Phục hồi một răng trước bằng Implant
Phục hồi một răng là phục hồi bằng implant được đòi hỏi nhiều nhất, đặc biệt là ở vùng thẩm mỹ. Bài viết này đề cập tới các yếu tố cần thiết để đạt được kết quả lý tưởng, đồng thời chỉ ra cách khám lâm sàng liên quan đến phục hồi dạng này. Cùng tìm hiểu.
1. Giới thiệu về phục hồi một răng trước bằng Implant
Nội dung bài viết
Phục hồi một răng là phục hồi bằng implant được đòi hỏi nhiều nhất, đặc biệt là ở vùng thẩm mỹ. Để đạt được kết quả lý tưởng thì phụ thuộc các yếu tố sau
1. Tình trạng răng kế cận
2. Hình thể (profile) sống hàm và mô mềm
3. Lên kế hoạch và đặt implant chính xác
4. Xử lý mô mềm thích hợp cho việc phẫu thuật
5. một phục hình đạt tiêu chuẩn cao
2. Khám răng miệng chung
Khám lâm sàng nên bắt đầu bằng việc khám ngoài miệng như là đánh giá môi, số lượng răng hoặc nướu lộ ra khi cười.

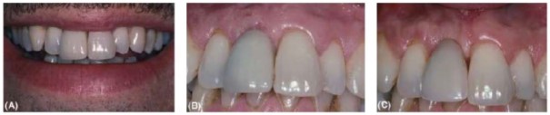
(A) Bệnh nhân này có răng 11 là phục hình trên implant không bộc lộ nướu khi cười. (B) Hình ảnh trong miệng của răng 11. Chú ý các răng cửa bên cạnh có tụt nướu nhẹ ở mặt ngoài và mặt gần trước khi điều trị. Sự mất bám dính ở mặt gần ảnh hưởng chiều cao gai nướu và rất khó hoặc không thể tái tạo lại. (C) Cũng bệnh nhân này trước khi điều trị implant, xác định vị trí của viền nướu trên răng thật. Hàm giả tháo lắp một răng đơn giản (a simple gum-fitted spoon denture) tạo thẩm mỹ chấp nhận được nhưng chức năng kém. Nó rất hữu ích cho chẩn đoán.
Một đường cười cao lộ ra nhiều nướu thường đòi hỏi thẩm mỹ nhiều nhất đối với cả phục hình truyền thống và implant. Hình dạng ngoài mô mềm, đặc biệt là chiều cao và chất lượng của gai nướu trên mặt bên răng kế cận răng mất rất quan trọng trong trường hợp này.

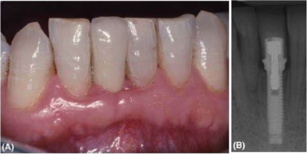
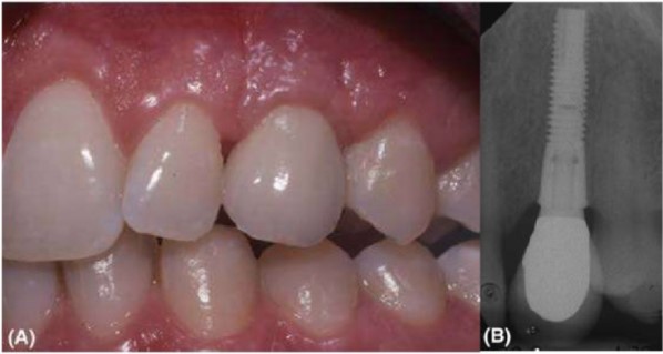
(A) Răng cửa bên hàm trên được thay thế bởi một implant cho thấy hình dạng mô mềm tốt và thẩm mỹ. (B) Hình ảnh X quang của implant, trường hợp này đường kính nhỏ khoảng 3.3 mm Nobel Biocare. Implant đường kính nhỏ thích hợp cho vị trí chịu lực ít.
Nên chú ý nếu có tụt nướu. Lộ chân răng ở mặt ngoài răng kế cận có thể sửa chữa bằng phẫu thuật niêm mạc nướu, nhưng tụt nướu ở mặt bên thường không sửa chữa được. Bệnh nhân cần được cho biết về những hạn chế thẩm mỹ này, điều này cũng sẽ xảy ra nếu như bệnh nhân làm cầu răng cố định. Sẽ dễ dàng đánh giá vấn đề thẩm mỹ hơn nếu bệnh nhân có mang hàm giả và tốt nhất là hàm không có nướu giả. Một hàm giả tháo lắp từng phần đơn giản có răng vừa khít với nướu mà thẩm mỹ chấp nhận được sẽ giúp ích rất nhiều.

