Ung thư biểu mô tuyến di căn nhiều nơi trên nền bệnh paget hậu môn: Nhân 1 trường hợp và tổng quan y văn
1. Tóm tắt
Chúng tôi báo cáo một trường hợp di căn hạch nhiều nơi, loại ung thư biểu mô tuyến, có kèm tế bào mặt nhẫn, xuất hiện trên bệnh nhân có tiền sử bệnh Paget quanh hậu môn đã điều trị tạm ổn trước đó. Từ đó gợi ý mối liên quan giữa tiền sử bệnh Paget quanh hậu môn như là một tổn thương ác tính nguyên phát, đồng thời cho thấy sự cần thiết phối hợp giữa chuyên khoa Da liễu (điều trị bệnh Paget ở da) với chuyên khoa Ung bướu trong việc quản lý điều trị căn bệnh hiếm gặp này.
2. Mở đầu
Nội dung bài viết
Bệnh Paget là bệnh ác tính hiếm gặp. Bệnh là ung thư ở tuyến cận tiết (apocrine) của da, có thể gặp ở da vùng tuyến vú (bệnh Paget vú) hoặc các vị trí da ngoài tuyến vú (Paget ngoài vú) [1-4], [11].
Do bệnh hiếm gặp, và chủ yếu tại tổn thương ở da, nên Paget ngoài tuyến vú thường được khám ở chuyên khoa Da liễu. Bệnh thường được điều trị với thuốc thoa ở da, có đáp ứng tổn thương da và ổn định sau đó. Tuy nhiên vẫn có trường hợp bệnh diễn biến bất lợi sau đó và bệnh nhân với bệnh cảnh ung thư di căn nhiều nơi.
Chúng tôi báo cáo một trường hợp bệnh Paget da quanh hậu môn, điều trị tổn thương da ổn định tại chỗ, nhưng sau một thời gian lại xuất hiện bệnh cảnh ung thư di căn. Từ đó chúng tôi có phần bàn luận về vai trò của việc lập kế hoạch điều trị và phối hợp đa chuyên khoa khi theo dõi sau điều trị, để đạt kết quả tốt nhất cho người bệnh.
3. Ca lâm sàng
Bệnh nhân nữ, 67 tuổi, vào điều trị tại khoa Da liễu ở một bệnh viện Đa khoa trước khi vào điều trị với chúng tôi tại khoa Ung bướu bệnh viện Vinmec.
Hình ảnh sang thương vùng quanh hậu môn ban đầu và sau khi điều trị theo chuyên khoa Da liễu (hình 1 A, B), và thông tin mô bệnh học trước đó (sinh thiết mô da ở hậu môn).

Hình 1: Hình ảnh sang thương vùng quanh hậu môn ban đầu (1 A), trong và sau khi điều trị (1 B, 1 C).
Kết quả sinh thiết da vùng quanh hậu môn:
- H&E: Đặc điểm hình thái cho thấy tăng sinh tế bào, chưa loại trừ bệnh Paget. Đề nghị nhuộm hóa mô miễn dịch hỗ trợ chẩn đoán.
- Hóa mô miễn dịch: CK7: dương tính lan tỏa; CK20: dương tính lan tỏa; S100: âm tính; P63: âm tính; Ki67 dương tính 70%.
Kết luận: Bệnh Paget da quanh hậu môn.
Điều trị: Bệnh nhân được chỉ định bôi thuốc imiquimod và theo dõi, đánh giá đáp ứng. Lâm sàng tạm ổn, tổn thương tan dần (hình 1 B), sau đó khỏi hẳn, nhưng da vùng quanh hậu môn mất sắc tố (hình 1C).
Diễn tiến:
Khoảng 14 tháng sau đó: Bệnh nhân đau âm vùng bụng, hạ vị âm ỉ, khám lại và phát hiện hạch bẹn, hạch ổ bụng, hạch trung thất. Xét nghiệm ghi nhận: CEA: 22.1 ng/mL (tăng) (0.0 – 3.0 ng/mL), CA 19-9: 24.1 IU/mL (0.0 – 35.0 IU/mL).
PET CT scan: Tổn thường hạch bẹn 2 bên, hạch dọc động mạch chủ bụng, hạch trung thất, tăng hấp thu FDG.
Đến khi có hạch bẹn phải, bệnh nhân được sinh thiết hạch bẹn ở bệnh viện trước khi vào Vinmec. Kết quả mô bệnh học: Ung thư biểu mô tuyến, biệt hóa vừa. Hóa mô miễn dịch: CK7: Âm tính; CK20: Dương tính mạnh, lan tỏa; CDX2: Dương tính mạnh, lan tỏa; GATA3: Âm tính. Chẩn đoán: Di căn hạch bẹn từ ung thư biểu mô tuyến, biệt hóa trung bình, có tế bào mặt nhẫn. Khảo sát gen: MSS; K-RAS, N-RAS, B-RAF WT.
