Tổng quan về lò xo – Khí cụ chỉnh hình răng tháo lắp
Lò xo là thành phần tác động của khí cụ chỉnh hình. Điều quan trọng khi phác họa khí cụ là đặt lò xo có đủ lực tác động, giúp răng di chuyển được. Bài viết này nêu ra một số khái niệm chung nhất về lò xo, nguyên lý lực, đồng thời giới thiệu tổng quan về lò xo đang được sử dụng trong các khí cụ chỉnh nha tháo lắp. Cùng đi sâu vào tìm hiểu trong bài viết dưới đây.
1. Tổng quan về lò xo
Nội dung bài viết
Lò xo là thành phần tác động của khí cụ chỉnh hình. Điều quan trọng khi phác họa khí cụ là đặt lò xo có đủ lực tác động, giúp răng di chuyển được.
- Lò xo nên đơn giản để bệnh nhân dễ thao tác.
- Do độ lớn của khí cụ bị giới hạn trong miệng, việc thực hiện lò xo có biên độ tác động lớn mà không gây quá vướng víu là điều cần quan tâm.
- Khi phác họa, cần chú ý đến chiều dài và độ lớn của dây để có được độ cứng và độ đàn hồi tối ưu. Lưu ý thiết diện dây lò xo ảnh hưởng đến biên độ tác động lực cũng như độ lớn của lực. Nếu lực nhẹ có biên độ lực tác động lớn, thì an toàn và dễ chấp nhận hơn vì mô nha chu hấp thu lực và tạo được sự di chuyển răng phù hợp. Lực mạnh và có biên độ lực tác động lớn sẽ nguy hiểm vì mô nha chu không thể biến đổi kịp với sự di chuyển răng. Chấn thương xuất hiện do sự nghẽn mạch và thoái hóa của mô nha chu. Vì vậy trong trường hợp cần thiết sử dụng lò xo có đường kính lớn, phải chú ý cường độ lực và biên độ tác động nằm trong giới hạn an toàn. Các yếu tố này liên hệ theo công thức:

- D: quãng biến dạng của dây (biên độ tác động của dây)
- F: lực tác động
- L: chiều dài dây
- E là độ đàn hồi của dây
- d: thiết diện (đường kính dây).
- Như vậy quãng biến dạng của dây phụ thuộc vào lực tác động, chiều dài và thiết diện của dây.
- Khi tăng gấp đôi chiều dài dây, tạo được quảng biến dạng tăng gấp 8 lần. Khi đường kính dây tăng gấp đôi, cần có lực tác động tăng lên 16 lần để có cùng quãng biến dạng.

(A) Chiều dài tăng gấp đôi, dây có biên độ hoạt động tăng lên 8 lần; (B) Đường kính dây giảm %, biên độ hoạt động tăng lên 16 lần.
Hiệu quả và khả năng tác động của lò xo không những tùy thuộc vào đường kính và tính chất của dây mà còn ảnh hưởng bởi số lượng bụng và hình dạng của lò xo. Ví dụ: biến thể của lò xo ngón tay là lò xo Z: thêm vòng tròn bụng và kéo dài thêm phần cánh tay để tăng thêm độ dẻo của lò xo giúp tác động hiệu quả. Trường hợp lò xo có nhiều vòng tròn bụng, muốn thăng bằng cần thêm thanh hướng dẫn hoặc phần bảo vệ cho lò xo (Hình 2).

(A) Lò xo Z, (B) Lò xo có nhiều vòng tròn bụng, (C) Lò xo có thêm phần bảo vệ.
2. Phân loại
Có các dạng chính:
- Lò xo mở.
- Lò xo đóng.
- Lò xo mặt bên.
- Lò xo phía mặt má.
- Lò xo phía mặt lưỡi.
Khác biệt của lò xo đóng và mở là lò xo đóng có 2 đầu dây của lò xo được chôn trong nền nhựa. Lò xo đóng/mở: chủ yếu dùng đẩy răng ra trước hoặc đẩy răng sau ra phía ngoài má. Phần tác động của lò xo nên nằm trong cùng mặt phẳng và nên tiếp xúc thẳng góc với trục dài của răng (Hình 3).

