.2. Thực hiện thủ thuật nắn chỉnh khớp háng
Thực hiện thủ thuật nắn chỉnh khớp háng. Phương pháp vô cảm là gây mê toàn thân. Toàn bộ quá trình được thực hiện 2 giờ sau tai nạn. Bệnh nhân nằm ngửa. Xương chậu bệnh nhân được cố định bởi một bác sĩ. Đồng thời một bác sĩ khác thực hiện nắn kéo liên tục chân phải đến khi chỏm xương đùi nằm ở phía trong ổ cối. Kết quả được kiểm tra bằng phương pháp chụp X-quang tại chỗ. Khớp háng được gập và xoay về phía trong. Khi thực hiện thủ thuật này sẽ nghe thấy tiếng “cạch”, cho thấy khớp háng đã về vị trí.

Nắn chỉnh khớp háng
2.3. Theo dõi sau thủ thuật
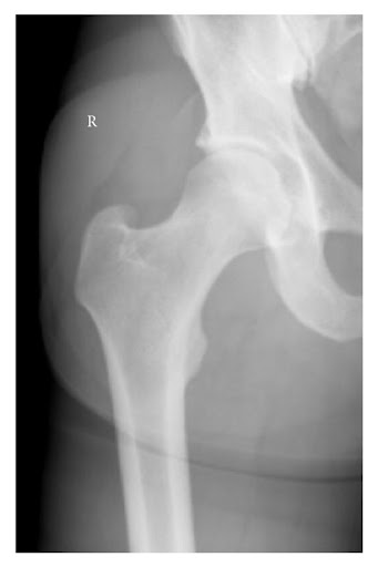
Chụp X-quang tại chỗ cho thấy khớp hông đã trở về đúng vị trí. Quá trình thực hiện thủ thuật không gặp khó khăn. X-quang được chụp một tuần sau thủ thuật cho thấy khớp háng phải đúng vị trí và không có dấu hiệu gãy xương (Hình 2). MRI được thực hiện một tuần sau đó cho thấy không có tràn dịch khớp háng phải nhưng có rách dây chằng tròn và tràn dịch khớp háng. Không thể phát hiện tổn thương sụn viền (Hình 3).

Chụp X quang khớp háng sau 1 tuần điều trị 
Hình ảnh MRI khớp háng hai bên. Có hình ảnh sưng nề các cơ chậu bên phải
2.4. Phục hồi và kết quả
Sau phẫu thuật bệnh nhân phục hồi bình thường, tập phục hồi chức năng trong 6 tuần. Sau 6 tháng, bệnh nhân không xuất hiện thêm triệu chứng bất thường, khớp háng phải di động bình thường. X-quang thẳng nghiêng cho thấy khớp háng bên phải đúng vị trí mà không có dấu hiệu hoại tử chỏm xương đùi hay thoái hóa khớp
Bệnh nhân từ chối làm thêm MRI do cảm thấy không còn khó chịu. Bệnh nhân chơi bóng đá sau 6 tháng kể từ khi bị chấn thương.
3. Tổng kết
Nhà cung cấp dịch vụ y tế phải quen thuộc với các phương pháp tốt nhất để chẩn đoán và điều trị cho các bệnh nhân này. Bệnh nhân bị trật khớp háng cần thay khớp háng cần phải được thực hiện quá trình chẩn đoán cẩn thận, và bác sĩ điều trị phải thành thạo các cách điều trị chấn thương và các biến chứng có thể có. Đánh giá và điều trị kịp thời, bao gồm nhận ra các biến chứng tiềm năng, là cần thiết để đảm bảo kết quả tốt nhất cho bệnh nhân.
Tài liệu tham khảo:
[1] E. Giza, K. Mithöfer, H. Matthews, and M. Vrahas, “Hip fracture-dislocation in football: a report of two cases and review of the literature,” British Journal of Sports Medicine, vol. 38, no. 4, article e17, 2004.
[2] S. J. Croft, J. Brenchley, S. P. Badhe, and T. R. Cresswell, “An unusual rugby injury,” Emergency Medicine Journal, vol. 23, no. 6, article e40, 2006.

