Đại cương bảo dưỡng phục hình trên Implant và vấn đề gãy trụ
Ngoài việc lưu tâm đến bảo dưỡng các dạng phục hình như phục hình cố định hay phục hình tháo lắp trên Implant, Nha sĩ cần lưu ý đến vấn đề gãy trụ Implant trên lâm sàng. Tuy vấn đề này có tỷ lệ rất thấp, thế nhưng việc có khái niệm và nắm được những đánh giá sơ lược là rất quan trọng trong quá trình thực hành lâm sàng trên bệnh nhân. Cùng đi vào tìm hiểu vấn đề này.
1. Bảo dưỡng phục hình cố định
Nội dung bài viết
Phục hình cố định phải được kiểm tra định kỳ để phát hiện những dấu hiệu của mòn hay nứt vỡ, đồng thời đánh giá sự vặn chặt của vít hay xi măng gắn. Kiểm tra vít bao gồm kiểm tra vít lưu giữ phục hình lẫn vít lưu giữ abutment. Khớp cắn cũng cần được tái đánh giá đặc biệt tại những vùng có mòn mặt nhai của phục hình hay răng thật mà có liên quan tới implant.
Những cấu trúc trên cầu răng lưu giữ bằng vít không được khuyến khích tháo ra trong mỗi lần kiểm tra trừ khi có vấn đề với một trong các thành phần của implant hay abutment. Những phục hình cố định gây khó khăn cho bệnh nhân khi vệ sinh có thể tháo bỏ để cho phép vệ sinh tốt hơn thì các phục hình này nên là phục hình lưu giữ bằng vít hơn là bằng xi măng.
Những vít vặn gắn phục hình với abutment thường được bao phủ một lớp vật liệu trám như composite hay glass ionomer, vật liệu có thể thay thế được sau này. Vít vặn mà có thể tiếp cận được thì nên kiểm tra để đảm bảo không bị lỏng sút. Điều này rất dễ xuất hiện trên những phục hình kém khít sát hoặc phải chịu tải lực lớn.
2. Bảo dưỡng phục hình tháo lắp.
Phục hình tháo lắp phải được kiểm tra về khả năng lưu giữ và sự vững ổn. Trong trường hợp bảo dưỡng phục hình có kết hợp cả loại nâng đỡ trên implant và nâng đỡ trên mô mềm thì điều quan trọng là kiểm tra implant có đang trong tình trạng bị chịu lực quá tải hay không do mất nâng đỡ mô niêm mạc gây ra bởi sự tiêu sống hàm. Phục hình tháo lắp so sánh với phục hình cố định được khuyên là phải được bảo trì thường xuyên hơn để điều chỉnh và thay thế những thành phần có vai trò lưu giữ
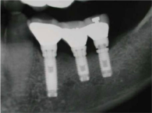
3. Vít vặn và những kết nối abutment.
Quá trình nhai có thể dẫn tới sự lỏng lẻo của vít vặn, vít cầu răng hoặc vít abutment.

Phim x quang cầu răng sau hàm dưới trên implant Branemark, cho thấy thất bại khi gắn abutment sau cùng trên khớp hex của implant và vít cầu răng bị lỏng.
- Phục hình kém khít sát/ khít sát một cách không thụ động.
- Thiết kế phục hình kém, ví dụ, kéo dài quá mức nhịp với.
- Chiều dài thân mão hay abutment quá dài so với khoảng phục hình (tính từ đầu implant tới mặt nhai hoặc cạnh cắn răng đối điện)
- Tiếp xúc khớp cắn không được chỉnh thỏa đáng.
- Quá ít implant hay răng để thiết lập một khớp cắn hợp lý.
- Có những thói quen cận chức năng.
Những yếu tố nói trên đòi hỏi người bác sỹ phải nhận diện, sửa chữa và kiểm soát đúng cách để tránh biến chứng. Thất bại trong việc giải quyết các yếu tố này đặc biệt vấn đề bệnh nhân có thói quen cận chức năng lộ rõ có thể dẫn tới gãy vít lưu giữ phục hình hoặc vít abutment, biểu lộ ra ngoài bằng hiện tượng lỏng lẻo phục hình.

Vit bên dưới là vít của abutment Branemark bị gãy đã được lấy ra, so sánh với vít nguyên bên trên
Các vít nứt gãy phải được loại bỏ và thay mới. Trong nhiều trường hợp vít gãy có thể tháo ra bằng cách sử dụng thám trâm nhọn đưa vào mặt nứt và cố gắng xoay theo hướng ngược chiều kim đồng hồ. Hoặc có thể sử dụng bộ Kit sửa chữa được thiết kế thương mại để thực hiện chuyện lấy vít dễ dàng hơn. Vít sau đó có thể được thay mới và lưu ý hơn nữa tới nguyên nhân vấn đề để tránh lặp lại sai lầm và thất bại gãy implant. Trong vài trường hợp việc loại bỏ vít gãy không thể thực hiện được, khoan để lấy vít ra có thể gây hại tới implant. Nếu điều này xảy ra thì sẽ không thể phục hình lại sau đó trừ khi có khả năng tại tạo lại một post đúc custome gắn dính lại trong implant.
4. Gãy implant
May mắn rằng tỷ lệ gãy implant rất hiếm (0.1% năm).

Phim xquang cầu răng 3 đơn vị trên implant Brenmark chịu lực quá tải. Bệnh nhân nghiến răng. Implant răng trước bên phải đã từng có một vít abutment gãy trước đó, phần nửa trên của phần vít được lấy ra và thay thế bằng một vít gold (thấy cản quang hơn) nhưng phần chóp không thể lấy ra được. Implant phía xa bên trái có tiền sử tương tự là gãy implant tại vị trí ngang chóp của vít abutment. Tình huống này yêu cầu tháo bỏ hay chôn vùi luôn implant gãy.
Gãy implant có thể xảy ra nếu
- Implant có đường kính nhỏ, đặc biệt thân implant mỏng.
- Tải lực quá mức.
- Mất xương tiến triển tới điểm yếu sẵn có trên implant, thương tương ứng với chóp của vít abutment nơi mà thành bao quanh implant khá mỏng.
Gãy implant hiếm thu hồi lại được và thường được chôn vùi hoặc tháo bỏ.

Một loạt hình ảnh cho thấy quá trình tháo bỏ implant gãy. (A) Sử dụng mũi khoan Trephine khoan khối xương quanh implant. Kích thước mũi khoan gần bằng với đường kính ngoài của implant. (B) Hình chụp từ mặt nhai cho thấy chu vi vùng xương bị loại bỏ. (C) Implant lúc này đã được loại bỏ và thấy rõ khuyết hổng xương. (D) Một implant Astra Tech kích thước lớn hơn (5 mm) được đặt vào vùng xương mới tạo đạt được sự khít sát cao giữa implant và các thành vách xương xung quanh.
Trường hợp tháo bỏ implant có thể khó khăn và gây chấn thương thêm cho mô xương, thường phải khoan xương xung quanh và để lại một lỗ hổng đáng kể trong xương.
>>> Xem thêm: Tổng hợp các nguyên nhân làm viêm quanh implant
Nguồn: Implant trong thực hành Nha khoa – Richard D. Palmer/Nhóm dịch Saigon Young Dentists Việt Nam

