Quan điểm sinh học điều trị tuỷ có hoặc không bị viêm quanh chóp
Bài viết này đề cập đến hai quan điểm sinh học trong điều trị nội nha ở những răng trưởng thành có thể có hoặc không bị viêm quanh chóp, cung cấp cho nha sĩ một góc nhìn mới trên lâm sàng. Cùng tìm hiểu thêm về vấn đề này.
1. Quan điểm sinh học trong việc điều trị nội nha ở những răng trưởng thành không bị viêm quanh chóp
Nội dung bài viết
Tương tự như những bệnh lý nhiễm trùng khác, mục tiêu của việc điều trị nội nha với phần tủy răng bị nhiễm trùng hoặc hoại tử là loại bỏ vi khuẩn và mô hoại tử trong hệ thống ống tủy. Mặc dù kháng sinh đem lại hiệu quả cao trong việc hỗ trợ hàng rào miễn dịch cơ thể cùng chống lại vi khuẩn, nhưng chúng lại không hữu ích mấy khi sử dụng trong điều trị nội nha vì vi khuẩn ẩn náu trong mô tủy hoại tử, là nơi không còn mạch máu. Vì thế, kháng sinh không thể tiếp xúc trực tiếp để có thể tiêu diệt vi khuẩn. Điều trị nội nha đòi hỏi việc loại bỏ các mảnh vụn bằng cơ học, kết hợp bơm rửa bằng các chất kháng khuẩn để phá vỡ và loại bỏ biofilm trên các thành ống tủy, kết hợp với các thuốc kháng khuẩn nội tủy để tiêu diệt vi khuẩn trong hệ thống ống tủy, chẳng hạn như eo tủy, ống tủy phụ, ống tủy bên và các ống ngà. Các loại hợp chất thường dùng để bơm rửa ống tủy và băng thuốc nội tủy thường được sử dụng là NaOCl và calcium hydroxide. Răng có viêm tủy không hồi phục thì vi khuẩn thường chỉ cư trú tại phần thân răng của mô tủy hoại tử hoặc vùng có abscess.

(a) RCL 3 hàm dưới có triệu chứng ở một bệnh nhân nam 45 tuổi, có lỗ sâu lớn ở mặt xa. Lát cắt mô học di qua vị trí lỗ sâu ở sừng tủy xa. Mô tủy bên dưới vị trí tùy lộ đã bị hoại tử, trong khi phần mô tủy ở phía gần vẫn bình thường. (b) Sừng tủy xa ở hình (a). Vi khuẩn ẩn náu trong các mảnh vụn mô. Có thể thấy một cấu trúc biofilm ở thành ngà phía bên trái. Vi khuẩn cũng đồng thời ẩn náu trong một số ống ngà. (c) Hình ảnh chi tiết cụm vi khuẩn ở trung tâm của sừng tủy. Xung quanh là PMN nồng độ cao
Những phần mô tủy còn lại thường không có vi khuẩn. Vì thế, sau khi loại bỏ phần mô tủy nhiễm trùng và hoại tử ở buồng tủy bằng mũi khoan với tay khoan low – speed và bơm rửa với NaOCl, phần mô tủy sống còn lại trong ống tủy chân răng sẽ bị loại bỏ bởi việc sửa soạn cơ học và bơm rửa bằng các chất kháng khuẩn, và một vết cắt tủy – càng nhỏ càng tốt – sẽ được thực hiện tại vị trí điểm thắt chóp. Thủ thuật điều trị nội nha vô trùng phải được tuân thủ nghiêm ngặt để tránh đưa vi khuẩn vào trong ống tủy. Đối với trường hợp tủy sống, chẳng hạn như viêm tủy không hồi phục, việc loại bỏ quá mức thành ngà ống tủy là không cần thiết vì chỉ có một số ít ống ngà ở thân răng là bị vi khuẩn xâm nhập. Răng được chẩn đoán là viêm tủy không hồi phục, ví dụ như nhiễm trùng chỉ giới hạn ở sừng tủy, có thể được điều trị trong một lần hẹn, không cần thiết phải băng thuốc nội tủy để tránh việc tái nhiễm giữa các lần hẹn.
Nếu nhiễm trùng xảy ra ở toàn bộ mô tủy, thì biofilm sẽ được thành lập ở các thành ống tủy, từ đó vi khuẩn xâm nhập vào các eo tủy, ống tủy phụ, ống tủy bên và các ống ngà trong ống tủy. Bởi vì thế, loại trừ mảnh vụn trong ống tủy bằng phương pháp cơ học đối với những răng có nhiễm trùng nghiêm trọng nên được thực hiện một cách kỹ lưỡng hơn so với những răng có viêm tủy không hồi phục, để phá hủy lớp biofilm, loại trừ độc tố vi khuẩn cũng như vi khuẩn trong các ống ngà và mảnh vụn mô hoại tử. Hơn nữa, cần băng thuốc kháng khuẩn nội tủy để tiêu diệt lượng vi khuẩn còn sót lại trong hệ thống ống tủy giữa các lần hẹn vì việc sửa soạn cơ học và bơm rửa bằng chất kháng khuẩn không hoàn toàn tiêu diệt được hết vi khuẩn trong ống tủy. Khi đó, vi khuẩn kị khí còn lại sẽ bắt đầu nhân lên trong môi trường thiếu Oxy sau khi các ống tủy đã được làm sạch bằng phương pháp cơ – hóa học.
Lưu ý quan trọng!: Khuyến cáo sử dụng một hoặc nhiều loại thuốc sát khuẩn nội tủy để hỗ trợ cho phương pháp làm sạch cơ −hóa học đối với những răng có nhiễm trùng tủy nghiêm trọng mà không có viêm quanh chóp.
Nếu răng hoại tử tủy do chấn thương thì không bị nhiễm trùng, vấn đề sinh học trong việc điều trị nội nha răng nguyên nhân là không cần thiết, bởi vì loại bệnh lý tuỷ này có thể tự giới hạn và nó không gây ra viêm quanh chóp. Tuy nhiên, răng hoại tử tủy thì hoàn toàn không có hệ thống hàng rào miễn dịch, nên sẽ dễ dàng bị nhiễm trùng và phát triển thành viêm quanh chóp; điều trị nội nha thường được khuyên chỉ định trước khi tiến triển thành viêm quanh chóp, để tăng hiệu quả điều trị. Về mặt sinh học, răng hoại tử tủy do chấn thương không có nhiễm trùng, thì có thể được điều trị như răng viêm tủy không hồi phục.
2. Quan điểm sinh học về việc điều trị nội nha trên những răng trưởng thành, có viêm quanh chóp.
Đối với những răng có viêm quanh chóp thì nhiễm trùng xảy ra ở hệ thống các ống tủy. Sự hình thành biofilm và các cụm vi khuẩn ở eo tủy, ống tủy phụ/ống tủy bên và các ống ngà trở nên rõ rệt hơn.

