Các bước liên quan đến thử phục hình cầu răng trên Implant
Bài viết này nói về các bước liên quan đến thử phục hình cầu răng, tiến hành gắn và quá trình kiểm tra, sửa chữa, dặn dò, hướng dẫn và theo dõi bệnh nhân sau quá trình điều trị. Đây là những bước cuối cùng trong quá trình điều trị phục hình Implant, vì thế các phẫu thuật viên đặc biệt phải lưu tâm và kiểm soát thật tốt.
1. Thử phục hình cầu răng trên Implant
Nội dung bài viết
Cầu có nhịp ngắn hoặc dài thường được thử trước khi gắn. Việc thử có thể thực hiện tại các thời điểm sau:
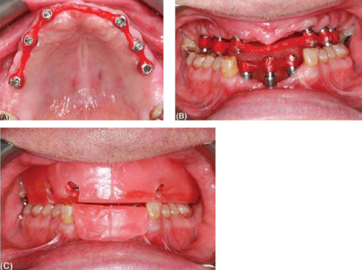
- Trước khi làm khung sườn. Các ống bằng vàng (gold cylinder) được liên kết với nhau bằng một vật liệu cứng như nhựa composite trong labo.

(A) Một khung bằng nhựa (sản phẩm Duralay) được thử để xác định vị trí của các implant và mẫu toàn hàm. (B) Thủ khung nhựa trên và dưới. (C) Sáp cắn đặt trên khung nhựa tạo ra một nền vững chắc để ghi dấu khớp cắn.
- Độ chính xác của việc lấy dấu có thể được kiểm tra bằng cách đặt cái này trong miệng. Không nên có sự dịch chuyển của khung khi vặn chặt ở hai đầu và kết nối nhựa thường sẽ bị gãy nếu khung không khít sát. Nếu điều này xảy ra, tốt nhất nên lấy dấu lại. Các ống bằng vàng nối với nhau có thể được sử dụng cho việc ghi khớp cắn bằng cách gắn một vành sáp và chúng cũng có thể hỗ trợ việc thử răng nếu cần thiết.
- Sau khi làm khung sườn, nhưng trước khi hoàn thành răng. Thử trong lúc này cho phép đánh giá đầy đủ về khít sát của khung và phát hiện sai sót trước khi phí thời gian hoàn thành một cầu răng mà sau đó gắn không vừa. Đầu tiên phần khung được đặt xuống dưới áp lực ngón tay và bất kỳ lỗi trong sự khít sát được phát hiện bằng cách lắc khung. Sau đó các vít của cầu răng được thử gắn trong cùng thời điểm để xem nếu vặn chặt một vít có làm khung dịch chuyển ra khỏi abutment khác không. Biểu mô bám dính bó chặt hoặc khung đè vào mô mềm có thể làm cho điều này khó thực hiện. Cuối cùng, tất cả các vít được vặn chặt và khung không khít sát được phát hiện bằng sự khó chịu và cảm giác bó chặt của bệnh nhân. Lỗi khít sát phát hiện ở giai đoạn này khắc phục bằng cách lấy dấu lại hoặc bằng cách cắt khung và nẹp nó trong miệng để nó được hàn lại. Khung đã bị cắt luôn luôn được thử lại một lần nữa trước khi tiếp tục quá trình.
- Cuối cùng, một cầu răng có thể được thử trước khi đánh bóng hoặc nướng bóng nếu là sứ. Điều này cho phép kiểm tra thẩm mỹ và khớp cắn trước khi hoàn tất.
2. Gắn phục hình cầu răng
Nếu các abutment sau cùng đã được tháo ra giữa các lần hẹn, chúng cần được đặt vào và vặn chặt theo khuyến cáo bằng cách dùng cây torque. Cầu răng được đặt lên abutment và kiểm tra lại độ khít sát như đã thảo luận. Không có nhiều lý do để cố gắng kiểm tra sự khít sát của cầu răng bằng mắt thường, trừ khi đường hoàn tất đặt trên nướu. Hoàn toàn bình thường nếu thấy một ít nướu bị trắng đi vì profile mới của cầu răng gây áp lực trên các mô mềm. Bệnh nhân cần được trấn an rằng đây là một vấn đề tạm thời. Nếu độ khít sát chấp nhận được, tiến hành kiểm tra khớp cắn.
