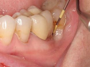
Nạo lợi bằng phương pháp sử dụng đầu siêu âm
Nạo lợi là một quá trình quan trọng trong việc duy trì sức khỏe răng miệng. Các túi quanh răng và mảng bám và vi khuẩn trong răng miệng có thể gây ra nhiều vấn đề sức khỏe răng miệng, bao gồm viêm nướu, sâu răng và mất răng. Trong những năm gần đây, phương pháp sử dụng đầu siêu âm trong nạo lợi đã trở thành một trong những phương pháp tiên tiến nhất và phổ biến nhất để loại bỏ các túi quanh răng và mảng bám và vi khuẩn trong răng miệng. Trong bài viết này, ta sẽ tìm hiểu chi tiết về phương pháp sử dụng sóng siêu âm trong nạo lợi.
1. Cơ chế phương pháp sử dụng đầu siêu âm trong nạo lợi.
Nội dung bài viết
Phương pháp sử dụng đầu siêu âm trong nạo lợi là một phương pháp hiệu quả để loại bỏ các túi quanh răng và mảng bám và vi khuẩn trong răng miệng. Đầu siêu âm được sử dụng để tạo ra sóng âm cao tần và đẩy các tế bào chết, mảng bám và vi khuẩn ra khỏi các túi quanh răng.
Cơ chế hoạt động của đầu siêu âm trong nạo lợi là sự kết hợp giữa sóng âm và áp lực nước. Khi đầu siêu âm được đặt vào các túi quanh răng, sóng âm được tạo ra bởi đầu siêu âm sẽ thâm nhập vào các túi quanh răng và tạo ra áp lực nước. Áp lực nước này sẽ giúp loại bỏ các tế bào chết, mảng bám và vi khuẩn từ các túi quanh răng và đẩy chúng ra khỏi răng miệng.
Đầu siêu âm cũng có khả năng loại bỏ mảng bám và vi khuẩn trên bề mặt răng và các kẽ răng. Sóng âm tạo ra các rung động nhỏ trên bề mặt răng, giúp loại bỏ các mảng bám và vi khuẩn một cách hiệu quả. Để đạt được kết quả tốt nhất, nha sĩ cần phải có kỹ thuật và kinh nghiệm trong việc sử dụng đầu siêu âm để nạo lợi.

2. Ưu điểm của phương pháp sử dụng đầu siêu âm trong nạo lợi.
2.1. GIẢM ĐAU ĐỚN VÀ TỔN THƯƠNG CHO CÁC MÔ XUNG QUANH:
So với các phương pháp nạo lợi truyền thống, sử dụng đầu siêu âm thường gây ra ít đau đớn hơn và không gây tổn thương cho các mô xung quanh. Điều này đặc biệt quan trọng đối với bệnh nhân có dị ứng với cấy ghép xương và các phương pháp nạo lợi khác.
2.2. HIỆU QUẢ TRONG LOẠI BỎ CÁC MẢNG BÁM VÀ VI KHUẨN:
Đầu siêu âm có khả năng loại bỏ các mảng bám và vi khuẩn trên bề mặt răng và các kẽ răng một cách hiệu quả. Điều này làm giảm nguy cơ viêm nướu, sâu răng và mất răng trong tương lai.
2.3. GIÚP BỆNH NHÂN TIẾT KIỆM THỜI GIAN:
Phương pháp sử dụng đầu siêu âm thường nhanh hơn và hiệu quả hơn so với các phương pháp nạo lợi truyền thống. Điều này giúp bệnh nhân tiết kiệm thời gian và giảm thiểu sự khó chịu trong quá trình điều trị.
2.4. GIẢM NGUY CƠ NHIỄM TRÙNG:
Khi sử dụng đầu siêu âm, bác sĩ có thể dễ dàng kiểm soát lượng máu và nước bọt trong miệng của bệnh nhân. Điều này giúp giảm nguy cơ nhiễm trùng và phòng ngừa các vấn đề liên quan đến nhiễm trùng.
2.5. TIẾT KIỆM CHI PHÍ:
So với các phương pháp nạo lợi truyền thống, sử dụng đầu siêu âm thường có chi phí thấp hơn và hiệu quả hơn. Điều này đặc biệt quan trọng đối với bệnh nhân không có bảo hiểm y tế hoặc bị giới hạn về tài chính.