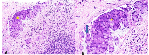
Chẩn đoán mô bệnh học tại viện (chúng tôi sinh thiết hạch bẹn phải lần 2): Di căn hạch từ loại ung thư biểu mô tuyến biệt hóa kém loại tế bào mặt nhẫn (hình 2)
Đại thể:
Mẫu bệnh phẩm được đựng trong 01 lọ chứa formalin (NBF 10%), được dán nhãn “hạch bẹn bên phải” với tên bệnh nhân, số hồ sơ y khoa thích hợp, gồm 5 mô sinh thiết lõi màu nâu dài 0.5-1.5 cm, vùi hết mô vào trong block A1. Thời gian thiếu máu lạnh: 0.33 giờ; Tổng thời gian cố định trong formalin: 35 giờ.
Vi thể:
Cấu trúc mô hạch bị xóa, thay bằng mô sợi tăng sản xen lẫn vài đám tế bào biểu mô dạng mặt nhẫn (carcinôm tuyến biệt hóa kém). Tỉ lệ u chiếm 20% mẫu sinh thiết (>100 tế bào u).
Nhuộm hóa mô miễn dịch được thực hiện trên máy Ventana Benchmark XT, kháng thể Ventana (Roche) với mô chứng dương, có tế bào chứng nội hiện diện và nhuộm như mong đợi.

Hình 2. Đám tế bào tuyến biệt hóa kém loại tế bào mặt nhẫn di căn hạch (*)
A. Độ phóng đại nhỏ (HE X10)
B. Độ phóng đại lớn (HE X40): Mũi tên chỉ một tế bào mặt nhẫn đi rời
Bệnh nhân được rà lại đường tiêu hóa, tiết niệu, phụ khoa, phổi, vú: không ghi nhận tổn thương.
Chẩn đoán: Carcinôm tuyến di căn hạch không rõ nguyên phát (theo dõi từ đường tiêu hóa dưới), bệnh Paget da quanh hậu môn đã điều trị.
Điều trị: Hóa trị theo hướng carcinôm tuyến di căn với Bevacizumab – FOLFOX.
Bệnh nhân đã hóa trị 4 chu kỳ và có đáp ứng một phần.
Diễn tiến lâm sàng: Đáp ứng một phần (lâm sàng, các chỉ số CEA, CA 19-9, PET CT scan).
Kế hoạch: Điều trị tiếp phác đồ đang dùng và theo dõi lầm sàng các vị trí nghi ngờ nguyên phát (đường tiêu hóa, tiết niệu, phụ khoa).
4. Tổng quan y văn
Paget là bệnh lí ung thư của biểu mô tuyến cận tiết (apocrin) lớp thượng bì. Bệnh được mô tả lần đầu tiên bởi James Paget vào năm 1874, với thể bệnh Paget ở vú. Sau này các tác giả khác mô tả thêm nhóm bệnh Paget ngoài vú. Mặc dù chia làm 2 thể, tuy nhiên biểu hiện lâm sàng của 2 thể giống nhau, chỉ khác nhau về vị trí. Bệnh Paget thường dễ chẩn đoán nhầm với các bệnh lí khác (như: chàm, Bowen, viêm da mạn tính,…). [1-4], [11].
Lâm sàng
Bệnh Paget vú: Bệnh chỉ xuất hiện ở da núm vú, quầng vú hoặc có thể kèm với ung thư biểu mô tuyến vú. Bệnh thường một bên vú, tổn thương có thể xuất hiện lan rộng cả quầng vú xung quanh. Bệnh đặc trưng là các dát đỏ dạng chàm, có vảy da, ranh giới rõ với xung quanh, khi vảy da được loại bỏ để lại một nền ẩm ướt, rỉ dịch. Kèm theo đó có thể sờ thấy hạch và khối u bên đối diện.
Bệnh Paget ngoài vú: Paget ngoài vú có thể tiên phát (chiếm 85%), hoặc thứ phát (15%). Bệnh xuất hiện ở các vùng phân bố của tuyến apocrin như âm hộ, dương vật, bìu, quanh hậu môn, nách. Tổn thương có dạng các dát đỏ nền ẩm ướt ri dịch. [7-10].
Bệnh Paget ngoài vú tiên phát thường tự giới hạn tại lớp thượng bì. Hầu hết các trường hợp là không kèm theo các ung thư ác tính. Trái lại, bệnh Paget ngoài vú thứ phát là do liên quan đến các khối u nội tạng lân cận như trực tràng, bàng quang, tiền liệt tuyến, khối u vùng khung chậu… Như vậy nhóm Paget ngoài vú thứ phát sẽ có diễn tiến khó lường hơn, và tùy thuộc vào tiên lượng của ung thư nguyên phát. [6]
Có tài liệu ghi nhận bệnh Paget ngoài vú vùng quanh hậu môn có kèm theo ung thư biểu mô tuyến (40 % trường hợp) [8].