3. Kiểm tra, hỗ trợ bệnh nhân trong quá trình gắn phục hình cầu răng
3.1. Kiểm tra khớp cắn trong khi gắn phục hình cầu răng
Nếu cầu răng được làm là một phục hình làm theo khớp cắn hiện hữu (conformative restoration) (ở bệnh nhân mất răng bán phần), đầu tiên nó cần được kiểm tra ở vị trí tương quan tâm để đảm bảo không cản trở khớp cắn. Tiếp theo vị trí khớp cắn trung tâm cần được kiểm tra. Lý tưởng nhất là cầu răng chỉ nên chạm khớp nhẹ khi bệnh nhân cắn nhẹ và nên chạm khớp đầy đủ khi bệnh nhân cắn thật chặt. Điều này rõ ràng phụ thuộc vào việc còn bao nhiêu răng tự nhiên và tiếp xúc khớp cắn của chúng tốt như thế nào. Có thể khó khăn để thiết lập khớp cắn nếu các răng còn lại có mức độ lung lay đáng để. Mức độ tiếp xúc này rất khó để định lượng, nhưng cách tốt nhất trước tiên là sử dụng giấy cắn để ghi nhận tiếp xúc giữa răng và implant.

Khớp cắn được kiểm tra trên một cầu răng dưới được implant nâng đỡ. (A) Giấy cắn được dùng để đánh dấu sự chạm khớp ban đầu dưới lực cắn nhẹ. (B) Các dấu chạm rõ nhất xuất hiện trên răng tự nhiên và cầu implant (thứ hai và thứ ba từ phía sau) chỉ chạm nhẹ. (C) Shim stock được dùng để xác nhận phục hình implant chạm khớp dưới lực cắn mạnh.
Sau đó nên sử dụng shim stock, và khi chạm khớp nhẹ, cầu răng trên implant sẽ không giữ shim stock nhưng răng thì giữ được. Khi bệnh nhân cắn chặt hơn thì cầu răng sẽ giữ được shim stock giống như răng. Lý tưởng nhất là các vùng chạm khớp nên nằm càng gần tâm của implant càng tốt để lực truyền thẳng xuống trục của implant khi tải lực. Nhịp với nên chịu lực càng ít càng tốt.
Các cầu răng sau đó được kiểm tra trong các di chuyển sang bên và ra trước. Nếu hướng dẫn răng nanh tồn tại, điều này sẽ bảo vệ cầu răng khi chịu lực sang bên. Nếu hướng dẫn nhóm tồn tại, cầu răng trên implant cần hòa hợp với điều này. Nếu răng được thay thế là răng nanh và là một phần của cầu răng, khớp cắn được tái lập thành hướng dẫn nhóm nếu điều này có thể đạt được mà không bị mất hình dạng bên ngoài. Nếu hướng dẫn sang bên phải có thì nó phải nông, chia sẻ trên nhiều răng nếu có thể, và được đặt ở giữa của implant khỏe nhất.
Hướng dẫn ra trước nên đã được xác định trước khi làm, vì vị trí răng cửa sẽ làm thay đổi việc này đáng kể. Di chuyển ra trước nên trơn tru và trải rộng trên càng nhiều răng càng tốt, một lần nữa lý tưởng là hướng dẫn nên đặt ở giữa implant hơn là trên nhịp.
Nếu kế hoạch tái lập khớp cắn được thông qua, ví dụ như một cầu răng toàn hàm, điều này sẽ dẫn tới mão, cầu răng và phục hình toàn hàm mà không cần khớp cắn cân bằng. Khớp cắn trung tâm cần được thiết lập ở kích thước dọc lý tưởng tại vị trí tương quan tâm, có vận động ra trước bằng phẳng và trơn láng 1-2 mm, vận động sang bên phải là một chức năng nhóm với nhiều tiếp xúc cắn còn vận động ra trước nông và trơn láng.
3.2. Hướng dẫn cho bệnh nhân
Các bệnh nhân được hướng dẫn vệ sinh cụ thể, đặc biệt là làm thế nào để vào vùng giữa các implant. Họ nên được cảnh báo là phải cẩn thận với cầu răng mới khi thực hiện chức năng, ví dụ như họ có thể cắn môi, má, lưỡi vì họ đã quen với việc có một cấu trúc cố định chứ không phải là một hàm răng giả.
Những bệnh nhân đã đeo hàm giả lâu ngày trước khi điều trị implant gặp nhiều vấn đề hơn khi bắt đầu mang hàm mới và tốt nhất những điều này cần được thảo luận trước để tránh khi vấn đề phát sinh làm bệnh nhân không hài lòng.
Đặc biệt, phát âm có thể bị ảnh hưởng khi phục hồi các răng trước trên. Nhận thức sự thay đổi phát âm thường là rõ ràng đối với bệnh nhân hơn là với bất cứ ai khác và thường trở lại bình thường sau một tới hai tuần. Tuy nhiên, đôi khi cần thời gian thích nghi dài hơn.
3.3. Theo dõi
Sau hoàn thành phục hình mới, chúng ta nên thu xếp để tái đánh giá, đặc biệt là để kiểm tra sự duy trì tại nhà, trong vòng sáu tháng. Mức xương viền nên được kiểm tra sự ổn định với x quang quanh chóp sau một năm và mỗi hai năm sau đó.
