Vai trò của nướu sừng hóa quanh răng thật và quanh Implant
Vai trò của nướu sừng hóa đối với sức khỏe implant là một chủ đề được tranh luận trong những năm qua. Một số bài báo tổng quan đã kết luận rằng không đủ bằng chứng cho thấy sự cần thiết của nướu sừng hóa đối với sự ổn định của mô quanh implant. Bài viết này sẽ làm cụ thể và sáng tỏ các vấn đề trên. Cùng tìm hiểu.
1. Khái niệm về nướu sừng hóa
Nội dung bài viết
Nướu sừng hóa là phần niêm mạc miệng bao quanh cổ răng và bao phủ phần xương ổ của răng. Nó kéo dài từ viền nướu đến đường nối niêm mạc- nướu (MGJ). Nướu sừng hóa được lót bởi biểu mô sừng hóa, và phần nướu sừng hóa bám chặt vào xương ổ răng bên dưới hoặc xê măng của răng được gọi là nướu dính sừng hóa. Chiều rộng của nướu dính sừng hóa được định nghĩa là khoảng cách từ đường nối niêm mạc- nướu đến đáy khe nướu/túi nha chu. Nướu rời sừng hóa không bám vào xương ổ răng và xê măng. Chiều rộng của nướu rời sừng hóa được định nghĩa là khoảng cách từ đáy khe nướu/túi nha chu đến viền nướu.
2. Vai trò của nướu sừng hóa quanh răng thật và quanh Implant
Nướu dính sừng hóa ở răng tự nhiên chứa các sợi nước làm từ collagen loại I. Những sợi collagen này tạo ra lớp vỏ cơ học cho nướu và có chức năng như hàng rào chống lại vi khuẩn miệng. Nướu dính sừng hóa còn có khả năng chống lại sự ma sát sinh ra trong quá trình nhai, khi các hạt thức ăn chạy từ bản nhai qua nướu sừng hóa xuống ngách hành lang. Ngoài ra, do nướu dính sừng hóa bám chặt vào các cấu trúc bên dưới, nên nó không di động, và do đó cho phép làm sạch mảng bám hiệu quả bằng những dụng cụ vệ sinh như bàn chải và chỉ nha khoa.
Bộ máy bám dính của nướu dính sừng hóa quanh implant khác so với răng tự nhiên. Những sợi nướu ở răng tự nhiên thì vùi vuông góc vào xê măng. Ngược lại, sợi mô liên kết quanh implant phần lớn lại chạy song song với implant và không bám dính với bề mặt titanium của implant. Ngoài ra, bộ máy bám dính quanh implant chủ yếu là bám dính biểu mô kết nối dài chứ không phải bám dính mô liên kết. Do những khác biệt cấu trúc này mà bộ máy bám dính quanh implant dễ bị tổn thương hơn so với răng tự nhiên khi có sự tích tụ mảng bám.
Vai trò của nướu sừng hóa đối với sức khỏe implant là một chủ đề được tranh luận trong những năm qua. Một số bài báo tổng quan đã kết luận rằng không đủ bằng chứng cho thấy sự cần thiết của nướu sừng hóa đối với sự ổn định của mô quanh implant. Tuy nhiên, các tổng quan hệ thống khác lại báo cáo rằng có sự tích tụ mảng bám và viêm nhiều hơn nếu thiếu nướu sừng hóa quanh implant. Bởi vì tổ chức của bộ máy bám dính quanh implant khiến mô mềm quanh implant dễ bị tổn thương khi có sự hiện diện của mảng bám, nên có lẽ việc có đủ chiều rộng nướu dính sừng hóa quanh implant là khá quan trọng.
3. Vấn đề lâm sàng nảy sinh khi không đủ nướu sừng hóa
Khi thiếu nướu sừng hóa quanh implant, thì phần lớn mô mềm quanh implant sẽ là niêm mạc xương ổ. Bởi vì niêm mạc xương ổ là mô di động, nên rất khó để bệnh nhân giữ cho implant không có mảng bám. Niêm mạc xương ổ quanh implant sẽ di động cùng với lông bàn chải khi bệnh nhân chải implant. Do đó, thiếu nướu sừng hóa quanh implant có thể làm tăng lưu giữ mảng bám và viêm nướu. Vì bộ máy bám dính mô mềm quanh implant dường như ít đề kháng với viêm nướu, nên bệnh nhân sẽ có nhiều nguy cơ phát triển viêm niêm mạc quanh implant và viêm quanh implant.
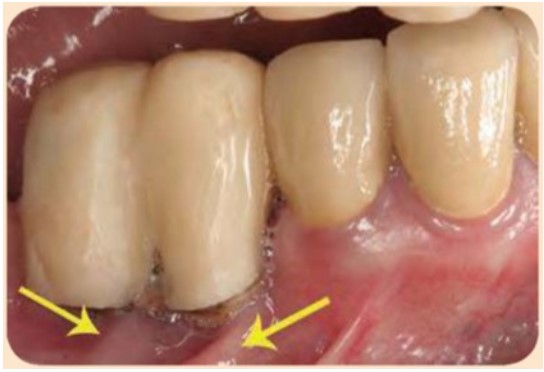
Ngoài ra, trong những trường hợp đặt implant ở sống hàm teo nhiều và thiếu nướu sừng hóa quanh implant, thì khoảng hành lang quanh implant cũng thường bị giới hạn, không đủ chỗ cho dụng cụ vệ sinh răng miệng (ví dụ như bàn chải) làm sạch mảng bám và mảnh vụn thức ăn. Hình dưới đây cho thấy không đủ nước sừng hóa ở mặt ngoài của implant #45 và #46, thiếu ngách hành lang thể hiện qua sự hình thành nếp gấp niêm mạc (mũi tên) quanh khe hở tiếp cận giữa răng #44, implant #45, và implant #46.