Mô bệnh học có thể giúp nhuộm đặc biệt để hướng đến tổn thương nguyên phát hay thứ phát. Tuy nhiên nhiều trường hợp không xác định được nguyên phát – thứ phát [6].
Cận lâm sàng
Mô bệnh học: Đặc trưng là các tế bào Paget: tế bào dạng tuyến không điển hình, phân bố ngẫu nhiên trong thượng bì, nhân rộng chiếm ưu thế, hạt nhân đậm, bào tương nhạt màu, mất cầu nối giữa các tế bào. Phân bố vùng thượng bì, nang tóc, ống tuyến mồ hôi, có hiện tượng tăng gai, dày sừng và á sừng, nhuộm PAS(+).
Hóa mô miễn dịch [7] [11]: Một số tác giả đề nghị nhuộm CK20 và GCDFP-15 để hỗ trợ chẩn đoán bệnh Paget nguyên phát hay thứ phát. Bệnh Paget da quanh hậu môn đơn thuần thường có CK20 (-)/GCDFP-15 (+); trái lại, nêu Paget là tổn thương thứ phát ở da của một ung thư biểu mô tuyến lân cận (như trực tràng) thì CK20 (+)/GCDFP-15 (-).
Xếp giai đoạn (theo Godbole C [3])
Giai đoạn I-Tế bào Paget ở lớp biểu bì và phần phụ da quanh hậu môn không có ung thư nguyên phát
Giai đoạn IIA-Bệnh Paget ở da có ung thư phần phụ của da liên quan
Giai đoạn IIB-Bệnh Paget ở da có ung thư hậu môn trực tràng liên quan
Giai đoạn III-Ung thư liên quan đến bệnh Paget đã di căn đến các hạch bạch huyết khu vực
Giai đoạn IV-Bệnh Paget có di căn xa của ung thư liên quan
(giai đoạn I và II: ung thư không xâm lấn; giai đoạn III và IV: ung thư gọi là xâm lấn)
Điều trị (theo Carbotta G [2], Godbole C [3], Tang M [10])
Điều trị bệnh Paget quanh hậu môn tùy thuộc bệnh Paget nguyên phát hay thứ phát, tùy mức độ xâm lấn và lan rộng của tổn thương ở da, tổn thương cơ quan kèm theo.
Paget nguyên phát: (1) Phẫu thuật cắt rộng (áp dụng cắt lạnh, phẫu thuật Moh’s – Moh’s microsurgery), có thể kèm ghép da hoặc xoay vạt da tại chỗ. (2) Các phướng pháp không phẫu thuật: bao gồm thoa thuốc tại chỗ (5-fluorouracil, bleomycin, imiquimod), laser liệu pháp, quang động liêu pháp (photodymamic therapy) xạ trị.
Paget thứ phát: (1) Các điều trị tại chỗ – tại vùng: Phẫu thuật, bao gồm cả phẫu thuật Miles (abdominal perianal resection), hoặc cắt các cơ quan bị ung thư (cắt tử cung tận gốc, cắt bàng quang tận gốc…); (2) Các điều trị khi bệnh lan rộng tại chỗ – tại vùng hoặc toàn thân: xạ trị phối hợp hóa trị, hoặc hóa trị đơn thuần.
Tiên lượng
Đa số trường hợp Paget quanh hậu môn có diễn tiến tại chỗ, đáp ứng điều trị. Tuy nhiên một số trường hợp Paget thứ phát có diễn tiến xấu, xuất hiện di căn xa mặc dùng điều trị phẫu thuật và điều trị toàn thân tích cực [4], [8], [11].
5. Bàn luận
Ca lâm sàng chúng tôi lúc chúng tôi tiếp nhận thì tổn thương da quanh hậu môn đã tạm ổn, và không ghi nhận tổn thương ác tính lân cận (vùng chậu) từ ống hậu môn, trực tràng, phụ khoa, tiết niệu,… Các tổn thương ở xa hơn như đại tràng, hoặc đường tiêu hóa trên, hoặc xa hơn như phổi, vú cũng không phát hiện. Vì vậy chúng tôi chẩn đoán “Ung thư biểu mô tuyến di căn không rõ nguyên phát, nghĩ nhiều từ đường tiêu hóa dưới.”
Điều trị nhóm ung thư biểu mô tuyến di căn xa, chúng tôi đề nghị sử dụng đầu tay với phác đồ hóa trị bevacizumab – FOLFOX, như một số tác giả đã báo cáo [2].
