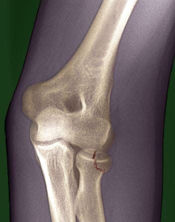
Gãy chỏm xương quay là loại gãy hay gặp ở người lớn và trẻ em, chiếm khoảng 20% các gãy xương vùng khuỷu và thường liên quan với các chấn thương khác của khớp khuỷu như trật khớp khuỷu, gãy mỏm vẹt, tổn thương dây chằng bên trong và bên ngoài và tổn thương màng gian cốt. Việc chỉ định điều trị dựa trên các hiểu biết về hình thái gãy và chẩn đoán đầy đủ các thương tổn của chấn thương khớp khuỷu.

