Đại cương và phân loại gãy trên lồi cầu xương cánh tay ở trẻ em
Gãy trên lồi cầu xương cánh tay là một chấn thương rất thường gặp ở trẻ em. Do đó, việc nắm rõ được cấu trúc giải phẫu vùng khuỷu tay, cơ chế và các cách phân loại chấn thương là rất cần thiết để phẫu thuật viên có định hướng chính xác phương pháp phẫu thuật sẽ sử dụng. Dưới đây là phần mô tả về các cơ chế chấn thương thường gặp và các phân loại trong gãy trên lồi cầu xương cánh tay ở trẻ em.
1. Đại cương về gãy trên lồi cầu xương cánh tay ở trẻ em
Nội dung bài viết
1.1 Dịch tễ học
Gãy trên lồi cầu xương cánh tay là chiếm khoảng 3% trong tổng số các loại gãy xương và khoảng 60% các gãy xương vùng khuỷu chấn thương khuỷu.
Độ tuổi hay gặp là 5-6 tuổi.Tay trái hay tay không thuận thường bị tổn thương nhiều hơn.Tỷ lệ loại gãy xương này ở nam và nữ gần như bằng nhau
Trong một số trường hợp có thể gây ra các biến chứng cấp tính, như biến chứng thần kinh (theo Skaggs 2010, khoảng 7,7%), tổn thương mạch máu (10%). Trong số đó TK quay là bị tổn thương nhiều nhất
1.2 Cơ chế chấn thương
Ở trẻ em, cơ chế thường gặp là chấn thương gián tiếp. Có hai loại cơ chế chấn thương trong gãy trên lồi cầu xương cánh tay trẻ em
Gãy duỗi (chiếm 97% đến 99%): trẻ ngã chống tay, khuỷu duỗi hoàn toàn, đường gãy từ trước dưới đến sau trên, đầu gãy của đoạn trung tâm nhọn, di lệch ra trước nguy cơ tổn thương bó mạch và thần kinh cánh tay; đầu ngoại vi di lệch ra sau.
Cơ chế gãy duỗi trong gãy trên lồi cầu xương cánh tay trẻ em
Gãy gấp (ít gặp): trẻ ngã chống khuỷu, khuỷu gấp, đường gãy từ sau dưới đến trước trên, đầu gãy của đoạn trung tâm nhọn di lệch ra sau, có thể chọc thủng gân cơ tam đầu gây gãy hở.
Cơ chế gãy gấp trong gãy trên lồi cầu xương cánh tay
1.3 Đặc điểm thương tổn
Trong gãy trên lồi cầu xương cánh tay trẻ em có một yếu tố quan trọng là cơ chế và đặc điểm tổn thương màng xương. Điều này giúp lý giải các mức độ gãy cũng như tương ứng với nó là phân loại gãy xương.
Abraham và cộng sự đã mô tả tổn thương màng xương diễn ra ba giai đoạn:
- Giai đoạn một: ổ gãy di lệch tối thiểu, màng xương còn nguyên vẹn nhưng bị căng ở phía trước ổ gãy và bị tách khỏi mặt trước xương cánh tay một khoảng đáng kể.
- Giai đoạn hai: ổ gãy di lệch nhiều hơn, màng xương bong ra sẽ tách khi bị kéo về phía dưới, ngang qua bờ sắc bén của đầu gãy trung tâm.
- Giai đoạn ba: ổ gãy di lệch hoàn toàn, màng xương bị xé rách hoàn toàn ở phía trước. Màng xương còn nguyên vẹn ở phía sau, còn nguyên một phần ở phía trong và phía ngoài. Đầu gãy trung tâm di lệch ra sau và lên trên. Phần màng xương có thể kẹt vào ổ gãy, gây khó khăn trong quá trình nắn chỉnh.
- Màng xương bị kéo dãn nhưng còn nguyên vẹn; B. Màng xương bị kéo rách một phần khi bị kéo căng; C. Màng xương bị rách hoàn toàn phía trước
Lâm sàng về gãy trên lồi cầu xương cánh tay ở trẻ em
- Trẻ vào viện sau một chấn thương với cơ chế điển hình là ngã chống tay.
- Triệu chứng cơ năng: đau nhiều vùng khuỷu, mất vận động khớp khuỷu.
