Can thiệp tái thông nhồi máu cơ tim cấp ST chênh lên bằng bóng phủ thuốc ở bệnh nhân có động mạch thủ phạm lớn hơn 3.0 mm: Báo cáo ca lâm sàng và tổng quan y văn
TÓM TẮT
Nhồi máu cơ tim cấp (NMCT) ở người trẻ là một thách thức chẩn đoán và điều trị. Chúng tôi báo cáo một trường hợp lâm sàng về một bệnh nhân nam, 25 tuổi, không có yếu tố nguy cơ tim mạch truyền thống, nhập viện vì triệu chứng không điển hình. Bệnh nhân được chẩn đoán xác định là nhồi máu cơ tim cấp ST chênh lên (STEMI) thành trước do tắc hoàn toàn động mạch liên thất trước (LAD) .Nguyên nhân sâu xa được xác định là bệnh tăng sinh tủy (Myeloproliferative Neoplasm – MPN) có đột biến gen JAK2 V617F. Bệnh nhân đã được can thiệp thành công bằng chiến lược chỉ dùng bóng phủ thuốc (Drug-Coated Balloon – DCB),vào động mạch liên thất trước.
TRÌNH BÀY CA LÂM SÀNG
Nội dung bài viết
Bệnh nhân nam, 25 tuổi, không có tiền sử bệnh tim mạch, không hút thuốc, không uống rượu, không sử dụng chất kích thích.
Bệnh sử:
Ba tuần trước nhập viện, bệnh nhân xuất hiện các đợt đau thượng vị âm ỉ, cảm giác như “ợ nóng”, kéo dài khoảng 5 phút, VAS 3/10. Bệnh nhân cũng ghi nhận khả năng gắng sức giảm dần (chỉ có thể chơi bóng đá 30-45 phút so với 90 phút như bình thường). Hai tuần trước nhập viện, bệnh nhân có hội chứng giả cúm (đau họng, mệt mỏi, đau cơ).
Bốn giờ trước nhập viện, bệnh nhân đột ngột đau dữ dội vùng thượng vị, VAS 5/10, lan lên hàm, cảm giác thắt chặt, nóng rát sau xương ức. Bệnh nhân đến khám tại phòng khám Tiêu hóa.
Diễn tiến chẩn đoán và điều trị:
Tại phòng khám Tiêu hóa, bác sĩ xem lại hồ sơ cũ 1 năm trước, ghi nhận ECG có “hình ảnh thiếu máu cơ tim” không đặc hiệu. Bệnh nhân được chỉ định xét nghiệm men tim, kết quả Troponin T hs (0h) là 146 ng/L (bình thường < 14). Bệnh nhân được chuyển ngay đến phòng khám Tim mạch.
Tại phòng khám Tim mạch, ECG lần 1 (Hình 1) ghi nhận nhịp xoang, không có biến đổi ST-T rõ ràng. Chẩn đoán ban đầu nghi ngờ Viêm cơ tim cấp. Tuy nhiên, siêu âm tim tại giường cho thấy chức năng tâm thu thất trái trong giới hạn nhưng thấp hơn so với đối tượng bệnh nhân trẻ tuổi khác (LVEF 52%), rối loạn vận động vùng thành trước, vách liên thất (nghi ngờ do tắc động mạch liên thất trước – LAD vùng chi phối cấp máu cho vùng cơ tim vận động bất thường).
Sau 20 phút, bệnh nhân được ghi lại ECG lần 2 (Hình 2), xuất hiện ST chênh lên rõ ở các Code STEMI” được kích hoạt.
Kết quả cận lâm sàng:
- Công thức máu: Bạch cầu 12.9 G/L (NEU 73%), Tiểu cầu 620 G/L.
- Pro-BNP: 350 pg/mL.
- Các xét nghiệm khác trong giới hạn bình thường. Test hơi thở H. Pylori (+).
Can thiệp động mạch vành:
Bệnh nhân được chuyển đến phòng thông tim. Chụp động mạch vành qua da (sau 2 giờ kể từ lúc chẩn đoán) cho thấy:
- Tắc hoàn toàn đoạn 2 động mạch liên thất trước (LAD).
- Bóc tách động mạch vành tự phát (SCAD) đoạn 2-3 động mạch vành phải (RCA), không gây hẹp đáng kể.
- Tuần hoàn bàng hệ từ RCA cấp máu cho vùng LAD.
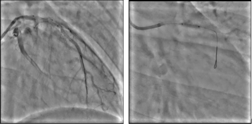
Xác định LAD là động mạch thủ phạm, kết quả IVUS xác nhận đường kính tham chiếu của mạch máu lớn (reference vessel diameter > 3.5 mm), gánh nặng mảng xơ vữa không quá lớn, và quan trọng là không có tình trạng vôi hóa nặng hay mảng bóc tách phức tạp sau khi nong bóng chuẩn bị. Những phát hiện này khẳng định đây là một tổn thương phù hợp lý tưởng cho chiến lược can thiệp chỉ bằng bóng phủ thuốc. Sau khi hút huyết khối, đội ngũ can thiệp quyết định sử dụng bóng phủ thuốc (DCB) kích thước 3.5x20mm để tái thông. Kết quả sau can thiệp cho thấy dòng chảy TIMI 3, mạch máu tái thông tốt, không bóc tách, không hẹp tồn lưu.

Hình ảnh 2a và 2b: Động mạch vành liên thất trước LAD sau khi tái thông, hút huyết khối. Hình ảnh sử dụng bóng phủ thuốc (DCB) kích thước 3.5x20mm để tái thông.
