Siêu âm tim trong tách thành động mạch chủ
Tách thành động mạch chủ là tình trạng cấp cứu, do rách lớp nội mạc tạo thông nối hay khối máu tụ giữa lớp nội mạc và lớp giữa của thành động mạch chủ. Các biến chứng khác bao gồm: tràn máu, chèn ép tim, hở van động mạch chủ, hội chứng giảm tưới máu phần gần và xa.
1. Định nghĩa
Nội dung bài viết
Là tình trạng cấp cứu, do rách lớp nội mạc tạo thông nối hay khối máu tụ giữa lớp nội mạc và lớp giữa của thành động mạch chủ, hình thành lòng thật và lòng giả. Gọi là cấp tính nếu xuất hiện <14 ngày; bán cấp nếu 15-90 ngày và mạn tính nếu >90 ngày.
Phần lớn trường hợp lóc tách khởi phát từ sự rách lớp áo trong (nội mạc) dẫn đường cho máu đi vào lớp áo giữa gây lóc tách, lóc tách có thể đi ngược chiều hoặc xuôi chiều, có thể làm vỡ động mạch chủ nếu phá vỡ lớp áo ngoài hoặc lóc tách vào lại lòng mạch thông qua một chỗ rách nội mạc thứ 2. Các biến chứng khác bao gồm: tràn máu, chèn ép tim, hở van động mạch chủ, hội chứng giảm tưới máu phần gần và xa.
2. Phân loại
2.1 Phân loại DeBakey:
- Loại I (50% lóc tách): Tồn thương lóc tách này bắt đầu từ động mạch chủ lên và kéo dài ít nhất đến quai động mạch chủ và đôi khi vượt quá quai động mạch chủ.
- Loại II (35%): Tổn thương lóc tách thành động mạch chủ bắt đầu và nằm trong động mạch chủ lên (gần với thân động mạch cách tay đầu hoặc động mạch vô danh).
- Loại III (15%): Lóc tách bắt đầu từ động mạch chủ xuống ngay dưới chỗ xuất phát của động mạch dưới đòn trái và có thể kéo dài xuống phía dưới, một số ít trường hợp tiến triển lan về phía đầu gần. Lóc tách loại IIIa bắt đầu từ dưới chỗ chia nhánh động mạch dưới đòn và tổn thương chỉ ở động mạch chủ ngực. Tách động mạch chủ loại IIIb bắt đầu từ dưới chỗ chia ra động mạch dưới đòn trái và kéo dài xuống dưới cơ hoành.
2.2 Phân loại Stanford
- Stanford Type A: Tổn thương có liên quan đến ĐMC lên và cung ĐMC và có thể / không liên quan ĐMC xuống.
- Stanford Type B: Tổn thương liên quan đến ĐMC xuống phía xa của động mạch dưới đòn trái.
Phân loại Stanford đã thay thế phân loại DeBakey.
Phương thức điều trị của 2 nhóm rất khác nhau:
- Stanford Type A: điều trị ngoại khoa hoặc can thiệp nội mạch .
- Stanford Type B : điều trị nội khoa ( nếu không phức tạp).
3. Nguyên nhân
- Lóc tách thường ở vị trí phình và do đó các yếu tố nguy cơ gây phình và lóc tách tương tự nhau, ví dụ: cao tuổi, tăng huyết áp, bệnh van động mạch chủ 2 mảnh, hội chứng Marfan, tiền sử gia đình phình động mạch chủ ngực hay lóc tách. Tuy nhiên, lóc tách có thể xảy ra những đoạn động mạch chủ không phình.
- Những thủ thuật liên quan đến động mạch chủ như thông tim, bóng đối xung trong động mạch chủ, phẫu thuật tim.
- Cocain có thể khởi phát lóc tách.
- Tổn thương động mạch chủ do chấn thương điển hình có thể gây đứt ngang dẫn đến lóc tách.
