Đánh giá mô mềm và các vấn đề trên phục hình Implant
Một vấn đề quan trọng liên quan đến thẩm mỹ là việc đánh giá mô mềm và các vấn đề của chúng đối với Implant và phục hình Implant. Nhất thiết niêm mạc xung quanh Implant-Abutment phải khoẻ mạnh và không có viêm nhiễm bề mặt. Cùng tìm hiểu cách đánh giá các vấn đề ở bài viết sau.
1. Đánh giá mô mềm và các vấn đề về mô mềm
Nội dung bài viết

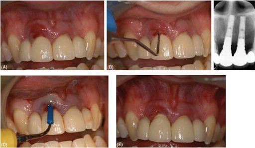
(A) Tình trạng viêm mô mềm xung quanh implant tại vùng răng cửa trên bên phải. (B) Ghi nhận độ sâu túi tại điểm giữa mặt ngoài là 6 mm. (C) Phim quanh chóp cầu răng cho thấy có sự tiêu xương (khoảng 2 mm) xung quanh implant bên phải. Vị trí chóp implant và abutment dài là lý do tại sao độ sâu túi đo được khá nhiều. (D) Sử dụng cây cạo vôi siêu âm với đầu nhựa lấy sạch mảng bám xung quanh bề mặt abutment. (E) Hai tuần sau khi loại bỏ mảng bám mô mềm đã có sự cải thiện nhưng vẫn cần phải tiến hành điều trị thêm nữa.
Thăm khám nha chu đạt chuẩn là sử dụng đầu thăm khám có đường kính khoảng 0.5 mm và lực thăm khám là 25g. Chiều sâu thăm khám lý tưởng phải tương đối (nhỏ hơn 4mm) không có hoặc rất ít chảy máu. Các nghiên cứu đã chỉ ra rằng việc thăm khám xung quanh implant không giống như thăm khám nướu tự nhiên. Một cách tổng quát, biểu mô bám dính khá mỏng manh và có thể bị chọc thủng bởi đầu thám trâm. Mô liên kết bên dưới quanh implant không được kết nối bởi các bó sợi chặt chẽ với abutment/bề mặt implant và các bó sợi collagen song song. Điều này dẫn tới sự đề kháng yếu với đầu thám trâm. Nên thăm khám phải trên mức xương 1mm. Nếu tăng thêm chiều dài thám trâm sẽ thấy sự gia tăng túi nướu, mô mềm chảy máu nhiều tiết dịch hay kém săn chắc đối với áp lực khám. Vùng thăm khám nên được kiểm tra bằng phim (không cần biết chụp phim có nằm trong kế hoạch hay không) để xác định liệu có tiêu xương viền hay là mất tích hợp xương.
Trong những trường hợp như vậy chúng ta nên tháo bỏ cấu trúc trên implant lưu giữ bằng vít để đánh giá riêng từng abutment và implant được chính xác hơn. Viêm mô mềm quanh implant có thể hồi phục nhờ việc chú ý vệ sinh răng miệng và làm sạch nhờ chuyên viên. Làm sạch nhờ chuyên viên nếu phục hình có thể tháo rời và làm sạch ngoài miệng. Tuy nhiên có phần lớn trường hợp đòi hỏi phẫu thuật nếu mô mềm gặp phải những vấn đề sau:
- Tăng sinh nướu quá mức
- Thiếu hụt nướu quá mức
- Viêm, nhiễm trùng dai dẳng
2. Tăng sinh mô mềm
Tăng sinh mô mềm có thể xuất hiện xung quanh cầu răng có thiết kế kém tại vùng tam giác nướu và xuất hiện dưới thanh bar nâng đỡ của hàm phủ.

(A) Một sang thương nướu sưng đỏ, cứng, lan rộng liên quan tới một cầu răng hàm dưới trên implant. U nướu này được chẩn đoán mô học là u hạt tế bào khổng lồ. (B). Phim xquang cho thấy vùng thấu quang và tiêu xương xung quanh chóp implant tương ứng vùng implant có u nướu. Mức xương viền có vẻ là mức xương hợp lý.
Vấn đề này có thể cần tới một phẫu thuật cắt bỏ đơn giản nếu mô mềm vùng chóp là mô sừng hóa bám dính đầy đủ, hoặc thủ thuật cắt bờ vát trong (inverse bevel resection) như sử dụng trong phẫu thuật implant để làm mỏng mô niêm mạc dư thừa nhưng vẫn bảo tổn mô sừng hóa để tạo ra một vùng mô bám dính xung quanh implant.
3. Thiếu hụt mô mềm
Phần xuyên mô mềm của phục hình implant có thể ánh lên xuyên niêm mạc không sừng hóa, đặc biệt trong những trường hợp thiếu xương nghiêm trọng, ví dụ mất răng toàn bộ. Niêm mạc không sừng hóa đỏ hơn và mỏng manh hơn mô sừng hóa và có thể không có bám dính với xương bên dưới.