Về diễn tiến sắp tới, hiện còn khá sớm, nên chúng tôi cũng chưa thể nói về tiên lượng xa của bệnh nhân.
Trường hợp này khi hồi cứu lại, chúng tôi thấy cần thiết có kế hoạch chẩn đoán và theo dõi sau điều trị bệnh da liễu (bệnh Paget quanh hậu môn), tránh trường hợp bệnh quay lại với bối cảnh ung thư di căn nhiều nơi như trường hợp này. Từ đầu, cần đánh giá toàn thân về nguy cơ có ung thư nguyên phát trước khi xác định là bệnh Paget nguyên phát ở da. Sau khi điều trị ổn tổn thương ở da, chúng tôi đề nghị xây dựng kế hoạch tái khám định kỳ chi tiết, bao gồm cả thăm khám lâm sàng toàn diện (lưu ý tiêu hóa, phụ khoa,.tiết niệu, …), chụp CT scan (hoặc PET CT scan), nội soi tiêu hóa 3-6 tháng/ lần hoặc khi có triệu chứng,…. Đây là yêu cầu về sự phối hợp đa chuyên khoa khi cung cấp dịch vụ y tế cho các bệnh nhân mắc căn bệnh hiếm gặp này.
6. Kết luận
Chúng tôi trình bày một trường hợp xuất hiện ung thư di căn nhiều nơi (chưa rõ nguyên phát) trên bệnh Paget quanh hậu môn điều trị tạm ổn trước đó. Từ đó gợi ý mối liên quan giữa tiền sử bệnh Paget quanh hậu môn như là một tổn thương ác tính nguyên phát, đồng thời cho thấy sự cần thiết phối hợp giữa chuyên khoa Da liễu (điều trị bệnh Paget ở da) với chuyên khoa Ung bướu trong việc quản lý điều trị loại bệnh hiếm gặp này.
Tài liệu tham khảo
- Bontinck H., Bontinck J., Rondou T., Pattyn P., Lockefeer F.. Perianal Paget’s disease: case report and review of the literature. Acta Chirurgica Belgica 16: 2016; 187-192.
- Carbotta G., Sallustio P., Prestera A., Laforgia R., Lobascio P., Palasciano N.. Perineal Paget’s disease: A rare disorder and review of literature. Ann of Med and Surg. Volume 9, Aug 2016; 50-52.
- Godbole C., Mehta J., Methil B., Palep R., Bhuta P. Perianal Paget’s Disease—a Case Report and a Review of Current Diagnosis and Management. Indian J Surg Oncol (Dec 2017) 8(4):619–621.
- Guidi GJ., Pinto de Sousa J, Marques R, Ferreira C.. Perianal Paget’s disease: one century later and still a challenge. BMJ Case Rep. 2021 Feb 4;14(2):e240435. doi: 10.1136/bcr-2020-240435.
- Knight SR., Proby C., Ziyaie D., Carey F., and Koch S.. Extramammary Paget disease of the perianal region: the potential role of imiquimod in achieving disease control. Journal of Surgical Case Reports, 2016 (8); 1–3.
- Liao X., Mao W, A’Li Lin. Perianal Paget’s Disease Co-Associated with Anorectal Adenocarcinoma: Primary or Secondary Disease? Case Rep Gastroenterol 2014 May 15;8(2):186-92. doi: 10.1159/000363177.
- Nowak MA., Guerriere-Kovach P., Pathan A., Campbell TE., Deppisch LM. Perianal Paget’s disease: distinguishing primary and secondary lesions using immunohistochemical studies including gross cystic disease fluid protein-15 and cytokeratin 20 expression. Arch Pathol Lab Med 1998 Dec;122(12):1077-81.
- Rudnicki Y., Stapleton SM., Batra R., Gan T., Mathis KL., Kelley SR. Perianal Paget’s—an aggressive disease. 25 (6); 1213-1221.
- Stavrou M., Martin L., El-Madani F., Naik V., Papanastasiou S., Gupta S.. Perianal Paget’s disease—Report of a rare case. Int J Surg Case Rep 2012;3(10):483-5. doi: 10.1016/j.ijscr.2012.05.017. Epub 2012 Jun 13.
- Tang M., Gao X., Wang L., Liu W., Li. J. A brief review of perianal paget disease. Int J Clin Exp Med 2020;13(10):7241-7249
- Wang YC, Fen-Yau Li A., Yang SH, Ma HH, Liang WY. Perianal Paget’s Disease: The 17-Year-Experience of a Single Institution in Taiwan. Gastroenterology Research and PracticeVolume 2019, Article ID 2603279, 8 pages. https://doi.org/10.1155/2019/2603279
Tác giả: Lê Tấn Đạt, Bùi Thị Hồng Khang, Yi Hyeon Gyu – BV Vinmec Central Park