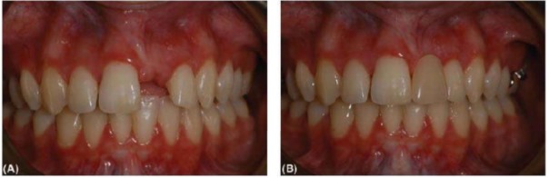
(A) Một bệnh nhân mất răng cửa giữa trên. (B) Cùng bệnh nhân này với một hàm giả chẩn đoán cho thấy mối quan hệ giữa đường viền cổ răng và sống hàm bên dưới.
Chiều cao sống hàm mất răng, chiều rộng, tổng thể (profile) nên được thăm khám cẩn thận. Mặt lõm rộng trên sống hàm dễ dàng nhận thấy được. Vẽ bản đồ sống hàm (Ridge mapping) được một vài nhà lâm sàng ủng hộ. Trong kỹ thuật này, vùng cần kiểm tra được gây tê và dùng cây đo túi hoặc compa đo ngoài được thiết kế đặc biệt đâm vào tới xương để đo chiều dày mô mềm. Thông tin được chuyển qua mẫu hàm đã được cắt ngang ở phần sống hàm. Phương pháp này cho ta thấy được mặt cắt của xương tốt hơn là khám thông thường nhưng vẫn có sai sót. Bất cứ khi nào nhà lâm sàng nghi ngờ về độ rộng xương và đường viền thì nên kiểm tra bằng X Quang (xem mặt cắt trên phim CT)
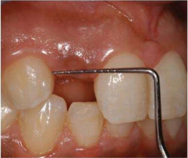
Một trong những đánh giá quan trọng là đo lường khoảng trống mất răng ở ngang mức thân răng, khoảng cách tại đường viền nướu (điểm hẹp nhất giữa 2 răng tự nhiên tại viền nướu), và khoảng cách 2 chân răng.

Đo khoảng mất răng bằng cây đo túi hoặc compa. Đo khoảng cách nhỏ nhất giữa 2 thân răng ngay vị trí mô mềm rất quan trọng. Có thể đo trên phim để bổ sung vào đánh giá lâm sàng.
Đo khoảng trống mất răng ngang mức thân răng quan trọng đối với vấn đề thẩm mỹ và được đánh giá bằng việc so sánh chiều rộng khoảng mất răng với răng bên cạnh nếu có. Khoảng cách giữa hai chân răng kế khoảng mất răng sẽ quyết định khi đặt implant và abutment có xâm phạm chân răng và mô mềm kế cận hay không. Khoảng cách tối thiểu thường là 6mm, cả chiều gần xa và trong ngoài. Điều này cho phép một implant đường kính 4mm có 1mm viền xương xung quanh. Nếu có một khoảng không gian đầy đủ xung quanh mão phục hình trên implant và abutment thì mô mềm và mộ bám dính răng kế cận sẽ khỏe mạnh. Chiều gần xa thường thiếu ở vùng răng cửa bên hàm trên và răng cửa hàm dưới nơi mà răng tự nhiên nhỏ.

(A) Răng cửa bên hàm trên được thay thế bởi một implant cho thấy hình dạng mô mềm tốt và thẩm mỹ. (B) Hình ảnh X quang của implant, trường hợp này đường kính nhỏ khoảng 3.3 mm Nobel Biocare. Implant đường kính nhỏ thích hợp cho vị trí chịu lực ít.

