Biến chứng trước và trong giai đoạn phục hình trên Implant
Bài viết này nói về những biến chứng có thể gặp phải trước và trong giai đoạn phục hình trên Implant. Nha sĩ cần nắm rõ những biến chứng có thể xảy ra trên lâm sàng, nhằm có một thái độ nhìn nhận sâu sắc và xử trí tích cực đối với trường hợp như trên. Cùng tìm hiểu thêm về vấn đề này.
1. Biến chứng trước giai đoạn phục hình
Nội dung bài viết
1.1. Đặt implant ở vị trí ngoài ý muốn
Implant có thể vô tình bị đặt ở vị trí lệch theo chiều ngoài-trong, gần-xa, góc độ hoặc chiều dài không đúng dự kiến trước giai đoạn phục hình. Những tình huống như vậy sẽ được hạn chế nếu sử dụng máng hướng dẫn phẫu thuật, tuy nhiên vẫn có thể xảy ra ngay cả khi đã sử dụng máng nếu có bất thường trong quá trình phẫu thuật. Đặt implant không song song thường gặp ở những bệnh nhân sau phẫu thuật điều trị ung thư, khi mà lượng xương phù hợp còn lại đóng vai trò quyết định.
Những thay đổi nhỏ do vị trí và góc độ ngoài dự kiến của implant có thể được điều chỉnh trên hàm phủ, mặc dù có thể phải sử dụng cơ chế khóa cài khác, chẳng hạn như dùng khóa cài bị ngắn hơn hoặc Locator. Tất cả các hãng sản xuất đều có nhiều lựa chọn kích thước khác nhau.

Implant được đặt lệch ngoài quá nhiều. Điều này sẽ làm các thành phần phục hình không được nằm trong phần dày nhất của hàm giả, dẫn tới lộ ra ngoài, hoặc gãy phần nhựa mỏng phủ ở trên.
Lệch lạc về vị trí implant so với dự kiến sẽ tạo ra đường viền bất thường ở hàm phủ sau cùng. Điều này gây khó chịu cho bệnh nhân, có thể dẫn đến khó phát âm, hay thậm chí gây tăng sinh mô mềm.

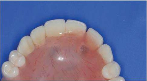
Implant được đặt trên phần xương ghép. Implant bên trái được đặt trên nền xương đầy đủ nhưng ở vùng niêm mạc không sừng hóa, điều này sẽ dẫn đến viêm niêm mạc.

Hàm giả toàn bộ có nền hàm không tốt. Vị trí cắm implant lệch về phía khẩu cái khiến cho nền hàm phải phồng lên để đảm bảo nhựa được phủ lên tất cả các thành phần phục hình.
Khi implant đặt quá sát bề mặt, khoảng hở quá thấp sẽ không đủ chỗ cho các thành phần phục hình được lưu giữ trong giới hạn đường viền bình thường của hàm giả dự kiến. Ngay cả khi có lượng nhựa đầy đủ và đã dự trù hệ thống thanh/nẹp, thì kết quả thanh nối vẫn cách niêm mạc vài milimet.

Đặt implant lệch về phía ngoài nên cần phải hàn thanh nối vào mặt trong của trụ hợp kim vàng để đảm bảo nẹp liên kết nằm trong phần dày nhất của hàm giả.
Dù cho điều này chỉ quan trọng khi sử dụng implant ngắn và lực đòn bẩy gia tăng khi chịu tải, lượng khoảng chết vẫn nhiều và có thể dẫn tới tăng sinh mô mềm bên dưới thanh nối. Ở vị trí những implant được đặt quá gần nhau, không đủ khoảng cho các nẹp giữa chúng. Những trường hợp như vậy, phần nhịp kéo dài là cần thiết nhưng các thanh nẹp có khả năng sẽ gãy hoặc bị kéo ra khỏi nhựa.
1.2. Không tích hợp xương một hay nhiều implant trước giai đoạn phục hình
Một hay nhiều implant có thể không tích hợp xương trước khi bắt đầu làm hàm phủ, làm cho sự phân bố những implant còn lại không thuận lợi. Ở hàm trên, khuyến cáo thông thường là nên đặt tối thiểu 4 implant. Nếu một hay hai implant thất bại, vẫn có thể làm được hàm phủ, nhưng sẽ tăng nguy cơ quá tải lực, đặc biệt ở những vị trí có răng đối diện hàm dưới. Nếu những implant còn lại ở một phía, độ vững ổn của hàm phủ sẽ giảm sút.