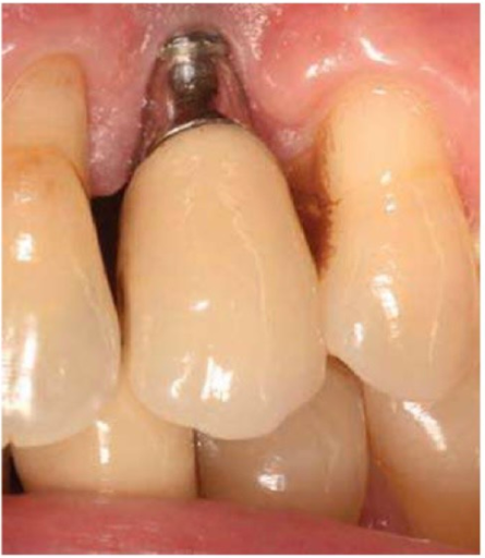
Thiếu hụt viền nướu tại vùng implant răng nanh hàm trên bên trái, lộ vùng abutment gold cùng với đầu implant. Bệnh nhân này có mô nướu mỏng và sự tụt nướu này xảy ra cùng với những vùng nướu răng kế cận.
Điều này có thể dẫn tới tình trạng đau nhức và hệ quả là kiểm soát mảng bám kém. Viêm và đau nhức dai dẳng có thể giải quyết bằng cách ghép niêm mạc sừng hóa cho vùng này theo thủ thuật tương tự như ghép nướu rời sử dụng mô khẩu cái. Trong các trường hợp có mất gai nướu thì thường là không thể sửa lại được bằng phẫu thuật.

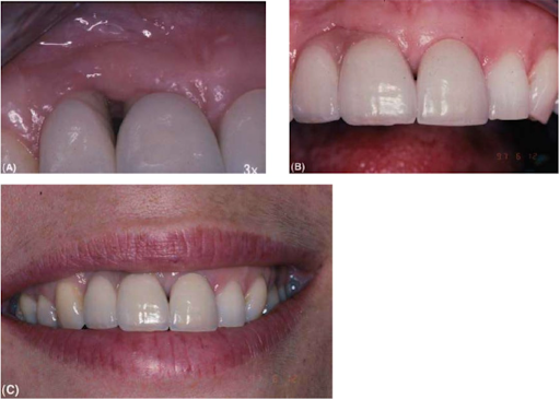
(A) Răng cửa giữa và cửa bên hàm trên được thay thế bằng các implant đơn lẻ tuy nhiên do thiếu hổng mô giữa hai răng làm phục hình thiếu thẩm mỹ. Mô mềm thiếu hụt rất khó hay không thể sửa chữa được bằng phẫu thuật. (B) Các mão răng sau đó được thay thế bằng mão răng din liền có mang nướu giả giữa hai răng bằng sử hồng khá thẩm mỹ. (C) Thẩm mỹ được cải thiện khi bệnh nhân cười.
4. Đánh giá mô mềm trường hợp viêm dai dẳng
Viêm kéo dài hay sự khó chịu của bệnh nhân có thể gia tăng do vị trí đặt implant không tốt. Khi đó ta có thể tái lập lại đường viền của mô mềm để cho phép bệnh nhân dễ dàng vệ sinh hơn, và điều này có thể làm giảm thẩm mỹ hơn so với ban đầu, do kế hoạch điều trị và thực hiện không tốt trước đó.

(A) Hình ảnh lâm sàng của cầu răng ba đơn vị trên implant thay thế cho rằng cửa bên phải và hai răng cửa giữa. Áp xe trên mô mềm tại vùng răng cửa giữa phải. Khởi đầu ba implant đã được cắm để thay thế cho mỗi đơn vị răng vị mất.
(B) Phim x quang cho thấy có một implant không sử dụng và chôn vùi dưới niêm mạc vùng răng cửa giữa phải, khá gần với implant răng cửa bên. Điều này đã dẫn tới nhiễm trùng niêm mạc trên đầu implant đã chôn vùi.
(C) Implant này không thể thực hiện được phục hình như một đơn vị độc lập và cũng không lấy ra được bằng mũi khoan Trephine để giải quyết nhiễm trùng. Do đó phần đầu implant đã được cắt và lấy ra ngoài, để lại phần chóp.
(D) Kết quả lành thương, ổ nhiễm trùng đã tiêu biến. Một mềm mất đi phải được bù trừ bằng cầu răng mới. Nếu chỉ đặt hai implant trong khoảng xương giới hạn thay vì ba implant thì ta đã có thể tránh được vấn đề này.
Trong những trường hợp nghiêm trọng khác cách giải quyết duy nhất là loại bỏ implant hoặc chôn vùi dưới niêm mạc. Phục hình được thiết kế và tạo ra kém có thể cần được thay mới nhưng trong một số trường hợp phải sửa lại vị trí implant cho đúng. Do đó phải tìm một phương án thỏa hiệp.
>>> Xem thêm: Đánh giá quá trình viêm quanh implant
Nguồn: Implant trong thực hành Nha khoa – Richard D.Palmer/Nhóm dịch Saigon Young Dentists Việt Nam

