MỚI

Ngày xuất bản: 08/05/2023

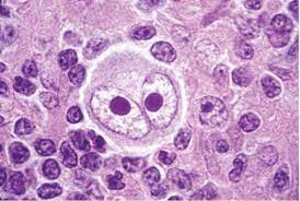
U lymphô Hodgkin là một sự gia tăng ác tính các tế bào của hệ thống lưới lympho tại chỗ hoặc lan tràn, chủ yếu liên quan đến các tế bào hạch bạch huyết, lá lách, gan và tủy xương. Triệu chứng thường gặp là nổi hạch không đau, đôi khi có sốt, đổ mồ hôi ban đêm, sụt cân không chủ ý, ngứa, lách to và gan to. Chẩn đoán dựa trên sinh thiết hạch bạch huyết. Đa số trường hợp có thể điều trị khỏi; điều trị bao gồm hóa trị cùng hoặc không cùng với các phương thức khác, gồm có liên hợp kháng thể-thuốc, trị liệu miễn dịch và xạ trị.Thang điểm Staging của Ann Arbor là một hệ thống được sử dụng để phân độ bệnh u lympho (lymphoma), đặc biệt là u lympho Hodgkin. Hệ thống này được đặt tên theo thành phố Ann Arbor, bang Michigan, Hoa Kỳ, nơi các chuyên gia đã hội họp vào năm 1971 để đề xuất và phát triển thang điểm này.