4. Một số trường hợp đặc biệt
4.1. Cầu răng gắn bằng vít
Với cầu răng ngắn, vít có thể vặn chặt bằng tay (lực torque khoảng 10Ncm). Cầu răng dài được nâng đỡ trên implant nên được đặt xuống từ từ để cầu răng khít sát hoàn toàn và ngăn ngừa việc vặn quá lực torque cho phép. Vít ở giữa sẽ được vặn chặt bằng tay trước, sau đó tiến về phía xa và luân phiên từ bên này qua bên kia. Khi cầu răng được gắn lần đầu tiên, lỗ vít được bít kín bằng gòn và vật liệu tram tạm. Có một tỷ lệ đáng kể vít sớm bị lỏng đặc biệt với cầu răng dài.
Vì vậy, cầu răng phải được kiểm tra sau một hoặc hai tuần và các vít cần được kiểm tra độ cứng chắc. Bất kỳ vít nào lỏng hơn phải được kiểm tra thêm một hoặc hai tuần sau đó. Ít khi nào một cái vít không giữ được độ chặt của nó ở lần thứ hai, và nếu điều này xảy ra, cần phải kiểm tra cẩn thận vì điều này có thể cho thấy khung sườn không khít sát hoặc do cầu răng tải lực quá nhiều.
Một khi các vít vẫn còn chặt và bệnh nhân đã đồng ý mọi mặt của cầu răng, các lỗ vít có thể bít kín vĩnh viễn. Để cho phép đi vào trong tương lai mà không gây hại đầu của vít, nó cần được che một lớp bông gòn để ngăn ngừa các đầu vít bị phá với vật liệu cứng. Phần mặt nhai của các lỗ vít tốt nhất được trám với composite tiệp màu răng và kiểm tra lại khớp cắn sau đó.
4.2. Cầu răng gắn bằng xi-măng
Sau khi hoàn thành một cầu răng xi măng, chúng ta cần quyết định phải dùng xi măng nào để gắn. Với nhiều abutment song song, không cần thiết phải dùng xi măng cứng (vĩnh viễn) để gắn vì loại này làm cầu răng khó khít sát hoàn toàn và không thể lấy ra trong tương lai. Do đó cầu implant có thể được gắn “vĩnh viễn” với xi măng gắn tạm miễn là chúng chứng minh được sự lưu giữ tốt và ổn định khi thử.
Khi cầu răng hoàn thành, chúng ta sẽ thận trọng gắn tạm nó để cho phép bệnh nhân “sống cùng” cầu răng trong một thời gian ngắn và kiểm tra đường viền, hình dạng, và phát âm trước khi gắn kết thúc. Xi măng gắn tạm là tất cả những gì chúng ta cần. Gắn tạm cũng cho phép nướu thích nghi với các đường viền mới và sẽ làm cho việc gắn kết thúc dễ dàng hơn, ví như cầu răng sẽ không bị cản trở khi gắn do nướu vùng cổ quá chặt.
Trước khi gắn kết kết thúc các vít abutment được kiểm tra độ chặt và các lỗ vít được che bằng gòn. Xi măng gắn được trộn và đặt trong cầu răng, chỉ cần đặt một lớp mỏng, xi măng dư sẽ ít và dễ làm sạch. Nếu loại xi măng cứng như phosphate kẽm được chọn. Nếu xi măng gắn kết thúc như kẽm phosphate được chọn thì không nên trộn xi măng có độ nhớt cao nếu không cầu răng sẽ không xuống sát hoàn toàn. Đường hoàn tất phải được kiểm tra kỹ lưỡng để chắc chắn xi măng dư được lấy hết. Khớp cắn phải được kiểm tra lại sau khi gắn xi măng.
Sau khi hoàn thành, chụp phim quanh chóp tất cả các implant để xác nhận đã gắn khít sát và làm một hướng dẫn sau này cho việc đánh giá mức độ xương viền.

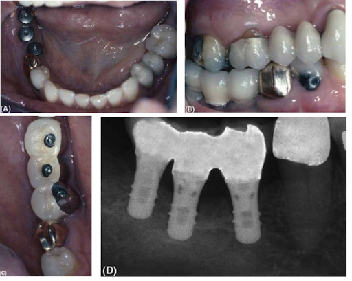
Một cầu răng sau nâng đỡ bởi implant Straumann: (A) Ba abutment lành thương có thể nhìn thấy. (B) Cầu răng hoàn thành. (C) Nhìn từ mặt nhai-vít được sử dụng. (D) Phim quanh chóp chụp khi kết thúc điều trị.
Nếu gắn cầu răng bằng xi măng, xi măng dư cũng cần được kiểm tra.
Nguồn: Implant trong thực hành Nha khoa – Richard D. Palmer/Nhóm dịch Saigon Young Dentists Việt Nam

