Bệnh lý phức hợp tủy – mô quanh chóp
Bài viết này tiến hành phân tích nguyên nhân, đặc điểm của bệnh lý dạng phức hợp giữa cả tuỷ và mô quanh chóp, đồng thời phân tích hình thức nhiễm trùng nội nha ngoài ống tuỷ. Cùng tìm hiểu thêm trong bài viết dưới đây.
1. Bệnh lý phức hợp tủy – mô quanh chóp
Nội dung bài viết
Tủy răng có thể bị viêm do các nguyên nhân như sâu răng, chấn thương, tổn thương cơ học – hóa học hoặc là bệnh nha chu. Tuy nhiên, những nhiễm trùng từ sâu răng (mảng bám và biofilm) vẫn là nguyên nhân chủ yếu. Khi sâu răng thâm nhập vào lớp ngà thì tùy thuộc vào hoạt động của vi khuẩn trong lỗ sâu mà các đáp ứng miễn dịch – viêm thường xảy ra ở phần mô tủy bên dưới các ống ngà liên quan đến lỗ sâu.

(a) RCL 3 hàm trên không có triệu chứng ở một bệnh nhân nam 25 tuổi, có lỗ sâu mặt gần. Hình ảnh lát cắt mô học ở mặt phẳng gần – xa. Ngà răng không bị phá hủy nhưng bị phân lớp bởi một lớp dày biofilm. (b) Hình ảnh chi tiết vùng được chỉ trong mũi tên phía dưới ở hình (a). Các ống ngà bị vi khuẩn xâm chiếm nhiều. (c) Hình ảnh phóng to vùng được chỉ trong mũi tên phía trên ở (a). Một lượng nhỏ các tế bào viêm tích tụ có thể quan sát được ở gần lớp nguyên bào ngà, nơi mà các ống ngà có liên quan với tủy răng. (d) Hình ảnh phóng to cho thấy vùng tổn thương gồm các tế bào viêm mạn tính đơn nhân, mà chủ yếu là lymphocyte.
Vi khuẩn và độc tố của chúng có thể hoạt động như các kháng nguyên, thúc đẩy đáp ứng miễn dịch bẩm sinh và miễn dịch thu được trong mô tủy. Nếu sâu răng không được loại bỏ và điều trị thì đáp ứng miễn dịch – viêm sẽ tiếp tục diễn ra vì vi khuẩn vẫn còn tồn tại trong các ống ngà không có mạch máu, là vị trí mà hàng rào miễn dịch cơ thể không tiếp cận được.
Mức độ nghiêm trọng của đáp ứng miễn dịch – viêm trong tủy răng tỉ lệ với độ sâu của sự thâm nhập của vi khuẩn vào lỗ sâu về phía buồng tủy. Khi khoảng cách giữa bề mặt xâm nhập của vi khuẩn vào phần ngà liên quan với tuỷ răng, kể cả độ dày của lớp ngà phản ứng, vào khoảng 1.1 mm hoặc hơn thì viêm tủy không nghiêm trọng. Nhưng khi vi khuẩn xâm nhập vào lớp ngà phản ứng, đáp ứng miễn dịch – viêm của tủy răng sẽ không có khả năng hồi phục. Nếu sâu răng làm lộ tủy thì người ta quan sát thấy có vi khuẩn trong phần mô tủy hoại tử tại vị trí tủy bị lộ vì mô hoại tử hoàn toàn mất đi hệ thống phòng ngự.

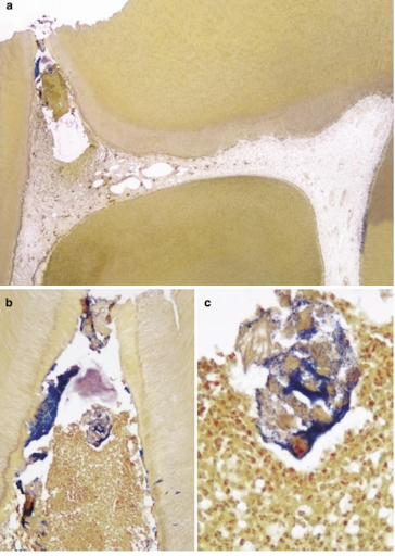
(a) RCL 3 hàm dưới có triệu chứng ở một bệnh nhân nam 45 tuổi, có lỗ sâu lớn ở mặt xa. Lát cắt mô học di qua vị trí lỗ sâu ở sừng tủy xa. Mô tủy bên dưới vị trí tủy lộ đã bị hoại tử, trong khi phần mô tủy ở phía gần vẫn bình thường. (b) Sừng tủy xa ở hình (a). Vi khuẩn ẩn náu trong các mảnh vụn mô. Có thể thấy một cấu trúc biofilm ở thành ngà phía bên trái. Vi khuẩn cũng đồng thời ẩn náu trong một số ống ngà. (c) Hình ảnh chi tiết cụm vi khuẩn ở trung tâm của sừng tủy. Xung quanh là PMN nồng độ cao.
Phần mô tủy xung quanh thường sẽ bị viêm nhưng vẫn vô trùng. Người ta công nhận rằng khi sâu răng gây lộ tủy thì tủy không có khả năng tự lành thương nữa, vì nó được bao bọc xung quanh bởi các thành ngà cứng chắc và thiếu hệ thống tuần hoàn phụ nhằm phân bố các thành phần của hệ thống miễn dịch tế bào và miễn dịch dịch thể đến vị trí tổn thương để tiêu diệt vi khuẩn. Do đó răng cần được điều trị lấy tủy chân. Tuy nhiên những bài báo cáo gần đây về thủ thuật điều trị tủy bảo tồn cho thấy điều trị tủy bảo tồn có thể được áp dụng thành công trên những răng vĩnh viễn có tủy sống bị lộ tủy do sâu răng.
Nếu điều trị tủy bảo tồn hoặc điều trị tủy chân không được thực hiện sau khi lộ tủy do sâu răng như vậy thì vi khuẩn trong những ống tủy nhiễm trùng sẽ tiếp tục nhân lên, áp đảo cả hệ thống hàng rào miễn dịch của cơ thể và gây nhiễm trùng phần mô tủy còn lại. Cuối cùng, viêm hay nhiễm trùng ở mô tủy sẽ lan tỏa vào mô quanh chóp, gây ra viêm quanh chóp. Khi vi khuẩn gây nhiễm trùng hệ thống ống tủy, chúng sẽ tạo thành lớp biofilm cứng chắc, dính chặt vào các thành ống tủy nhờ các khung ngoại bào của polymer. Chúng cũng đồng thời xâm nhập vào các đoạn eo tủy, các ống ngà ở ống tủy, các ống tủy phụ và ống tủy bên.