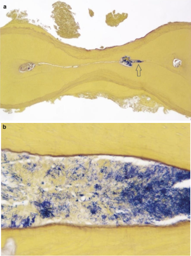
(a) Lát cắt ngang qua chân gần của RCL thứ nhất hàm dưới có viêm quanh chóp. Vị trí lát cắt là vị trí chuyển tiếp giữa 1/3 chóp và 1/3 giữa chân răng. Có một eo tủy hẹp và dài, với một chỗ phình ra ở giữa. (b) Hình ảnh chi tiết vùng được chỉ bởi mũi tên ở (a). một lớp biofilm dày với một lượng lớn chất nền ngoại bào được lấp đầy bởi lumen ở mức này.

(a) Chân XN của RCL thứ nhất hàm trên có một tổn thương viêm quanh chóp lớn. Lát cắt bao gồm ống tủy đoạn chóp. Ông tủy này đã bị lấp đầy bởi một lớp biofilm. Lưu ý vị trí lỗ chóp và một chỗ phân nhánh nhỏ ở chóp. (b) Hình ảnh chi tiết lỗ chóp. (c) Hình ảnh phóng lớn chỗ phân nhánh nhỏ ở chóp.

(a) Chân xa của RCL thứ nhất hàm dưới có một tổn thương viêm quanh chóp lớn. Lát cắt ngang qua 1/3 chóp. Các mảnh vụn mô và biofilm hiện diện ở xung quanh ống tủy. (b) Hình ảnh chi tiết thành ngà bên (T). Vi khuẩn ẩn náu sâu trong những ống ngà.
Vi khuẩn ở đoạn ống tủy cách chóp 5mm rất khó bị loại bỏ. Vì vậy, việc loại bỏ mảnh vụn mô bằng cơ – hóa học ở hệ thống ống tủy của răng bị nhiễm trùng có viêm quanh chóp cần được thực hiện triệt để hơn so với răng nhiễm trùng không có viêm quanh chóp, và việc băng thuốc kháng khuẩn nội tủy là bắt buộc để kiểm soát lượng vi khuẩn còn sót lại. Trong một số ít trường hợp, nhiễm trùng nội nha ngoài ống tủy có thể liên quan đến viêm quanh chóp tồn tại dai dẳng. Đối với những trường hợp như vậy, cần chỉ định phẫu thuật nội nha để loại bỏ nhiễm trùng.
Mặc dù vi khuẩn còn lại trong các ống ngà của những răng đã được trám bít tốt sau khi đã thực hiện việc loại bỏ mảnh vụn bằng cơ – hóa học và băng thuốc kháng khuẩn nội tủy không chắc sẽ làm ảnh hưởng đến kết quả điều trị nội nha, nhưng vi khuẩn trong những ống ngà đó vẫn có thể tồn tại, sinh trưởng và gây nhiễm trùng đến những ống tủy chưa được bít tốt.
Bởi vì sự nhiễm trùng trong ống tủy tồn tại dai dẳng là nguyên nhân chủ yếu gây thất bại khi điều trị nội nha nên việc điều trị cho những răng có viêm quanh chóp cần đòi hỏi nhiều nỗ lực và công sức hơn nữa.
Nguồn: Clinical Guide for Optimal Treatment Outcome – Springer International Publishing Switzerland 2017