- Triệu chứng thực thể: sưng nề vùng khuỷu, sau vài giờ có thể sưng nề gấp hai lúc thường. Có thể bầm tím vùng trước khuỷu (bầm tím đặc hiệu Kirmisson). Nhìn nghiêng: dấu hiệu “nhát rìu” phía sau khuỷu. Sờ nắn thấy đau chói trên lồi cầu và có thể phát hiện tiếng lạo xạo, cử động bất thường khi làm động tác giạng, khép.
- Các mốc giải phẫu bình thường, “tam giác khuỷu” bình thường.
Dấu hiệu bầm tím Kirmisson
>>> Xem thêm: Gãy trên và liên lồi cầu xương cánh tay: giải phẫu, chẩn đoán và điều trị
3. Phân loại gãy trên lồi cầu xương cánh tay ở trẻ em
Việc phân loại lúc đầu dựa vào vị trí đường gãy và mức độ di lệch trên phim XQ khuỷu tư thế thẳng và nghiêng. Xác định được mức độ di lệch sẽ giúp ích trong việc nắn chỉnh ổ gãy
Năm 1959, Gartland đã mô tả ba loại gãy dựa trên mức độ di lệch: không di lệch, di lệch vừa và di lệch hoàn toàn.
Năm 1990, Wilkins cải biên phân loại gốc của Gartland, trong đó loại III được chia thành IIIA và IIIB tùy theo đẩu gãy ngoại vi di lệch sau trong hoặc sau ngoài để giúp tiên lượng các cấu trúc mạch máu thần kinh nào dễ bị tổn thương.
Hiện nay, phân loại Gartland cải biên được sử dụng và chấp nhận rộng rãi nhất:

Phân loại gãy trên lồi cầu xương cánh tay theo Gartland và Gartland cải biên
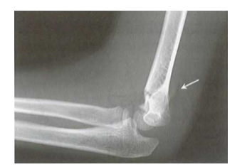
Loại I: gãy không di lệch hoặc di lệch tối thiểu (< 2 mm). Đôi khi trên phim XQ tổn thương xương khó xác định và dấu hiệu mỡ phía sau (Posterior fat pad sign) là dấu hiệu duy nhất chứng tỏ có tổn thương xương. Đây là dạng gãy vững.
Dấu hiệu mỡ phía sau trong gãy trên lồi cầu xương cánh tay Gartland I
Loại II: gãy di lệch > 2mm, bờ xương phía sau còn nguyên. Trên phim XQ khuỷu nghiêng, đường cánh tay trước không đi qua 1/3 của chỏm con. Trên phim XQ khuỷu thẳng, không thấy di lệch xoay do bờ xương phía sau còn nguyên.
Loại III: gãy di lệch hoàn toàn không còn tiếp xúc vỏ xương. Mảnh gây di lệch ra sau trên phim nghiêng và xoay trên phim thẳng. Đây là dạng gãy không vững. Wilkins chia thành IIIA (di lệch sau trong) và IIIB (di lệch sau ngoài) giúp tiên lượng tổn thương kèm theo và xác định bên nên xuyên đinh trước.
Phân loại theo Lagrange and Rigault:
Độ I: gãy một bên vỏ xương.
Độ II: gãy cả hai lớp vỏ xương, không di lệch hoặc di lệch không đáng kể.
Độ III: gãy di lệch nhưng các đầu gãy còn tiếp xúc với nhau.
Độ IV: gãy với các đầu gãy di lệch xa nhau.
Độ V: đường gãy đi vào phần sụn phát triển.
Phân loại gãy trên lồi cầu xương cánh tay trẻ em theo Lagrange and Rigault
Xem thêm: Phục hồi chức năng gãy trên lồi cầu xương cánh tay
Tài liệu tham khảo:
- Campbell’s Operative Orthopaedics. Canale ST, Beaty JH. Eleventh edition. Mosby Elsevier.
- Rockwood & Green’s Fractures in Children, 7th Edition
- Handbook of Fracture, 5E (2014), Pediatric Elbow
- Practical Procedures in Orthopaedic Trauma Surgery
- MasterTechniques in Orthopaedic Surgery Relevant Surgical Exposures
- AO Principles of Fracture Management
- OperativeTechniquesin Pediatric Orthopaedics, Chapter2: Open Reduction of Supracondylar Fractures of the Humerus
- Tachdjian’s Pediatric Orthopaedics, 5th Edition, John A.Herring, Chapter 33: upper Extremity Injuries
- Gray’s Anatomy, 40th Edition
- Atlas giải phẫu người, Frank H.Netter, 2013 Edition




Lâm sàng về gãy trên lồi cầu xương cánh tay ở trẻ em

