Hướng dẫn chẩn đoán gãy mâm chày
Gãy xương chày là chấn thương gây gãy hoặc vỡ xương ở cẳng chân (một trong hai xương lớn ở cẳng chân). Để phân loại và chẩn đoán loại chấn thương, bác sĩ sẽ thực hiện khám lâm sàng và đề nghị một số xét nghiệm để kiểm tra tình trạng gãy xương chày. Thông qua bài viết, chúng tôi hướng dẫn chẩn đoán gãy mâm chày.
hóm Tác giả: TS. Đỗ Văn Minh; BSCKII. Hoàng Minh Thắng
Ngày phát hành: 30/3/2022
1. Đại cương gãy mâm chày
Nội dung bài viết
1.1. Dịch tễ
Gãy mâm chày chiếm 1% tổng số gãy xương và 8% gãy xương ở người cao tuổi. Tổn thương đơn độc ở mâm chày ngoài chiếm từ 55% đến 70% trong gãy mâm chày, so với 10% đến 25% gãỵ mâm chày trong và 10% đến 30% tổn thương cả 2 mâm chày. Gãy xương hở chiếm từ 1 % đến 3%.
1.2. Giải phẫu ứng dụng
Đẩu trên xương chày rất to, hình khối vuông và rộng theo bể ngang. Đầu trên xương chày cấu tạo từ tổ chức xương xốp. Mặt trên có diện tiếp khớp với lồi cẩu trong và lồi cầu ngoài xương đùi, diện khớp phẳng chỉ hơi trũng ở giữa, gọi là mâm chày. Có mâm chày trong và mâm chày ngoài. Diện khớp ở mâm chày trong dài và trũng hơn diện khớp ở mâm chày ngoài, diện khớp mâm chày ngoài rộng hơn. Giữa hai lồi cẩu đùi và mâm chày, có 2 sụn chêm, sụn chêm ngoài hình chữ 0 và sụn chêm trong hình chữ c. Khi gãy mâm chày, có thể gặp tổn thương sụn chêm kết hợp.
Nhìn từ trên xuống mâm chày có hình bầu dục, nằm giữa hai mâm chày là củ gian lồi cầu ngoài và củ gian lồi cẩu trong. Ở giữa hai ổ này có hai gai, gai này chia khoang liên ổ thành diện trước gai và sau gai.
Về cấu tạo vi thể: đẩu trên xương chày có nhiều bè xương bắt chéo nhau chằng chịt tạo thành những hốc nhỏ trông như bọt biển, làm cho trọng lượng của xương chày giảm nhưng khả năng chịu lực lại tăng. Các bè xương bao giờ cũng được xếp theo những hướng nhất định thích nghi với chức năng của mâm chày. Các bè xương ở ngoài của mâm chày gần như đứng dọc, rồi sau đó xếp theo hình vòm đi dần xuống dưới. Phẩn trên của mâm chày có các bè xương đan xen ngang.

Hình 11.1. Đầu trên xương chày phải nhìn trước và sau (Nguyễn Quang Quyền. Bản dịch Atlas: Giải phẫu người, tr 476 – 480)

Hình 11.2. Cấu trúc bè xương của mâm chày
1.3. Cơ chế tổn thương
Gãy mâm chày thường xảy ra do chấn thương năng lượng cao như tai nạn giao thông, ngã cao, tuy nhiên cũng gặp do các chấn thương thể thao, tai nạn sinh hoạt.

