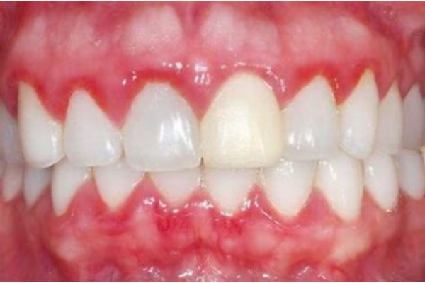
Nướu răng là một phần quan trọng trong hệ thống răng miệng của con người. Nếu nướu răng bị viêm, có thể gây ra các vấn đề sức khỏe nghiêm trọng như mất răng và bệnh nha chu. Do đó, việc đánh giá sức khỏe nướu răng là rất quan trọng để phát hiện và điều trị các vấn đề nướu răng kịp thời. Trong đó, chỉ số lợi Gingival Index (GI) là một phương pháp đánh giá sức khỏe nướu răng thông qua việc đánh giá mức độ viêm nướu bằng cách quan sát sự chảy máu nướu khi chải răng. Chỉ số lợi GI được phát triển bởi Löe và Silness vào năm 1963 và đã được sử dụng phổ biến trong nghiên cứu và thực hành nha khoa.