3. Hạn chế của phương pháp sử dụng đầu siêu âm trong nạo lợi.
3.1. KHÔNG PHÙ HỢP VỚI TÌNH TRẠNG TÚI QUANH RĂNG NẶNG:
Đầu siêu âm thường không hiệu quả trong việc loại bỏ các mảng bám và vi khuẩn trong các túi quanh răng sâu và rộng. Vì vậy, nha sĩ thường không được sử dụng trong các trường hợp này.
3.2. CÓ THỂ GÂY TỔN THƯƠNG CHO RĂNG VÀ NƯỚU:
Nếu không được sử dụng đúng kỹ thuật, đầu siêu âm có thể gây tổn thương cho răng và nướu của bệnh nhân. Điều này đặc biệt quan trọng đối với bệnh nhân có răng và nướu nhạy cảm, hoặc bị suy giảm độ dẻo dai của răng và nướu.
3.3. CÓ THỂ GÂY RA TIẾNG ỒN VÀ RUNG ĐỘNG:
Thiết bị thường tạo ra tiếng ồn và rung động trong quá trình sử dụng. Điều này có thể gây khó chịu cho bệnh nhân và nhân viên y tế trong quá trình điều trị.
3.4. CHI PHÍ ĐẦU TƯ BAN ĐẦU CAO:
Đầu siêu âm là một thiết bị y tế đắt tiền, do đó, việc đầu tư ban đầu cho phương pháp sử dụng đầu siêu âm trong nạo lợi có thể là một thách thức đối với các phòng khám nhỏ và các nha sĩ mới bắt đầu.
3.5. YÊU CẦU KỸ NĂNG VÀ KINH NGHIỆM CỦA NHA SĨ:
Để sử dụng đầu siêu âm hiệu quả trong nạo lợi, nha sĩ cần phải có kỹ năng và kinh nghiệm đầy đủ. Nếu không được sử dụng đúng kỹ thuật, đầu siêu âm có thể gây tổn thương cho bệnh nhân.
Tóm lại, phương pháp sử dụng đầu siêu âm trong nạo lợi có những hạn chế nhất định, và bệnh nhân nên tham khảo ý kiến của nha sĩ để lựa chọn phương pháp nạo túi lợi phù hợp nhất cho trường hợp của mình.
4. Kết luận.
Nạo lợi bằng phương pháp sử dụng đầu siêu âm là một phương pháp tiên tiến và hiệu quả trong điều trị các bệnh lý nướu và răng miệng. Phương pháp này giúp loại bỏ các mảng bám và vi khuẩn trên bề mặt răng và kẽ răng một cách hiệu quả, giảm đau đớn và tổn thương cho các mô xung quanh, giảm nguy cơ nhiễm trùng và tiết kiệm thời gian và chi phí cho bệnh nhân.
Tuy nhiên, phương pháp nàycũng có những hạn chế như không phù hợp với tình trạng túi quanh răng nặng, có thể gây tổn thương cho răng và nướu, có thể gây ra tiếng ồn và rung động, chi phí đầu tư ban đầu cao và yêu cầu kỹ năng và kinh nghiệm của nha sĩ.
Do đó, việc lựa chọn phương pháp nạo lợi phù hợp nhất cho trường hợp của mỗi bệnh nhân là rất quan trọng. Nếu bệnh nhân quyết định sử dụng phương pháp này trong nạo lợi, họ nên tìm kiếm nha sĩ có kinh nghiệm và được đào tạo đầy đủ để đảm bảo an toàn và hiệu quả trong quá trình điều trị.
Tổng kết lại, nạo lợi bằng phương pháp sử dụng đầu siêu âm là một phương pháp điều trị nha khoa tiên tiến và hiệu quả, nhưng cần được áp dụng đúng kỹ thuật và được thực hiện bởi nha sĩ có kinh nghiệm. Việc duy trì vệ sinh răng miệng định kỳ và chăm sóc nướu răng đúng cách cũng rất quan trọng để duy trì sức khỏe răng miệng tốt.