Nếp gấp niêm mạc (mũi tên màu vàng) ở niêm mạc xương ở mặt ngoài là dấu vết của khe hở tiếp cận giữa răng #44, implant #45 và implant #46. Nếp gấp niêm mạc cho thấy niêm mạc ổ răng nằm sát với mặt ngoài của phục hình trên implant #45 và #46, gợi ý rằng không đủ khoảng hành lang quanh implant.
Có sự tích tụ mảnh vụn thức ăn và mảng bám quanh các implant. Tháo phục hình trên implant #45 và #46 cho thấy hoàn toàn không có nướu sừng hóa mặt ngoài (hình dưới đây).

Thiếu nướu sừng hóa ở mặt ngoài quanh implant càng thấy rõ hơn sau khi tháo phục hình trên implant.

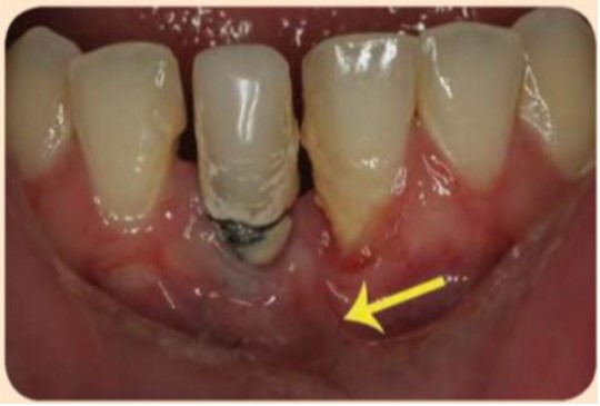
Implant #41 có chiều rộng nướu sừng hóa rất ít và bị bao phủ bởi mảng bám và vôi răng. Thắng bám sai chỗ ở phía gần của implant #41 (mũi tên màu vàng) có thể cản trở việc kiểm soát mảng bám hiệu quả.
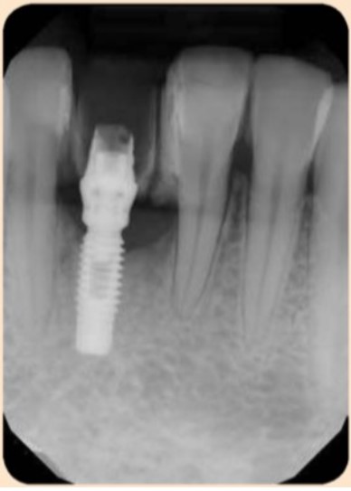
Ren của implant bị lộ và bị phủ bởi mảng bám và vôi răng, cũng quan sát được trên phim X-quang (hình dưới đây).

Tiêu mào xương quanh implant ở phía gần của implant #41. Chú ý có thể nhìn thấy vôi răng trên phim X- quang.
Các yếu tố như thiếu nướu sừng hóa quanh implant, thiếu khoảng hành lang quanh implant, và thắng bám không thuận lợi quanh implant đã cản trở việc làm sạch mảng bám hiệu quả và có thể gây ra viêm niêm mạc quanh implant và/hoặc viêm quanh implant.
Nguồn tài liệu: Clinical Cases in Implant Dentistry, First Edition – Published 2017 by John Wiley & Sons, Inc.
Đọc thêm: Phục hình bắt vít trên Implant – Tổng quan.