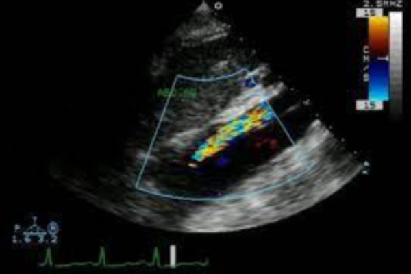
4. Siêu âm tim trong tách thành động mạch chủ
Siêu âm qua thực quản cho phép phát hiện vết rách nội mạc động mạch chủ với độ chính xác rất cao (độ nhạy 99%, độ đặc hiệu 98%). Siêu âm qua thực quản để phát hiện những dấu hiệu sau:
4.1 Các dấu hiệu chính
- Có vết rách nội mạc ở các vị trí sau:
- ĐM chủ lên (trục dọc qua van ĐM chủ ở vị trí 120° mức giữa thực quản giữa, trục ngắn qua ĐM chủ lên ở 0° mức giữa thực quản).
- ĐM chủ xuống (trục ngắn qua ĐM chủ xuống ở vị trí 0°, trục dọc qua ĐM chủ xuống ở 90°).
- Quai ĐM chủ (trục dọc qua quai ĐM chủ ở vị trí 0 o , trục ngắn qua quai ĐM chủ ở vị trí 90 o trên thực quản).
- Có tách/ép vào các động mạch vành hay không (trục ngắn qua ĐM chủ lên ở vị trí 0° mức giữa thực quản).
- Mức độ hở van ĐM chủ, đường kính vòng van, các lá van (trục dọc qua van ĐM chủ ở vị trí 120° mức giữa thực quản).
- Vị trí của vết rách, tính chất dòng màu để xác định lòng thật và lòng giả. Tách thành ĐM chủ và liên quan với các cơ quan xung quanh .
- Huyết khối hoặc âm cuộn tự nhiên trong lòng giả.
- Lưu ý: Cần kiểm soát huyết áp tốt trước khi tiến hành siêu âm qua thực quản, và nên dùng thuốc gây mê để tránh tình trạng kích thích làm huyết áp tăng thêm.

4.2 Những điểm cần chú ý
- Điểm mù (vùng không quan sát được) ở đoạn đầu của quai ĐM chủ .
- Nhiễu trong lòng ĐM chủ , đặc biệt trong trường hợp ĐM chủ giãn lớn – các hình ảnh nhiễu này đặc trưng bởi hình ảnh c ác vệt nằm song song với thành ĐM chủ , vận tốc dòng máu ở hai bên vệt này tương tự nhau, và dòng màu trùm lên vệt nhiễu.
- Nếu kết quả siêu âm thực quản không rõ ràng, cần sử dụng một phương pháp chẩn đoán hình ảnh khác như chụp cắt lớp vi tính hoặc cộng hưởng từ.
4.3 Huyết khối trong thành động mạch chủ
Huyết khối trong thành ĐM chủ: Khi thành ĐM chủ dày >7 mm có kèm hoặc không kèm một khoảng khác biệt âm trong thành ĐM chủ nên khảo sát kỹ để xác định tình trạng huyết khối. Việc phân biệt huyết khối trong thành ĐM chủ với mảng xơ vữa hoặc loét xuyên thành ĐM chủ đôi khi tương đối khó khăn, và khi đó cần chỉ định thêm các phương pháp chẩn đoán hình ảnh khác.
Chẩn đoán huyết khối trong thành ĐM chủ:
- Thành ĐM chủ dày khu trú thành khối hoặc bao quanh thành mạch từ 7 mm trở lên.
- Vùng dày kéo dài từ 1 – 20 cm .
- Không có vết rách nội mạc hoặc dòng màu Doppler bên trong vùng dày thành ĐM chủ
>>> Có thể bạn quan tâm: Siêu âm tim qua thực quản