Hình 11.3. Cơ chế chấn thương gãy mâm chày (Edward A. Perez và Cs, 2017)
2. Chẩn đoán gãy mâm chày
2.1. Triệu chứng lâm sàng
2.1.1. Các triệu chứng gãy xương
- Sau chấn thương người bệnh đau, mất vận động gối.
- Biến dạng gối: gấp góc, vẹo trong hoặc vẹo ngoài.
- Sưng nề, bầm tím vùng gối, nếu đến muộn có thể có nốt phỏng nước ở cẳng chân.
- Tụ máu khớp gối.
2.1.2. Dấu hiệu các biến chứng
- Hội chứng chèn ép khoang bắp chân nề căng, đau tăng dần kể cả đã bất động tốt, rối loạn cảm giác bàn ngón chân: tê bì, mất cảm giác, vận động các ngón kém, đau nhiều khi vận động thụ động ngón chân.
- Tổn thương thẩn kinh: liệt thần kinh mác chung: mất duỗi chủ động các ngón chân và bàn chân, mất xoay bàn chân ra ngoài.
- Gãy xương hở: vết thương thông với ổ gãy xương tương ứng.
- Loạn dưỡng: cẳng chân nể, bóng, phỏng nước.
2.2. Chẩn đoán hình ảnh
2.2.1. X-quang
Thông thường X-quang khớp gối thẳng, nghiêng đủ để chẩn đoán. Những trường hợp khó cần chụp thêm X- quang nghiêng 40 độ, nghiêng trong nhìn rõ mâm chày ngoài và xoay ngoài nhìn rõ mâm chày trong.

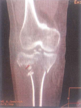
Hình 11.4. X-quang gãy mâm chày
2.2.2. Cắt lớp vi tính
Phim chụp cắt lớp vi tính mâm chày với 3 bình diện: ngang (horizontal), trán (coronal), đứng dọc (sagittal) thể hiện toàn cảnh, chi tiết tổn thương, đặc biệt tổn thương diện khớp, rất hữu ích cho kế hoạch phẫu thuật.

Hình 11.5. Hình ảnh cắt lớp vi tính gãy mâm chày [Handbook of Fractures, 5E (2014).]
2.2.3. Cận lâm sàng khác
Cộng hưởng từ khớp gối rất hữu ích cho việc đánh giá các tổn thương sụn chêm, dây chằng chéo, dây chằng bên và mô mềm xung quanh
Các phương pháp chẩn đoán hình ảnh thăm dò mạch máu: siêu âm Doppler mạch, chụp MSCT mạch hoặc chụp mạch trong các trường hợp nghi ngờ tổn thương mạch.
3. Phân loại gãy mâm chày
Nhiều bảng phân loại gãy mâm chày dựa vào hình thái tổn thương đã được để xuất, tuy nhiên, phân loại theo Schatzker được sử dụng rộng rãi ở Bắc Mỹ cũng như tại nước ta.
- Loại I: gãy mâm chày ngoài, gãy rời
- Loại li: gãy rời mâm chày ngoài kèm theo lún
- Loại III: gãy lún mâm chày ngoài
- Loại IV: gãy mâm chày trong
- Loại V: gãy 2 mâm chày
- Loại VI: gãy mâm chày thành nhiều mảnh kèm theo gãy thân xương chày

Hình 11.6. Phân loại theo Schatzker (Kenneth A. Egol, 2006)
>>> Xem thêm: Hướng dẫn chuẩn đoán chi tiết trường hợp gãy mâm chày
Tài liệu tham khảo
- Edward A. Perez (2017), Tibial Plateau fractres, Campbell’s operative orthopaedics, 13th, Elsevier, Philadelphia, 2961-2970.
- Kenneth A. Egol and Kenneth J. Koval (2006), Fractures of the Proximal Tibial, Rockwood & Green’s Fractures in Adults, 6th, Lippincott Wiliams & Wilkins.
- J. Tracy Watson and Donald A. Wiss (2006), Tibial Plateau Fractures: Open Reduction Internal Fixation, Master Techniques In Orthopaedic Surgery: Fractures, 2nd, Lippincott Wiliams & Wilkins.
- Hopenfeld et al (2003), The Knee, Surgical exposures in orthopaedics: The anatomic approach, 3rd, Lippincott Wiliams & Wilkins,
- Frank H. Netter (2007), Atlas giải phẫu người (Nguyễn Quang Quyền dịch), NXB Y học.


