Vai trò của hình ảnh học trong điều trị bảo tồn vỡ lách do chấn thương bụng kín: Nhân một trường hợp vỡ lách độ III theo AAST – OIS 2018
Tóm tắt
Giới thiệu: Lách là cơ quan đặc có tỷ lệ tổn thương cao nhất trong các trường hợp chấn thương bụng kín. Trong vài thập kỷ gần đây, đã có sự chuyển biến rõ rệt theo hướng điều trị bảo tồn trong xử trí chấn thương lách, với mục tiêu ưu tiên bảo tồn chức năng của lách. Hiện nay, phương pháp điều trị không phẫu thuật (Nonoperative Management – NOM) đã trở thành tiêu chuẩn trong xử trí cho các bệnh nhân chấn thương lách có huyết động ổn định. Việc chẩn đoán và phân độ tổn thương lách bằng hình ảnh học, chủ yếu là cắt lớp vi tính bụng (CLVT), đóng vai trò quyết định trong lựa chọn phương pháp điều trị, đặc biệt là xu hướng điều trị bảo tồn ngày càng được áp dụng rộng rãi.
Trường hợp lâm sàng: Chúng tôi báo cáo một trường hợp bệnh nhân nam 24 tuổi, quốc tịch Ả Rập Xê – Út bị chấn thương bụng kín do tai nạn giao thông. CLVT có cản quang cho thấy hình ảnh vỡ lách độ III theo phân loại AAST – OIS, không có dấu hiệu chảy máu đang hoạt động hoặc tổn thương các cơ quan khác. Bệnh nhân được điều trị bảo tồn thành công dưới theo dõi lâm sàng và hình ảnh học.
Kết luận: Hình ảnh học, đặc biệt là CLVT bụng có thuốc cản quang phối hợp siêu âm bụng, đóng vai trò then chốt trong đánh giá mức độ tổn thương lách và theo dõi hiệu quả điều trị bảo tồn. Qua đó giúp giảm thiểu phẫu thuật không cần thiết, bảo tồn chức năng miễn dịch của lách và cải thiện tiên lượng bệnh nhân.
I. Đặt vấn đề
Nội dung bài viết
Lách là tạng đặc, có vỏ bao, có tỷ lệ tổn thương cao nhất trong những trường hợp chấn thương bụng kín; vỡ lách gây chảy máu trong ổ bụng, nếu không được chẩn đoán và điều trị kịp thời dễ dẫn đến tử vong (1). Kể từ khi Reigner báo cáo ca cắt lách đầu tiên để điều trị vỡ lách do chấn thương bụng kín vào năm 1893, phương pháp này đã trở thành tiêu chuẩn cho việc điều trị trên thế giới (2). Hiện nay, phương pháp điều trị không phẫu thuật (Nonoperative Management – NOM) đã trở thành tiêu chuẩn trong xử trí cho các bệnh nhân chấn thương lách có huyết động ổn định.
Hình ảnh học giúp đánh giá chính xác độ nặng tổn thương, phân loại và theo dõi tiến triển. Trong khi CLVT là phương tiện chẩn đoán lý tưởng đối với những bệnh nhân nghi ngờ có tổn thương trong ổ bụng và có huyết động ổn định, thì siêu âm FAST mở rộng (EFAST – Extended Focused Assessment with Sonography for Trauma) thường được sử dụng như một công cụ sàng lọc ban đầu cho tất cả bệnh nhân sau chấn thương bụng, đặc biệt là những trường hợp huyết động không ổn định, không thể thực hiện cắt lớp vi tính. EFAST cho phép đánh giá nhanh nhiều tình trạng bệnh lý có thể gây mất ổn định huyết động, bao gồm: tràn máu phúc mạc, tràn máu màng tim, tràn máu màng phổi và tràn khí màng phổi (3).