Phần tác động của lò xo nằm thẳng góc với trục dài của răng.
Lò xo mở: dùng đẩy răng ra trước, có chiều ngang bằng độ rộng của răng muốn di chuyển, và 2 đầu lò xo ôm sát mặt bên để ngăn răng di xa trong lúc đẩy ra trước. Đôi khi có thể di răng ra trước và đồng thời di gần hoặc di xa răng (Hình 4).

Lò xo mở di hai răng cửa giữa ra trước.
Lò xo đóng: có 2 đầu lò xo chôn vào trong nền nhựa, vì vậy kém đàn hồi hơn lò xo mở và thường làm bằng dây có thiết diện nhỏ hơn. Có dạng một hoặc hai bụng (Hình 5).

Lò xo đóng (A) dạng một bụng, (B) dạng hai bụng.
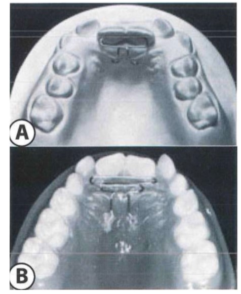
Lò xo đóng khe hở răng cửa: Khi tăng lực cung hình U ở mặt má sẽ tạo lực di gần để đóng khe. Phía lưỡi, chân lò xo đan chéo nhau, kết hợp với ốc nới rộng chiều ngang sẽ tạo thêm lực đóng khe răng ở mặt trong khi vặn ốc nới rộng (Hình 6).

Lò xo đóng khe hở răng cửa.
Lò xo hình T: là dạng lò xo đóng dùng đẩy răng cối nhỏ ra ngoài, rất thuận tiện vì dễ gắn trong miệng cũng như dễ tăng lực (Hình 7).

Lò xo hình T đặt lực ở vùng cổ răng cối nhỏ.
Lò xo hình nấm: là dạng lò xo đóng, để di răng cửa ra ngoài (Hình 8).

(A) Lò xo hình nấm (B) Khi kết hợp với cung môi rất hiệu quả trong điều trị xoay răng cửa.
Lò xo hình hộp: di các răng mọc lệch ngoài vào trong, thường dùng trong khí cụ nguyên tảng hoặc khí cụ Hawley (Hình 9).

Lò xo mặt bên: còn gọi là lò xo kẽ răng, lò xo ngón tay, lò xo di gần, lò xo di xa. Mặt phẳng lò xo nằm tiếp xúc với mặt bên răng, song song mặt phẳng nhai. Phần đầu tự do của lò xo kéo dài ra phía môi hơn 5mm, có thể uốn cong để tránh trầy môi má hoặc bẻ ôm sát mặt ngoài răng như móc C. Phần lò xo phía khẩu cái bẻ thẳng, hoặc có bụng tròn hoặc uốn thành hình S (Hình 10).

(a) Lò xo mặt bên thẳng, (b) Lò xo mặt bên có thêm bụng và (c) Lò xo mặt bên có hình S: di gần răng cửa.
Lò xo mặt trong: dùng di răng cối lớn ra ngoài, có phần uốn cong đặt ở phía xa, đầu tự do ở phía gần. Lò xo đặt gần sát cổ răng để phát huy tác dụng.

Lò xo di răng cối lớn ra ngoài.
Lò xo mặt ngoài: di răng vào trong thực hiện trên răng cối nhỏ và răng cối lớn (Hình 12).

(A) Lò xo tạo lực ép di răng vào trong (B) lò xo hình T, (C) lò xo phía lưỡi hoặc phía má.
Lò xo Coffin: (Lò xo nới rộng hàm) có ưu điểm hơn ốc nới rộng là linh hoạt hơn, có thể nới rộng một bên, hoặc từng đoạn nhiều ít khác nhau, thường gặp trong khí cụ nguyên tảng hoặc hai hàm (Hình 13).

Lò xo Coffin (A) ở khí cụ hàm trên có nâng khớp cắn vùng răng sau và (B) ở khí cụ nguyên tảng.
Nguồn tham khảo: Sách chỉnh hình răng mặt, khí cụ tháo lắp – Bộ môn Chỉnh hình răng mặt, Trường Đại học Y dược TP Hồ Chí Minh