(A) Thay thế răng cửa dưới bên phải bằng một implant là một thách thức khó khăn bởi vì khoảng cách khá hẹp. (B) Hình ảnh implant Nobel Biocare 3.3 mm. Mộ abutment tiêu chuẩn tương đối rộng và có thể gây tổn thương hình dạng mô mềm. Một cầu dán thường là phương pháp thích hợp để thay thế một răng cửa dưới bị mất.
Ở những trường hợp bệnh nhân trẻ thiếu răng cửa bẩm sinh, chúng ta nên phối hợp với điều trị chỉnh nha để đạt được khoảng cách cần thiết và cần phải kiểm tra trước là chỉnh nha xong có đạt được khoảng cách đó không. Sự sắp xếp các chân răng kế cận có thể khám nhưng thường xác định bằng X quang. Khoảng cách 5mm chiều gần xa có thể được cắm bằng Implant có đường kính nhỏ (ví dụ sử dụng implant 3.3mm thay vì 4mm ), tuy nhiên implant sẽ chịu lực không cao. Do đó implant đường kính nhỏ chống chỉ định đặt cho bệnh nhân có hoạt động cận chức năng như nghiên răng.
Tuy nhiên, bệnh nhân có khoảng mất răng gần xa lớn, độ rộng ngoài trong đầy đủ, chúng ta có thể đặt implant đường kính rộng gần giống như là chân răng được thay thế.

(A) Răng nanh hàm trên được thay thế bằng implant Astra Tech có đường kính phù hợp để chịu được lực cao. (B) Hình ảnh implant cho thấy vị trí xương lý tưởng ở phần trên implant, abutment và mão sứ kim loại. Thiết kế kết nối implant – abutment và vật liệu rất quan trọng trong việc giảm biến chứng cơ học trong tương lai.

(A) Răng cửa trên phải được thay thế bằng implant Nobel Biocare 5 mm. (B) Hình ảnh của implant đường kính rộng cho thấy xương ngay tại vị trí ren đầu tiên. Đường kính implant tiêu chuẩn xấp xỉ 4mm được dùng rộng rãi cho vùng răng cửa, trong khi implant đường kính rộng được chỉ định cho vùng răng cối nơi chịu lực cao hơn.
Sự lựa chọn implant đường kính thích hợp dựa trên thẩm mỹ và phẫu thuật, đồng thời phần này cũng so sánh vài hệ thống implant hiện nay
3. Khám khớp cắn trong phục hồi một răng bằng Implant
Khám khớp cắn được thực hiện bằng việc khám lâm sàng đơn giản. Tiếp xúc của răng kế cận (và của phục hình cũ, nếu có) được khám ở vị trí cắn khớp trung tâm, tiếp xúc lui sau, di chuyển ra trước và sang bên. Tiếp xúc khớp cắn trên phục hình một implant nên thiết kế để tiếp xúc xảy ra trước tiên trên răng kế cận. Điều này là vì răng có sự di động sinh lý của răng so với implant tích hợp xương cứng chắc. Khó khăn xảy ra khi thay thế răng nanh trong khớp cắn có hướng dẫn răng nanh. Trong trường hợp này nên cố gắng tạo hướng dẫn nhóm và tiếp xúc nhẹ ở phục hình trên implant. Sự đề phòng tương tự cũng xảy ra khi thay thế răng cửa giữa và răng cửa bên cắn sâu ở khớp cắn hạng 2 loại 2.

Răng cửa bên hàm trên được thay thế bằng implant Astra Tech cách đây 6 năm. Nó đã hoàn toàn ổn định và không có biến chứng mặc dù khớp cắn hạng 2.
>> Xem thêm: Chăm sóc phẫu thuật và thiết kế vạt bảo tồn trong Implant (vinmecdr.com)
Nguồn: Implant trong thực hành Nha khoa – Richard D.Palmer/Nhóm dịch Saigon Young Dentists Việt Nam