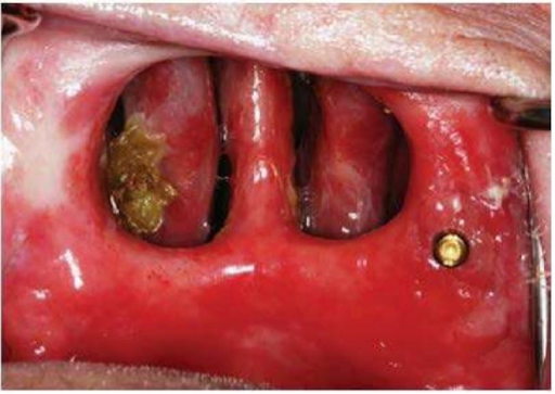
Implant ở vùng răng cối nhỏ hàm trên bên phải thất bại, còn lại duy nhất một implant ở vùng răng cối nhỏ bên trái với một abutment Locator. Màng bịt hàm trên vẫn tương đối ổn định
Trong những trường hợp này, nên đặt thêm implant để đạt được phân bố implant như dự kiến. Có thể làm hàm giả chuyển tiếp nhưng nguy cơ quá tải lực lên các implant còn lại cần phải được suy tính kỹ.
1.3. Ghép xương thất bại, không thể đặt được implant trước giai đoạn phục hình
Nếu điều này xảy ra, có thể phải thực hiện lại thủ thuật, nhưng theo kinh nghiệm của chúng tôi, bệnh nhân thường quyết định làm hàm giả truyền thống. Thường cần phải làm một hàm giả mới bởi vì chắc chắn sẽ có những thay đổi về đường viền của sống hàm còn lại sau phẫu thuật và, khó giải thích hơn là bởi vì thay đổi độ đàn hồi của các ngách do sẹo.
2. Biến chứng trong giai đoạn phục hình
2.1. Gãy hàm giả sau khi mài nhựa gây lỏng trụ lành thương Implant
Biến chứng bao gồm gãy hàm giả cũ sau khi mài bớt nhựa để đệm lớp lót mềm tạm thời (the temporary soft lining), và gây hư hỏng, làm lỏng lẻo trụ lành thương của implant.

Khóa cài Clix màu vàng vẫn còn tốt, còn khóa Clix màu đỏ bị hư cả phần dương plastic lẫn housing kim loại
Hàm giả cũ bằng Crom- Cobalt, ngay cả khi đã mài bớt rất nhiều, vẫn rất cứng so với trụ lành thương, các khóa cài hình bị, hay các abutment tiêu chuẩn nằm trong miệng trong suốt giai đoạn phục hình. Tốt hơn là hàm giả nên làm bằng nhựa, đặc biệt là vì các vật liệu đệm hàm mềm sẽ dính chặt hơn.
Các răng đối diện có thể gây hư hỏng cho các trụ lành thương, các abutment tiêu chuẩn hay các khóa cài hình bi, đặc biệt khi cắn, nhai trượt qua lại. Khả năng này phải được lưu ý trong suốt giai đoạn lập kế hoạch điều trị, thậm chí đối với việc mở rộng thay đổi hệ thống lưu để cho các tiếp xúc đó nằm thẳng góc trên một mặt phẳng cách xa đầu vít. Những chỗ không thể tránh được các khóa cài dạng bi, có thể làm dụng cụ bảo vệ hàm bằng nhựa mềm để mang ban đêm.
Nếu sử dụng hệ thống thanh/nẹp đúc, người ta khuyên nên thử trong miệng trước khi hoàn tất hàm giả. Nếu thanh nối không vừa, nên kiểm tra lại mẫu hàm làm việc. Nếu vẫn không vừa trên mẫu hàm, nên cắt và hàn lại, hoặc đúc lại, trước khi thử lại trong miệng một lần nữa. Nếu thanh nối vừa trên mẫu hàm nhưng không vừa trong miệng, có thể mẫu hàm bị lỗi và cần phải lấy dấu lại.
2.1. Hàm giả không thể gắn vừa trên các khóa cài dạng bi
Nếu một trong các bản sao (analogue) không gắn vừa với dấu, thì mẫu làm việc bị lỗi có thể là nguyên nhân làm hàm giả không gắn được.

Bản sao Locator ở vùng răng nanh trên bị dịch chuyển vị trí, lỗi có thể xảy ra khi gắn bản sao vào coping hay bản sao bị dịch chuyển khi đổ mẫu
Trong những trường hợp như vậy, tháo ổ chứa và thực hiện đệm nhựa tự cứng ngay trong miệng để hàm giả có thể lưu giữ được.
Nguồn: Implant trong thực hành Nha khoa – Richard D.Palmer/Nhóm dịch Saigon Young Dentists Việt Nam