II. Trường hợp lâm sàng
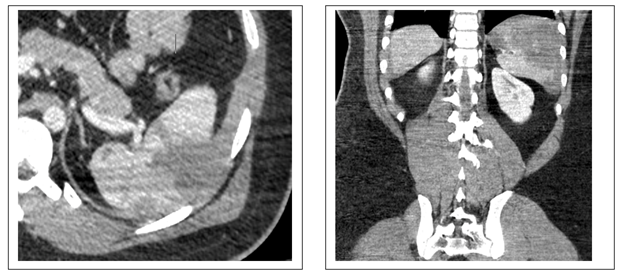
Bệnh nhân nam, 24 tuổi, quốc tịch Ả Rập Xê – Út, vào viện vì tai nan giao thông. Bệnh tỉnh, da niêm hồng nhạt, than đau vùng hạ sườn trái. Sinh hiệu thời điểm vào phòng cấp cứu cho thấy huyết áp 128/75 mmHg, nhịp mạch 75 lần/phút, nhịp thở 19 lần/ phút. Bởi vì huyết động ổn định, bệnh nhân được thực hiện cắt lớp vi tính bụng có thuốc tương phản. Trên hình ảnh CLVT ghi nhận vài đường rách nhu mô có độ sâu > 3cm, tụ máu gần hoàn toàn diện tích bề mặt, không thấy thuốc mạch thuốc cản quang và tổn thương mạch máu rốn lách. Đồng thời, hiện diện ít dịch quanh gan, dọc rãnh đại tràng hai bên. Các cơ quan khác không quan sát thấy tổn thương. Bệnh nhân được theo dõi bằng siêu âm bụng vào thời điểm sau 24h và 05 ngày sau chụp CLVT. Tổn thương nhu mô lách và tụ máu dưới bao ổn định, dịch ổ bụng giảm rõ rệt ở ngày thứ 05. Sau đó, bệnh được xuất viện sau 07 ngày điều trị.

Cắt lớp vi tính bụng có thuốc cản quang thì tĩnh mạch thời điểm nhập viện
Hình (a): rách nhu mô lách, tụ máu trong nhu mô
Hình (b): Tụ máu bề mặt lách

Siêu âm 2D lách sau 24h
Hình (c): rách nhu mô lách, tụ ít dịch quanh lách
Hình (d): Tụ máu quanh bề mặt lách
III. Bàn luận
Lách là cơ quan trong ổ bụng dễ bị tổn thương nhất trong các trường hợp chấn thương bụng kín, chiếm khoảng một phần ba tổng số tổn thương tạng bụng. Do nguy cơ nhiễm trùng sau cắt lách, việc bảo tồn lách hiện được xem là tiêu chuẩn trong xử trí (4). Có tới 90% các trường hợp vỡ lách đơn thuần được điều trị không phẫu thuật, và tới 80% các tổn thương lách nặng có thể được xử trí hiệu quả bằng phương pháp nút mạch (5). Nguyên nhân thường gặp nhất gây chấn thương lách là tai nạn giao thông, đặc biệt là va chạm ô tô và tai nạn người đi bộ. Ngoài ra, tai nạn xe máy, chấn thương khi chơi thể thao, thương tích do súng hoặc dao và hành hung cũng là những nguyên nhân phổ biến ở người lớn (3).
Phân độ tổn thương lách theo AAST- OIS 2018:
Độ I: Tổn thương bao gồm tụ máu dưới bao lách chiếm dưới 10% diện tích bề mặt hoặc rách bao lách với độ sâu dưới 1 cm vào nhu mô.
Độ II: Bao gồm tụ máu dưới bao lách chiếm 10%–50% diện tích bề mặt, tụ máu trong nhu mô < 5 cm đường kính, và vết rách bao lách lan vào nhu mô 1–3 cm.
Độ III: Tổn thương bao gồm tụ máu dưới bao lách chiếm > 50% diện tích bề mặt, hoặc tụ máu dưới bao/nhu mô bị vỡ, tụ máu trong nhu mô ≥ 5 cm, hoặc rách bao lách lan vào nhu mô với độ sâu > 3 cm.
Độ IV: Tổn thương bao gồm rách lách có liên quan đến mạch phân thùy hoặc cuống rốn lách, gây ra tình trạng thiếu máu nuôi ≥ 25% nhu mô lách; hoặc bất kỳ tổn thương nào kèm theo tổn thương mạch lách, ví dụ như rò động-tĩnh mạch hoặc túi giả phình; hoặc chảy máu đang hoạt động nhưng vẫn còn nằm trong bao lách.
Độ V: Tổn thương bao gồm lách bị vỡ nát hoàn toàn hoặc bất kỳ tổn thương nào có kèm theo tổn thương mạch máu lách với chảy máu hoạt động lan ra ngoài lách vào khoang phúc mạc.
Điều trị không phẫu thuật được ưu tiên áp dụng trong hầu hết các trường hợp tổn thương lách mức độ nhẹ (độ I–III) và trong một số trường hợp chọn lọc có tổn thương nặng nhưng huyết động ổn định (độ IV và V) (6). Sự hiện diện của chảy máu đang hoạt động là yếu tố tiên lượng quan trọng nhất đối với nguy cơ thất bại của điều trị không phẫu thuật.