Theo dõi và chẩn đoán nguyên nhân:
Sau can thiệp, bệnh nhân ổn định, hết đau ngực. Để tìm nguyên nhân gây huyết khối và SCAD ở bệnh nhân trẻ, các xét nghiệm chuyên sâu được thực hiện:
- Tủy đồ và sinh thiết tủy xương: Chẩn đoán xác định bệnh tăng sinh tủy (MPN).
- Xét nghiệm di truyền: Phát hiện đột biến JAK2 V617F (+).
- Bộ xét nghiệm hội chứng Antiphospholipid: Lupus anticoagulant (+).
Bệnh nhân được chẩn đoán cuối cùng là STEMI do huyết khối trên nền bệnh tăng sinh tủy có đột biến JAK2 V617F và SCAD đi kèm. Bệnh nhân được điều trị lâu dài với Hydroxyurea 15mg/kg/ngày, Aspirin 81mg/ngày, Ticagrelor 90mg x 2 lần/ngày, và Statin liều cao.
BÀN LUẬN
Ca lâm sàng này đặt ra nhiều vấn đề quan trọng, từ chẩn đoán ở người trẻ đến việc lựa chọn chiến lược can thiệp tiên tiến.
- Thách thức chẩn đoán và nguyên nhân NMCT ở người trẻ: Triệu chứng đau thượng vị không điển hình ở bệnh nhân trẻ không có yếu tố nguy cơ là một “cái bẫy” chẩn đoán. Việc phát hiện tăng tiểu cầu dai dẳng là chìa khóa để tìm ra nguyên nhân nền tảng là bệnh tăng sinh tủy với đột biến JAK2 V617F, một nguyên nhân hiếm gặp gây huyết khối và SCAD [9]. Điều này nhấn mạnh tầm quan trọng của việc tầm soát toàn diện các bệnh lý tăng đông ở bệnh nhân trẻ bị NMCT không do xơ vữa [1].
- Chiến lược DCB cho động mạch vành lớn: Bằng chứng và triển vọng:
Quyết định sử dụng DCB thay vì DES trong trường hợp này là trọng tâm của ca bệnh. Đối với động mạch vành lớn, DES vẫn là tiêu chuẩn, nhưng chiến lược “leave-nothing-behind” của DCB mang lại các lợi ích lý thuyết đáng kể: bảo tồn chức năng vận mạch, tránh các biến chứng liên quan đến stent (gãy stent, tái hẹp), và có khả năng rút ngắn thời gian dùng DAPT, đặc biệt quan trọng ở bệnh nhân trẻ [4, 7].
KẾT LUẬN
Nhồi máu cơ tim cấp ở bệnh nhân trẻ đòi hỏi tư duy chẩn đoán rộng để tìm ra các nguyên nhân tiềm ẩn như bệnh tăng sinh tủy. Đối với các tổn thương mới ở động mạch vành lớn, đặc biệt ở bệnh nhân trẻ tuổi, can thiệp chỉ bằng bóng phủ thuốc là một chiến lược thay thế an toàn, hiệu quả và hấp dẫn so với đặt stent. Thành công của phương pháp này phụ thuộc cốt yếu vào việc chuẩn bị kỹ lưỡng tổn thương, một nguyên lý ngày càng được củng cố bởi các bằng chứng về sinh lý mạch vành như QFR. Cần thêm nhiều nghiên cứu để xác định rõ hơn vị trí của DCB trong thực hành lâm sàng hàng ngày.
TÀI LIỆU THAM KHẢO
- Gulati R, Behfar A, Narula J, et al. Acute Myocardial Infarction in Young Individuals. Mayo Clin Proc. 2020;95(1):136-156.
- Neumann FJ, Sousa-Uva M, Ahlsson A, et al. 2018 ESC/EACTS Guidelines on myocardial revascularization. Eur Heart J. 2019;40(2):87-165.
- Jeger RV, Eccleshall S, Wan Ahmad WA, et al. Drug-coated balloons for coronary artery disease: Third Report of the International DCB Consensus Group. JACC Cardiovasc Interv. 2020;13(12):1391-1402.
- Korjian S, McCarthy KJ, Larnard EA, et al. Drug-Coated Balloons in the Management of Coronary Artery Disease. Circ Cardiovasc Interv. 2024;17(5):e013302.
- Abdelaziz A, Elsayed H, Atta K, et al. Drug-coated balloons versus drug-eluting stents in patients with small coronary artery disease: an updated meta-analysis. BMC Cardiovasc Disord. 2025;25:339.
- Byrne RA, Neumann FJ, Mehilli J, et al. Paclitaxel-eluting balloons, paclitaxel-eluting stents, and balloon angioplasty in patients with restenosis after drug-eluting stents (ISAR-DESIRE 3): a randomised, open-label trial. Lancet. 2013;381(9865):461-467.
- Adjei-Sefah K, Sahyouni M, Stouffer GA. Drug-Coated Balloons for De Novo Lesions in Large Coronary Arteries-Are They Ready for Prime Time?. Cardiovasc Drugs Ther. 2025. doi: 10.1007/s10557-025-07719-9.
Tác giả: TS. BS Đoàn Đức Dũng a , BS. Hoàng Phú Quý b, ThS. BS Lê Thị Hoa a, BS. Trương Lê Hạ Myb , BS. Đoàn Ái Thảo Myb , BS. Lâm Mẫn Nhub.
a Trung tâm tim mạch, Bệnh viện Vinmec Times City, Hà Nội, Việt Nam
b Viện khoa học sức khoẻ, VinUniversity, Hà Nội, Việt Nam