(a) Phía bên trái của thành ống tủy; (b) Phía bên phải của thành ống tủy. Biofilm ở thành ống tủy chân răng của RCN hàm dưới có tổn thương quanh chóp lớn. Người ta gợi ý rằng trong những trường hợp hiếm, nhiễm trùng ngoài ống tủy như actinomyces có thể hoàn toàn độc lập với nhiễm trùng trong ống tủy. Tuy nhiên, sự hiện diện của một cụm actinomyces trong các mô viêm quanh chóp, vốn được xem là nguyên nhân gây ra thất bại của điều trị nội nha không phẫu thuật mà không tồn tại nhiễm trùng trong ống tủy đã được Ricucci và Siqueira đặt nghi vấn. Cơ chế của sự thành lập nhiễm trùng nội nha ngoài ống tủy vẫn chưa được hiểu rõ, và có thể là do một cộng đồng vi khuẩn đặc biệt nào đó và/hoặc hàng rào miễn dịch của cơ thể bị suy yếu.
Vi khuẩn từ những ống tủy bị nhiễm trùng có thể tạm thời gây nhiễm trùng mô quanh chóp, và chúng chỉ có thể bị tiêu diệt bởi cơ chế hàng rào miễn dịch tự thân, sau khi việc hoàn tất điều trị nội nha đã loại trừ nguồn gốc nhiễm trùng ban đầu trong ống tủy. Trong một số ít trường hợp, vi khuẩn trong ống tủy có thể xâm nhập vào vùng mô quanh chóp hoại tử, gây ra quá trình nhiễm trùng gọi là nhiễm trùng nội nha ngoài ống tủy.
2. Hình thức nhiễm trùng nội nha ngoài ống tuỷ
Có 2 hình thức nhiễm trùng ngoài ống tủy, không giống với abscess chóp cấp thường đặc trưng bởi các triệu chứng không rõ ràng:
1. Sự hình thành cấu trúc giống với biofilm hoặc là mảng bám vi khuẩn ở bề mặt bên ngoài của chóp chân răng.
2. Sự hình thành các cụm vi khuẩn liền nhau ngay trong vị trí tổn thương viêm như actinomyces.
Cấu trúc giống biofilm đã được quan sát thấy ở bề mặt bên ngoài của phần chóp răng có viêm quanh chóp dai dẳng. Ricucci và cộng sự đã mô tả 2 trường hợp trong đó mảng bám vi khuẩn hiện diện ở bề mặt bên ngoài của chân răng có viêm quanh chóp dai dẳng và không đáp ứng với điều trị nội nha không phẫu thuật.
Viêm tủy hoặc hoại tử tủy có thể xảy ra do chấn thương, không có sự xâm nhập của vi khuẩn và nhiễm trùng. Những răng có viêm tủy hoặc hoại tử tủy loại này thường có khả năng tự giới hạn, và không dẫn đến bệnh lý viêm hay nhiễm trùng quanh chóp.
Mối liên hệ giữa dữ liệu chẩn đoán và tổn thương mô học thực sự của tủy răng còn kém chặt chẽ. Bệnh lý tủy được chẩn đoán trên lâm sàng là viêm tủy không có khả năng hồi phục thì không nhất thiết là toàn bộ phần mô tủy đều ở tình trạng như vậy, vì phần mô tủy vùng chóp có thể không hề bị viêm. Tương tự như vậy, viêm quanh chóp không nhất thiết là tủy răng trong các ống tủy chân răng đều hoại tử toàn bộ. Viêm quanh chóp là sự mở rộng của viêm tủy vùng quanh chóp.
Nguồn: Clinical Guide for Optimal Treatment Outcome – Springer International Publishing Switzerland 2017