Chẩn đoán kịp thời là yếu tố then chốt quyết định hiệu quả điều trị. Các phương tiện chẩn đoán hình ảnh đóng vai trò thiết yếu trong phát hiện vỡ lách và tình trạng tràn máu phúc mạc liên quan. Trong đó, chụp CLVT có tiêm thuốc tương phản là phương pháp được lựa chọn hàng đầu ở những bệnh nhân huyết động ổn định. Siêu âm cũng có giá trị, đặc biệt trong những trường hợp bệnh nhân huyết động không ổn định, nhờ ưu điểm nhanh chóng và dễ tiếp cận. Cộng hưởng từ (MRI) cũng đã được nghiên cứu như một công cụ chẩn đoán trong các tổn thương tạng đặc, bao gồm cả vỡ lách. Mặc dù CLVT vẫn là tiêu chuẩn vàng trong giai đoạn cấp tính nhờ tốc độ nhanh và khả năng phát hiện chảy máu đang hoạt động, MRI lại có độ tương phản mô mềm vượt trội và có thể cung cấp thêm thông tin trong những trường hợp kết quả cắt lớp vi tính không rõ ràng hoặc khi cần hạn chế phơi nhiễm tia xạ, chẳng hạn ở phụ nữ mang thai hoặc những bệnh nhân cần chụp lặp lại. Tuy nhiên, việc ứng dụng MRI trong giai đoạn cấp tính vẫn còn hạn chế do thời gian thu nhận hình ảnh kéo dài, yêu cầu bệnh nhân ổn định và khả năng tiếp cận hạn chế hơn so với CLVT (7).
Trường hợp của chúng tôi, bệnh nhân chấn thương lách độ III theo AAST – OIS 2018 được điều trị bảo tồn, theo dõi diễn tiến và biến chứng bằng siêu âm trong thời gian nằm viện là phù hợp với các hướng dẫn quản lí bệnh nhân vỡ lách do chấn thương bụng kín hiện hành.
IV. Kết luận
CLVT bụng có cản quang phối hợp với siêu âm bụng, đóng vai trò trung tâm trong chẩn đoán, phân độ và theo dõi điều trị bảo tồn vỡ lách. Trường hợp vỡ lách độ III nếu huyết động ổn định và không có chảy máu đang hoạt động hoàn toàn có thể điều trị bảo tồn thành công. Việc phối hợp chặt chẽ giữa lâm sàng và hình ảnh học giúp tối ưu hóa xử trí bệnh nhân chấn thương bụng kín.
Tài liệu tham khảo
- Đáng TV. Nghiên cứu chỉ định và kết quả điều trị bảo tồn vỡ lách do chấn thương bụng kín tại bệnh viện đa khoa tỉnh Bình Dương: Học viện Quân Y; 2010.
- Hennessy PH. The Surgical Aspect of the Ruptured Spleen with Note on Cases. Ind Med Gaz. 1917;52(2):46-53.
- Dixe de Oliveira Santo I, Sailer A, Solomon N, Borse R, Cavallo J, Teitelbaum J, et al. Grading Abdominal Trauma: Changes in and Implications of the Revised 2018 AAST-OIS for the Spleen, Liver, and Kidney. Radiographics. 2023;43(9):e230040.
- Hamilton JD, Kumaravel M, Censullo ML, Cohen AM, Kievlan DS, West OC. Multidetector CT evaluation of active extravasation in blunt abdominal and pelvic trauma patients. Radiographics. 2008;28(6):1603-16.
- Lee JT, Slade E, Uyeda J, Steenburg SD, Chong ST, Tsai R, et al. American Society of Emergency Radiology Multicenter Blunt Splenic Trauma Study: CT and Clinical Findings. Radiology. 2021;299(1):122-30.
- Ruhnke H, Jehs B, Schwarz F, Haerting M, Rippel K, Wudy R, et al. Non-operative management of blunt splenic trauma: The role of splenic artery embolization depending on the severity of parenchymal injury. Eur J Radiol. 2021;137:109578.
- Ben Ismail I, Sghaier M, Zaafouri EB, Rebii S, Helal I, Jouini R, et al. Spontaneous rupture of a normal spleen: A case report and a review of the literature emphasizing diagnostic and surgical challenges. Int J Surg Case Rep. 2024;123:110179.
Tác giả: BSCKII Nguyễn Cảnh Hưng – Bệnh viện Đa Khoa Quốc Tế Vinmec Phú Quốc

